Skip to main content

KLHL12/C3IP1 Antibody (OTI4E1) - Azide and BSA Free

Novus Biologicals, part of Bio-Techne | Catalog # NBP2-72118

Novus Biologicals, part of Bio-Techne

Key Product Details

Species Reactivity

Human, Mouse, Rat

Applications

Immunohistochemistry, Immunohistochemistry-Paraffin, Western Blot

Label

Unconjugated

Antibody Source

Monoclonal Mouse IgG2B Clone # OTI4E1

Format

Azide and BSA Free

Concentration

LYOPH mg/ml

Product Specifications

Immunogen

Human recombinant protein fragment corresponding to amino acids 177-405 of human KLHL12 (NP_067646) produced in E.coli.

Reactivity Notes

Please note that this antibody is reactive to Mouse and derived from the same host, Mouse. Mouse-On-Mouse blocking reagent may be needed for IHC and ICC experiments to reduce high background signal. You can find these reagents under catalog numbers PK-2200-NB and MP-2400-NB. Please contact Technical Support if you have any questions.

Clonality

Monoclonal

Host

Mouse

Isotype

IgG2B

Theoretical MW

63.1 kDa.
Disclaimer note: The observed molecular weight of the protein may vary from the listed predicted molecular weight due to post translational modifications, post translation cleavages, relative charges, and other experimental factors.

Description

Novus Biologicals Mouse KLHL12/C3IP1 Antibody (OTI4E1) - Azide and BSA Free (NBP2-45512) is a monoclonal antibody validated for use in IHC and WB. All Novus Biologicals antibodies are covered by our 100% guarantee.

Scientific Data Images for KLHL12/C3IP1 Antibody (OTI4E1) - Azide and BSA Free

Western Blot: KLHL12/C3IP1 Antibody (OTI4E1)Azide and BSA Free [NBP2-72118]

Western Blot: KLHL12/C3IP1 Antibody (OTI4E1)Azide and BSA Free [NBP2-72118]

Western Blot: KLHL12/C3IP1 Antibody (OTI4E1) - Azide and BSA Free [NBP2-72118] - Analysis of HEK293T cells were transfected with the pCMV6-ENTRY control (Left lane) or pCMV6-ENTRY KLHL12.
Immunohistochemistry: KLHL12/C3IP1 Antibody (OTI4E1) - Azide and BSA Free [NBP2-72118]

Immunohistochemistry: KLHL12/C3IP1 Antibody (OTI4E1) - Azide and BSA Free [NBP2-72118]

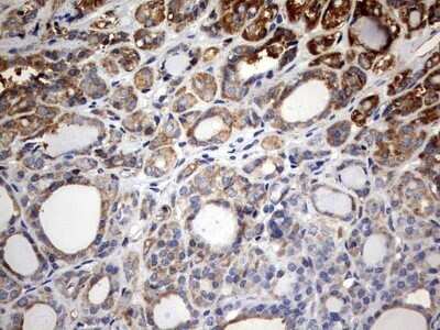
Immunohistochemistry: KLHL12/C3IP1 Antibody (OTI4E1) - Azide and BSA Free [NBP2-72118] - Analysis of Human endometrium tissue. (Heat-induced epitope retrieval by 10mM citric buffer, pH6.0, 120C for 3min)
Immunohistochemistry: KLHL12/C3IP1 Antibody (OTI4E1) - Azide and BSA Free [NBP2-72118]

Immunohistochemistry: KLHL12/C3IP1 Antibody (OTI4E1) - Azide and BSA Free [NBP2-72118]

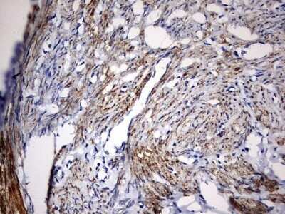
Immunohistochemistry: KLHL12/C3IP1 Antibody (OTI4E1) - Azide and BSA Free [NBP2-72118] - Analysis of Adenocarcinoma of Human endometrium tissue. (Heat-induced epitope retrieval by 10mM citric buffer, pH6.0, 120C for 3min)

Applications for KLHL12/C3IP1 Antibody (OTI4E1) - Azide and BSA Free

Application
Recommended Usage

Immunohistochemistry

1:150

Western Blot

1:500

Formulation, Preparation, and Storage

Purification

Immunogen affinity purified

Reconstitution

we recommend adding 100uL distilled water to a final antibody concentration of about 1 mg/mL. To use this carrier-free antibody for conjugation experiment, we strongly recommend performing another round of desalting process.

Formulation

Lyophilized from PBS (pH 7.3) with 8% Trehalose

Format

Azide and BSA Free

Preservative

No Preservative

Concentration

LYOPH mg/ml

Shipping

The product is shipped with polar packs. Upon receipt, store it immediately at the temperature recommended below.

Stability & Storage

Store at -20C. Avoid freeze-thaw cycles.

Background: KLHL12/C3IP1

Serves as a substrate-specific adapter for the CUL3-based ubiquitin-protein E3 ligase complex. Negatively regulates the Wnt signaling pathway via the targeted ubiquitination and subsequent proteolysis of DVL3. Component of an ubiquitin-protein E3 ligase complex which includes at least CUL3 and KLHL12. This complex interacts with DVL3 upon activation of the Wnt signaling pathway by WNT3A.

Alternate Names

C3IP1kelch-like protein 12, CUL3-interacting protein 1, DKIR, FLJ27152, kelch-like 12 (Drosophila), kelch-like protein C3IP1

Gene Symbol

KLHL12

Additional KLHL12/C3IP1 Products

Product Documents for KLHL12/C3IP1 Antibody (OTI4E1) - Azide and BSA Free

Certificate of Analysis

To download a Certificate of Analysis, please enter a lot number in the search box below.

Product Specific Notices for KLHL12/C3IP1 Antibody (OTI4E1) - Azide and BSA Free

This product is for research use only and is not approved for use in humans or in clinical diagnosis. Primary Antibodies are guaranteed for 1 year from date of receipt.

Loading...
Loading...
Loading...
Loading...
Loading...