Skip to main content

Kv3.3 Antibody - BSA Free

Novus Biologicals, part of Bio-Techne | Catalog # NBP1-81337

Novus Biologicals, part of Bio-Techne
Catalog #
Availability
Size / Price
Qty
Loading...
NBP1-81337
NBP1-81337-25ul

Key Product Details

Species Reactivity

Validated:

Human

Predicted:

Mouse (97%), Rat (98%). Backed by our 100% Guarantee.

Applications

Immunohistochemistry, Immunohistochemistry-Paraffin

Label

Unconjugated

Antibody Source

Polyclonal Rabbit IgG

Format

BSA Free

Concentration

Concentrations vary lot to lot. See vial label for concentration. If unlisted please contact technical services.

Product Specifications

Immunogen

This antibody was developed against Recombinant Protein corresponding to amino acids: KLPKKKNKHIPRPPQPGSPNYCKPDPPPPPPPHPHHGSGGISPPPPITPPSMGVTVAGAYPAGPHTHPGLLRGGAGGLGIMGLPPLPAPGEPCPLAQEEVIEINRA

Clonality

Polyclonal

Host

Rabbit

Isotype

IgG

Description

Novus Biologicals Rabbit Kv3.3 Antibody - BSA Free (NBP1-81337) is a polyclonal antibody validated for use in IHC. All Novus Biologicals antibodies are covered by our 100% guarantee.

Scientific Data Images for Kv3.3 Antibody - BSA Free

Kv3.3 Antibody

Immunohistochemistry-Paraffin: Kv3.3 Antibody [NBP1-81337] -

Immunohistochemistry-Paraffin: Kv3.3 Antibody [NBP1-81337] -Staining of human cerebellum shows strong membranous positivity in Purkinje cells.
Kv3.3 Antibody

Immunohistochemistry-Paraffin: Kv3.3 Antibody [NBP1-81337] -

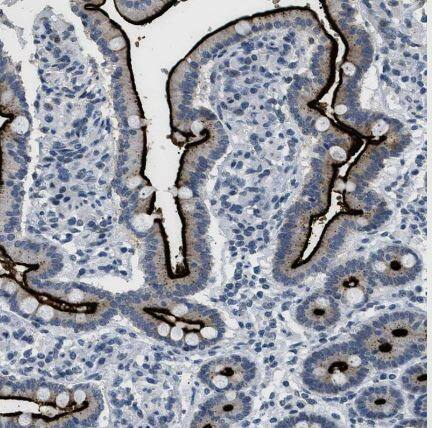
Immunohistochemistry-Paraffin: Kv3.3 Antibody [NBP1-81337] -Staining of human duodenum shows strong positivity in apical membrane in glandular cells.
Kv3.3 Antibody

Immunohistochemistry-Paraffin: Kv3.3 Antibody [NBP1-81337] -

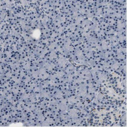
Immunohistochemistry-Paraffin: Kv3.3 Antibody [NBP1-81337] -Staining of human pancreas shows no positivity in exocrine glandular cells as expected.

Applications for Kv3.3 Antibody - BSA Free

Application
Recommended Usage

Immunohistochemistry

1:50 - 1:200

Immunohistochemistry-Paraffin

1:50 - 1:200
Application Notes
For IHC-Paraffin, HIER pH 6 retrieval is recommended.

Formulation, Preparation, and Storage

Purification

Affinity purified

Formulation

PBS (pH 7.2) and 40% Glycerol

Format

BSA Free

Preservative

0.02% Sodium Azide

Concentration

Concentrations vary lot to lot. See vial label for concentration. If unlisted please contact technical services.

Shipping

The product is shipped with polar packs. Upon receipt, store it immediately at the temperature recommended below.

Stability & Storage

Store at 4C short term. Aliquot and store at -20C long term. Avoid freeze-thaw cycles.

Background: Kv3.3

The Shaker gene family of Drosophila encodes components of voltage-gated potassium channels and is comprised of four subfamilies. Based on sequence similarity, this gene is similar to one of these subfamilies, namely the Shaw subfamily. The protein encoded by this gene belongs to the delayed rectifier class of channel proteins and is an integral membrane protein that mediates the voltage-dependent potassium ion permeability of excitable membranes.

Alternate Names

KSHIIID, Kv3.3, potassium voltage-gated channel subfamily C member 3, potassium voltage-gated channel, Shaw-related subfamily, member 3, SCA13, Shaw-related voltage-gated potassium channel protein 3, spinocerebellar ataxia 13, voltage-gated potassium channel protein KV3.3, Voltage-gated potassium channel subunit Kv3.3

Gene Symbol

KCNC3

Additional Kv3.3 Products

Product Documents for Kv3.3 Antibody - BSA Free

Certificate of Analysis

To download a Certificate of Analysis, please enter a lot number in the search box below.

Product Specific Notices for Kv3.3 Antibody - BSA Free

This product is for research use only and is not approved for use in humans or in clinical diagnosis. Primary Antibodies are guaranteed for 1 year from date of receipt.

Loading...
Loading...
Loading...
Loading...