KLHL35 Antibody - BSA Free
Novus Biologicals, part of Bio-Techne | Catalog # NBP1-89837
Key Product Details
Species Reactivity
Human
Applications
Immunohistochemistry, Immunohistochemistry-Paraffin, Immunocytochemistry/ Immunofluorescence
Label
Unconjugated
Antibody Source
Polyclonal Rabbit IgG
Format
BSA Free
Concentration
Concentrations vary lot to lot. See vial label for concentration. If unlisted please contact technical services.
Product Specifications
Immunogen
This antibody was developed against Recombinant Protein corresponding to amino acids: KLFVIGGARQGGVNTDKVQCFDPKEDRWSLRSPAPFSQRCLEAVSLEDTIYVMGGLMSKIFT
Reactivity Notes
Immunogen displays the following percentage of sequence identity for non-tested species: Mouse (89%), Rat (87%)
Clonality
Polyclonal
Host
Rabbit
Isotype
IgG
Description
Novus Biologicals Rabbit KLHL35 Antibody - BSA Free (NBP1-89837) is a polyclonal antibody validated for use in IHC and ICC/IF. Anti-KLHL35 Antibody: Cited in 1 publication. All Novus Biologicals antibodies are covered by our 100% guarantee.
Scientific Data Images for KLHL35 Antibody - BSA Free
Immunocytochemistry/ Immunofluorescence: KLHL35 Antibody [NBP1-89837]
Immunocytochemistry/Immunofluorescence: KLHL35 Antibody [NBP1-89837] - Staining of human cell line SiHa shows localization to nucleus, nucleoli fibrillar center & centrosome.Immunohistochemistry-Paraffin: KLHL35 Antibody [NBP1-89837]
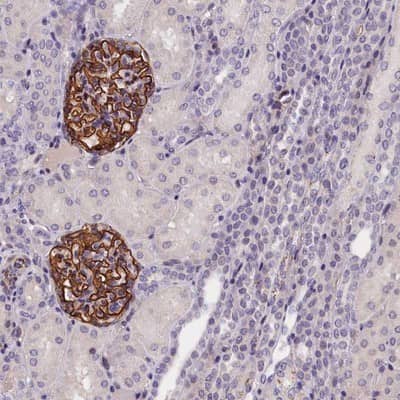
Immunohistochemistry-Paraffin: KLHL35 Antibody [NBP1-89837] - Staining of human kidney shows strong membranous positivity in glomeruli.Applications for KLHL35 Antibody - BSA Free
Application
Recommended Usage
Immunocytochemistry/ Immunofluorescence
0.25-2 ug/ml
Immunohistochemistry
1:50 - 1:200
Immunohistochemistry-Paraffin
1:50 - 1:200
Application Notes
For IHC-Paraffin, HIER pH 6 retrieval is recommended. Immunocytochemistry/Immunofluorescence Fixation Permeabilization: Use PFA/Triton X-100.
Formulation, Preparation, and Storage
Purification
Affinity purified
Formulation
PBS (pH 7.2) and 40% Glycerol
Format
BSA Free
Preservative
0.02% Sodium Azide
Concentration
Concentrations vary lot to lot. See vial label for concentration. If unlisted please contact technical services.
Shipping
The product is shipped with polar packs. Upon receipt, store it immediately at the temperature recommended below.
Stability & Storage
Store at 4C short term. Aliquot and store at -20C long term. Avoid freeze-thaw cycles.
Background: KLHL35
Alternate Names
FLJ33790, kelch-like 35 (Drosophila)
Gene Symbol
KLHL35
Additional KLHL35 Products
Product Documents for KLHL35 Antibody - BSA Free
Product Specific Notices for KLHL35 Antibody - BSA Free
This product is for research use only and is not approved for use in humans or in clinical diagnosis. Primary Antibodies are guaranteed for 1 year from date of receipt.
Loading...
Loading...
Loading...
Loading...