Skip to main content

KLF6 Antibody - BSA Free

Novus Biologicals, part of Bio-Techne | Catalog # NBP3-05013

Novus Biologicals, part of Bio-Techne
Catalog #
Availability
Size / Price
Qty
Loading...
NBP3-05013-20ul
NBP3-05013-100ul

Key Product Details

Species Reactivity

Human, Mouse

Applications

Immunohistochemistry, Immunohistochemistry-Paraffin, Western Blot, ELISA, Immunocytochemistry/ Immunofluorescence

Label

Unconjugated

Antibody Source

Polyclonal Rabbit IgG

Format

BSA Free

Concentration

Please see the vial label for concentration. If unlisted please contact technical services.

Product Specifications

Immunogen

Recombinant fusion protein containing a sequence corresponding to amino acids 40-200 of human KLF6 (NP_001291.3). ERYLQSEPCYVSASEIKFDSQEDLWTKIILAREKKEESELKISSSPPEDTLISPSFCYNLETNSLNSDVSSESSDSSEELSPTAKFTSDPIGEVLVSSGKLSSSVTSTPPSSPELSREPSQLWGCVPGELPSPGKVRSGTSGKPGDKGNGDASPDGRRRVH

Clonality

Polyclonal

Host

Rabbit

Isotype

IgG

Theoretical MW

32 kDa.
Disclaimer note: The observed molecular weight of the protein may vary from the listed predicted molecular weight due to post translational modifications, post translation cleavages, relative charges, and other experimental factors.

Scientific Data Images for KLF6 Antibody - BSA Free

Western Blot: KLF6 AntibodyBSA Free [NBP3-05013]

Western Blot: KLF6 AntibodyBSA Free [NBP3-05013]

Western Blot: KLF6 Antibody [NBP3-05013] - Analysis of extracts of PC-3 cells, using KLF6 antibody at 1:500 dilution. Secondary antibody: HRP Goat Anti-Rabbit IgG (H+L) at 1:10000 dilution. Lysates/proteins: 25ug per lane. Blocking buffer: 3% nonfat dry milk in TBST. Detection: ECL Basic Kit .
KLF6 Antibody - BSA Free

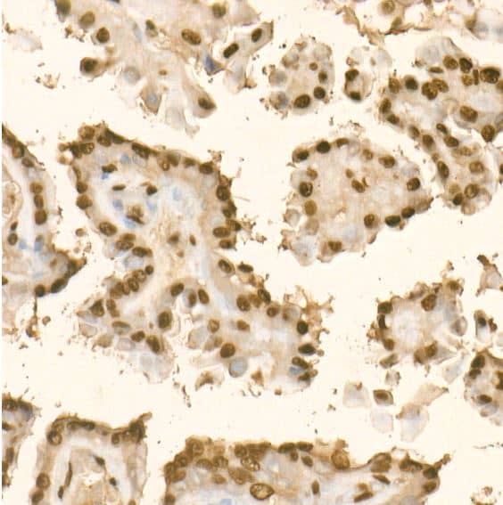
Immunohistochemistry-Paraffin-KLF6 Antibody [NBP3-05013] -

Immunohistochemistry-Paraffin-KLF6 Antibody [NBP3-05013] - Analysis of paraffin-embedded human thyroid cancer using KLF6 Rabbit pAb at dilution of 1:100 (40x lens).Perform high pressure antigen retrieval with 10 mM citrate buffer pH 6.0 before commencing with IHC staining protocol.
KLF6 Antibody - BSA Free

Immunocytochemistry/Immunofluorescence: KLF6 Antibody [NBP3-05013] -

Immunocytochemistry/Immunofluorescence: KLF6 Antibody [NBP3-05013] -Analysis of NIH/3T3 cells using KLF6 Rabbit pAb at dilution of 1:100 (40x lens). Blue: DAPI for nuclear staining.

Applications for KLF6 Antibody - BSA Free

Application
Recommended Usage

ELISA

Recommended starting concentration is 1 μg/mL.

Immunocytochemistry/ Immunofluorescence

1:50-1:100

Immunohistochemistry

1:50 - 1:200

Western Blot

1:500-1:2000

Formulation, Preparation, and Storage

Purification

Affinity purified

Formulation

PBS (pH 7.3), 50% glycerol

Format

BSA Free

Preservative

0.02% Sodium Azide

Concentration

Please see the vial label for concentration. If unlisted please contact technical services.

Shipping

The product is shipped with polar packs. Upon receipt, store it immediately at the temperature recommended below.

Stability & Storage

Store at -20C. Avoid freeze-thaw cycles.

Background: KLF6

The KLF6 gene encodes a member of the Kruppel-like family of transcription factors. The zinc finger protein is atranscriptional activator, and functions as a tumor suppressor. Multiple transcript variants encoding differentisoforms have been found for this ge

Long Name

Kruppel-Like Factor 6

Alternate Names

BCD1, COPEB, CPBP, Transcription factor Zf9

Gene Symbol

KLF6

Additional KLF6 Products

Product Documents for KLF6 Antibody - BSA Free

Certificate of Analysis

To download a Certificate of Analysis, please enter a lot number in the search box below.

Product Specific Notices for KLF6 Antibody - BSA Free

This product is for research use only and is not approved for use in humans or in clinical diagnosis. Primary Antibodies are guaranteed for 1 year from date of receipt.

Loading...
Loading...
Loading...
Loading...