Skip to main content

KvBeta2 Antibody - BSA Free

Novus Biologicals, part of Bio-Techne | Catalog # NBP1-80272

Novus Biologicals, part of Bio-Techne
Catalog #
Availability
Size / Price
Qty
Loading...
NBP1-80272

Key Product Details

Species Reactivity

Human, Mouse

Applications

Immunohistochemistry, Immunohistochemistry-Paraffin, Western Blot

Label

Unconjugated

Antibody Source

Polyclonal Rabbit IgG

Format

BSA Free

Concentration

1 mg/ml

Product Specifications

Immunogen

Synthetic peptide directed towards the middle region of human KCNAB2. Peptide sequence WGGKAETERGLSRKHIIEGLKASLERLQLEYVDVVFANRPDPNTPMEETV. The peptide sequence for this immunogen was taken from within the described region.

Clonality

Polyclonal

Host

Rabbit

Isotype

IgG

Description

The addition of 50% glycerol is optional for those storing this antibody at -20C and not aliquoting smaller units. However, please note that glycerol may interrupt some downstream antibody applications and should be added with caution.

Scientific Data Images for KvBeta2 Antibody - BSA Free

Western Blot: KvBeta2 Antibody [NBP1-80272]

Western Blot: KvBeta2 Antibody [NBP1-80272]

Western Blot: KvBeta2 Antibody [NBP1-80272] - Antibody Titration: 0.2-1 ug/ml ELISA Titer: 1 : 312500 Positive control: Jurkat cell lysate KCNAB2 is strongly supported by BioGPS gene expression data to be expressed in Human Jurkat cells.
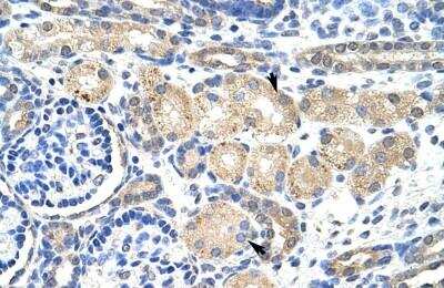
Immunohistochemistry-Paraffin: KvBeta2 Antibody [NBP1-80272]

Immunohistochemistry-Paraffin: KvBeta2 Antibody [NBP1-80272]

Immunohistochemistry-Paraffin: KvBeta2 Antibody [NBP1-80272] - Human kidney Tissue, antibody concentration 4-8ug/ml. Cells with positive label: renal corpuscle cells (indicated with arrows) 400X magnification.
Western Blot: KvBeta2 Antibody [NBP1-80272]

Western Blot: KvBeta2 Antibody [NBP1-80272]

Western Blot: KvBeta2 Antibody [NBP1-80272] - Jurkat cell lysate, concentration 1.25ug/ml.

Applications for KvBeta2 Antibody - BSA Free

Application
Recommended Usage

Immunohistochemistry

1:10-1:500

Immunohistochemistry-Paraffin

4-8 ug/ml

Western Blot

1.0 ug/ml

Formulation, Preparation, and Storage

Purification

Protein A purified

Formulation

PBS, 2% Sucrose

Format

BSA Free

Preservative

0.09% Sodium Azide

Concentration

1 mg/ml

Shipping

The product is shipped with polar packs. Upon receipt, store it immediately at the temperature recommended below.

Stability & Storage

Store at 4C short term. Aliquot and store at -20C long term. Avoid freeze-thaw cycles.

Background: KvBeta2

Voltage-gated potassium (Kv) channels represent the most complex class of voltage-gated ion channels from both functional and structural standpoints. Their diverse functions include regulating neurotransmitter release, heart rate, insulin secretion, neuronal excitability, epithelial electrolyte transport, smooth muscle contraction, and cell volume. Four sequence-related potassium channel genes - shaker, shaw, shab, and shal - have been identified in Drosophila, and each has been shown to have human homolog(s). This gene encodes a member of the potassium channel, voltage-gated, shaker-related subfamily. This member is one of the beta subunits, which are auxiliary proteins associating with functional Kv-alpha subunits. This member alters functional properties of the KCNA4 gene product. Alternative splicing of this gene results in two transcript variants encoding distinct isoforms. (provided by RefSeq)

Alternate Names

HKvbeta2, HKvbeta2.1, HKvbeta2.2, K(+) channel subunit beta-2, K+ channel beta-2 subunit, KCNA2BAKR6A5, KCNK2, Kv-beta-2, MGC117289, potassium channel shaker chain beta 2, potassium voltage-gated channel, shaker-related subfamily, beta member 2, voltage-gated potassium channel subunit beta-2

Gene Symbol

KCNAB2

Additional KvBeta2 Products

Product Documents for KvBeta2 Antibody - BSA Free

Certificate of Analysis

To download a Certificate of Analysis, please enter a lot number in the search box below.

Product Specific Notices for KvBeta2 Antibody - BSA Free

This product is for research use only and is not approved for use in humans or in clinical diagnosis. Primary Antibodies are guaranteed for 1 year from date of receipt.

Loading...
Loading...
Loading...
Loading...