KRT82 Antibody - BSA Free
Novus Biologicals, part of Bio-Techne | Catalog # NBP2-31727
Key Product Details
Validated by
Independent Antibodies
Species Reactivity
Human
Applications
Immunohistochemistry, Immunohistochemistry-Paraffin
Label
Unconjugated
Antibody Source
Polyclonal Rabbit IgG
Format
BSA Free
Concentration
Concentrations vary lot to lot. See vial label for concentration. If unlisted please contact technical services.
Product Specifications
Immunogen
This antibody was developed against a recombinant protein corresponding to amino acids: SSSKGAFLYEPCGVSTPVLSTGVLRSNGGCSIVGTGELYVPCEPQGLLSCGSGRKSSMTLGAG
Clonality
Polyclonal
Host
Rabbit
Isotype
IgG
Description
Novus Biologicals Rabbit KRT82 Antibody - BSA Free (NBP2-31727) is a polyclonal antibody validated for use in IHC. All Novus Biologicals antibodies are covered by our 100% guarantee.
Scientific Data Images for KRT82 Antibody - BSA Free
Immunohistochemistry-Paraffin: KRT82 Antibody [NBP2-31727]
Immunohistochemistry-Paraffin: KRT82 Antibody [NBP2-31727] - Staining of human colon, kidney, skin, hairy and testis using Anti-KRT82 antibody NBP2-31727 (A) shows similar protein distribution across tissues to independent antibody NBP2-57921 (B).Immunohistochemistry-Paraffin: KRT82 Antibody [NBP2-31727]
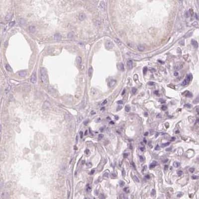
Immunohistochemistry-Paraffin: KRT82 Antibody [NBP2-31727] - Staining of human kidney.Immunohistochemistry-Paraffin: KRT82 Antibody [NBP2-31727]
Immunohistochemistry-Paraffin: KRT82 Antibody [NBP2-31727] - Staining of human hair follicle shows strong positivity in the cuticle layer.Applications for KRT82 Antibody - BSA Free
Application
Recommended Usage
Immunohistochemistry
1:200 - 1:500
Immunohistochemistry-Paraffin
1:200 - 1:500
Application Notes
For IHC-Paraffin, HIER pH 6 retrieval is recommended.
Formulation, Preparation, and Storage
Purification
Affinity purified
Formulation
PBS (pH 7.2) and 40% Glycerol
Format
BSA Free
Preservative
0.02% Sodium Azide
Concentration
Concentrations vary lot to lot. See vial label for concentration. If unlisted please contact technical services.
Shipping
The product is shipped with polar packs. Upon receipt, store it immediately at the temperature recommended below.
Stability & Storage
Store at 4C short term. Aliquot and store at -20C long term. Avoid freeze-thaw cycles.
Background: KRT82
Alternate Names
Hard Keratin, Type II, 2, HB2, Hb-2, K82, keratin 82, Keratin, Hair, Basic, 2, Keratin, Type II Cuticular Hb2, Keratin-82, KRTHB2, Type II Hair Keratin Hb2, Type-II Keratin Kb22
Gene Symbol
KRT82
UniProt
Additional KRT82 Products
Product Documents for KRT82 Antibody - BSA Free
Product Specific Notices for KRT82 Antibody - BSA Free
This product is for research use only and is not approved for use in humans or in clinical diagnosis. Primary Antibodies are guaranteed for 1 year from date of receipt.
Loading...
Loading...
Loading...
Loading...