Skip to main content

KLHL35 Antibody - BSA Free

Novus Biologicals, part of Bio-Techne | Catalog # NBP3-46360

Novus Biologicals, part of Bio-Techne
Catalog #
Availability
Size / Price
Qty
Loading...
NBP3-46360

Key Product Details

Species Reactivity

Human, Mouse, Rat

Applications

ELISA, Immunocytochemistry/ Immunofluorescence, Immunohistochemistry, Western Blot

Label

Unconjugated

Antibody Source

Polyclonal Rabbit IgG

Format

BSA Free

Concentration

Please see the vial label for concentration. If unlisted please contact technical services.

Product Specifications

Immunogen

kelch-like 35(Drosophila). (Uniprot# Q6PF15)

Clonality

Polyclonal

Host

Rabbit

Isotype

IgG

Description

Novus Biologicals Rabbit KLHL35 Antibody - BSA Free (NBP3-46360) is a polyclonal antibody validated for use in IHC, WB, ELISA and ICC/IF. All Novus Biologicals antibodies are covered by our 100% guarantee.

Scientific Data Images for KLHL35 Antibody - BSA Free

KLHL35 Antibody - BSA Free

Western Blot: KLHL35 Antibody - BSA Free [NBP3-46360] -

Western Blot: KLHL35 Antibody - BSA Free [NBP3-46360] - Mouse brain tissue were subjected to SDS PAGE followed by western blot with (KLHL35 antibody) at dilution of 1:500
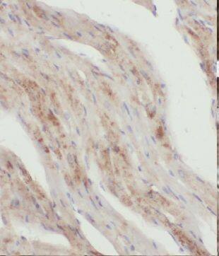
KLHL35 Antibody - BSA Free

Immunohistochemistry: KLHL35 Antibody - BSA Free [NBP3-46360] -

Immunohistochemistry: KLHL35 Antibody - BSA Free [NBP3-46360] - Immunohistochemistry of paraffin-embedded human heart using (KLHL35 antibody) at dilution of 1:100

Applications for KLHL35 Antibody - BSA Free

Application
Recommended Usage

Immunocytochemistry/ Immunofluorescence

1:20-1:200

Immunohistochemistry

1:20-1:200

Western Blot

1:500-1:2000
Application Notes
Theoretical Molecular Weight is 40-50 kDa

Formulation, Preparation, and Storage

Purification

Immunogen affinity purified

Formulation

PBS, 50% Glycerol, pH (7.3)

Format

BSA Free

Preservative

0.02% Sodium Azide

Concentration

Please see the vial label for concentration. If unlisted please contact technical services.

Shipping

The product is shipped with polar packs. Upon receipt, store it immediately at the temperature recommended below.

Stability & Storage

Store at -20C. Avoid freeze-thaw cycles.

Background: KLHL35

Alternate Names

FLJ33790, kelch-like 35 (Drosophila)

Gene Symbol

KLHL35

Additional KLHL35 Products

Product Documents for KLHL35 Antibody - BSA Free

Certificate of Analysis

To download a Certificate of Analysis, please enter a lot number in the search box below.

Product Specific Notices for KLHL35 Antibody - BSA Free

This product is for research use only and is not approved for use in humans or in clinical diagnosis. Primary Antibodies are guaranteed for 1 year from date of receipt.

Loading...
Loading...
Loading...
Loading...