Skip to main content

KLHL35 Antibody - BSA Free

Novus Biologicals, part of Bio-Techne | Catalog # NBP3-17105

Novus Biologicals, part of Bio-Techne
Catalog #
Availability
Size / Price
Qty
Loading...
NBP3-17105-100ul
NBP3-17105-25ul

Key Product Details

Species Reactivity

Validated:

Human

Predicted:

Mouse (96%), Rat (93%). Backed by our 100% Guarantee.

Applications

Immunohistochemistry, Immunohistochemistry-Paraffin

Label

Unconjugated

Antibody Source

Polyclonal Rabbit IgG

Format

BSA Free

Concentration

Concentrations vary lot to lot. See vial label for concentration. If unlisted please contact technical services.

Product Specifications

Immunogen

This antibody was developed against Recombinant Protein corresponding to amino acids: LLLEARACFILGREAGALRTRPRRFMDLAEVIVVIGGCDRKGLLKLPFADAYHPESQRWTPLPSLPGYTRSEFAACALRNDVYVSGGHINSHDVWMFS

Clonality

Polyclonal

Host

Rabbit

Isotype

IgG

Description

Novus Biologicals Rabbit KLHL35 Antibody - BSA Free (NBP3-17105) is a polyclonal antibody validated for use in IHC. All Novus Biologicals antibodies are covered by our 100% guarantee.

Scientific Data Images for KLHL35 Antibody - BSA Free

Immunocytochemistry/ Immunofluorescence: KLHL35 Antibody [NBP3-17105]

Immunocytochemistry/ Immunofluorescence: KLHL35 Antibody [NBP3-17105]

Immunocytochemistry/Immunofluorescence: KLHL35 Antibody [NBP3-17105] - Analysis in human testis and duodenum tissues using Anti-KLHL35 antibody. Corresponding KLHL35 RNA-seq data are presented for the same tissues.
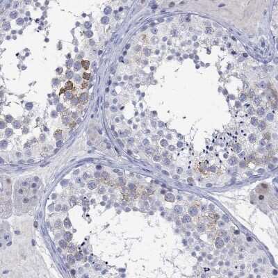
Immunohistochemistry-Paraffin: KLHL35 Antibody [NBP3-17105]

Immunohistochemistry-Paraffin: KLHL35 Antibody [NBP3-17105]

Immunohistochemistry-Paraffin: KLHL35 Antibody [NBP3-17105] - Staining of human testis shows high expression.
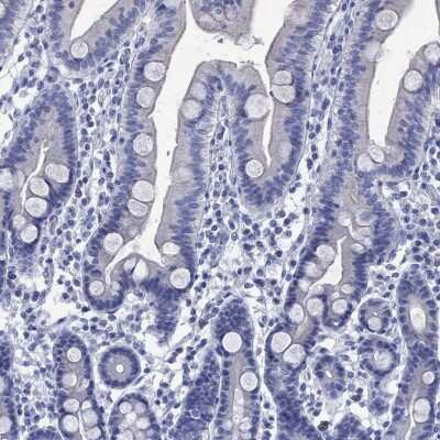
Immunohistochemistry-Paraffin: KLHL35 Antibody [NBP3-17105]

Immunohistochemistry-Paraffin: KLHL35 Antibody [NBP3-17105]

Immunohistochemistry-Paraffin: KLHL35 Antibody [NBP3-17105] - Staining of human duodenum shows low expression as expected.

Applications for KLHL35 Antibody - BSA Free

Application
Recommended Usage

Immunohistochemistry

1:200 - 1:500

Immunohistochemistry-Paraffin

1:200 - 1:500
Application Notes
For IHC-Paraffin, HIER pH 6 retrieval is recommended.

Formulation, Preparation, and Storage

Purification

Affinity purified

Formulation

PBS (pH 7.2) and 40% Glycerol

Format

BSA Free

Preservative

0.02% Sodium Azide

Concentration

Concentrations vary lot to lot. See vial label for concentration. If unlisted please contact technical services.

Shipping

The product is shipped with polar packs. Upon receipt, store it immediately at the temperature recommended below.

Stability & Storage

Store at 4C short term. Aliquot and store at -20C long term. Avoid freeze-thaw cycles.

Background: KLHL35

Alternate Names

FLJ33790, kelch-like 35 (Drosophila)

Gene Symbol

KLHL35

Additional KLHL35 Products

Product Documents for KLHL35 Antibody - BSA Free

Certificate of Analysis

To download a Certificate of Analysis, please enter a lot number in the search box below.

Product Specific Notices for KLHL35 Antibody - BSA Free

This product is for research use only and is not approved for use in humans or in clinical diagnosis. Primary Antibodies are guaranteed for 1 year from date of receipt.

Loading...
Loading...
Loading...
Loading...