Skip to main content

KRAS [p Ser89] Antibody - Azide and BSA Free

Novus Biologicals, part of Bio-Techne | Catalog # NBP3-16933

Novus Biologicals, part of Bio-Techne
Catalog #
Availability
Size / Price
Qty
Loading...
NBP3-16933-100ul
NBP3-16933-20ul

Key Product Details

Validated by

Biological Validation

Species Reactivity

Human, Mouse, Rat

Applications

ELISA, Immunohistochemistry, Immunohistochemistry-Paraffin, Western Blot

Label

Unconjugated

Antibody Source

Polyclonal Rabbit IgG

Format

Azide and BSA Free

Concentration

Please see the vial label for concentration. If unlisted please contact technical services.

Product Specifications

Immunogen

A synthetic phosphorylated peptide around S89 of human KRAS (NP_001356715.1). TKSFE

Modification

p Ser89

Clonality

Polyclonal

Host

Rabbit

Isotype

IgG

Theoretical MW

22 kDa.
Disclaimer note: The observed molecular weight of the protein may vary from the listed predicted molecular weight due to post translational modifications, post translation cleavages, relative charges, and other experimental factors.

Description

Novus Biologicals Rabbit KRAS [p Ser89] Antibody - Azide and BSA Free (NBP3-16933) is a polyclonal antibody validated for use in IHC, WB and ELISA. All Novus Biologicals antibodies are covered by our 100% guarantee.

Scientific Data Images for KRAS [p Ser89] Antibody - Azide and BSA Free

Western Blot: KRAS [p Ser89] AntibodyAzide and BSA Free [NBP3-16933]

Western Blot: KRAS [p Ser89] AntibodyAzide and BSA Free [NBP3-16933]

Western Blot: KRAS Antibody [NBP3-16933] - Western blot analysis of extracts of various cell lines, using KRAS Rabbit pAb (NBP3-16933) at 1:500 dilution.Jurkat cells were treated by Pervanadate (1 mM) at 37C for 30 minutes.NIH/3T3 cells were treated by Pervanadate (1 mM) at 37C for 30 minutes. Secondary antibody: HRP Goat Anti-Rabbit IgG (H+L) at 1:10000 dilution. Lysates/proteins: 25ug per lane. Blocking buffer: 3% BSA. Detection: ECL Enhanced Kit. Exposure time: 180s.
Immunohistochemistry-Paraffin: KRAS [p Ser89] Antibody - Azide and BSA Free [NBP3-16933]

Immunohistochemistry-Paraffin: KRAS [p Ser89] Antibody - Azide and BSA Free [NBP3-16933]

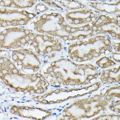
Immunohistochemistry-Paraffin: KRAS Antibody [NBP3-16933] - Mouse kidney using KRAS Rabbit pAb (NBP3-16933) at dilution of 1:100 (40x lens).Perform high pressure antigen retrieval with 10 mM citrate buffer pH 6.0 before commencing with IHC staining protocol.
Immunohistochemistry-Paraffin: KRAS [p Ser89] Antibody - Azide and BSA Free [NBP3-16933]

Immunohistochemistry-Paraffin: KRAS [p Ser89] Antibody - Azide and BSA Free [NBP3-16933]

Immunohistochemistry-Paraffin: KRAS Antibody [NBP3-16933] - Rat brain using KRAS Rabbit pAb (NBP3-16933) at dilution of 1:100 (40x lens).Perform high pressure antigen retrieval with 10 mM citrate buffer pH 6.0 before commencing with IHC staining protocol.

Applications for KRAS [p Ser89] Antibody - Azide and BSA Free

Application
Recommended Usage

Immunohistochemistry

1:50 - 1:200

Western Blot

1:500 - 1:2000

Formulation, Preparation, and Storage

Purification

Affinity purified

Formulation

PBS (pH 7.3), 50% glycerol

Format

Azide and BSA Free

Preservative

0.01% Thimerosal

Concentration

Please see the vial label for concentration. If unlisted please contact technical services.

Shipping

The product is shipped with polar packs. Upon receipt, store it immediately at the temperature recommended below.

Stability & Storage

Store at -20C. Avoid freeze-thaw cycles.

Background: KRAS

KRAS, a Kirsten ras oncogene homolog from the mammalian ras gene family, encodes a protein that is a member of the small GTPase superfamily. A single amino acid substitution is responsible for an activating mutation. The transforming protein that results is implicated in various malignancies, including lung adenocarcinoma, mucinous adenoma, ductal carcinoma of the pancreas and colorectal carcinoma. Alternative splicing leads to variants encoding two isoforms that differ in the C-terminal region.

Alternate Names

cellular c-Ki-ras2 proto-oncogene, c-Ki-ras, c-K-ras, GTPase KRas, KI-RAS, Kirsten rat sarcoma-2 viral (v-Ki-ras2) oncogene homolog, K-Ras 2, K-ras p21 protein, KRAS1, K-RAS2A, K-RAS2B, KRAS2NS3, K-RAS4A, K-RAS4B, NS, oncogene KRAS2, PR310 c-K-ras oncogene, RASK2c-Kirsten-ras protein, transforming protein p21, v-Ki-ras2 Kirsten rat sarcoma 2 viral oncogene homolog, v-Ki-ras2 Kirsten rat sarcoma viral oncogene homolog

Gene Symbol

KRAS

Additional KRAS Products

Product Documents for KRAS [p Ser89] Antibody - Azide and BSA Free

Certificate of Analysis

To download a Certificate of Analysis, please enter a lot number in the search box below.

Product Specific Notices for KRAS [p Ser89] Antibody - Azide and BSA Free

This product is for research use only and is not approved for use in humans or in clinical diagnosis. Primary Antibodies are guaranteed for 1 year from date of receipt.

Loading...
Loading...
Loading...
Loading...

⚠ WARNING: This product can expose you to chemicals including Methotrexate, which is known to the State of California to cause reproductive toxicity with developmental effects. For more information, go to www.P65Warnings.ca.gov