Skip to main content

KLF2 Antibody (OTI3A10)

Novus Biologicals, part of Bio-Techne | Catalog # NBP2-45510

Catalog #
Availability
Size / Price
Qty
Loading...
NBP2-45510
Conjugate
Catalog #

Key Product Details

Species Reactivity

Validated:

Human, Mouse, Rat

Cited:

Mouse

Applications

Validated:

Immunohistochemistry, Immunohistochemistry-Paraffin, Western Blot

Cited:

Immunohistochemistry

Label

Unconjugated

Antibody Source

Monoclonal Mouse IgG1 Clone # OTI3A10

Concentration

1 mg/ml

Product Specifications

Immunogen

Full length human recombinant protein of human KLF2 (NP_057354) produced in E.coli.

Reactivity Notes

Please note that this antibody is reactive to Mouse and derived from the same host, Mouse. Mouse-On-Mouse blocking reagent may be needed for IHC and ICC experiments to reduce high background signal. You can find these reagents under catalog numbers PK-2200-NB and MP-2400-NB. Please contact Technical Support if you have any questions.

Clonality

Monoclonal

Host

Mouse

Isotype

IgG1

Theoretical MW

37.2 kDa.
Disclaimer note: The observed molecular weight of the protein may vary from the listed predicted molecular weight due to post translational modifications, post translation cleavages, relative charges, and other experimental factors.

Scientific Data Images for KLF2 Antibody (OTI3A10)

Western Blot: KLF2 Antibody (OTI3A10) [NBP2-45510]

Western Blot: KLF2 Antibody (OTI3A10) [NBP2-45510]

Western Blot: KLF2 Antibody (3A10) [NBP2-45510] - Analysis of HEK293T cells were transfected with the pCMV6-ENTRY control (Left lane) or pCMV6-ENTRY KLF2.
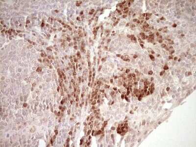
Immunohistochemistry-Paraffin: KLF2 Antibody (OTI3A10) [NBP2-45510]

Immunohistochemistry-Paraffin: KLF2 Antibody (OTI3A10) [NBP2-45510]

Immunohistochemistry-Paraffin: KLF2 Antibody (OTI3A10) [NBP2-45510] - KLF2 Antibody (3A10) [NBP2-45510] - Analysis of Human tonsil tissue. (Heat-induced epitope retrieval by 1 mM EDTA in 10mM Tris, pH8.5, 120C for 3min)
Immunohistochemistry-Paraffin: KLF2 Antibody (OTI3A10) [NBP2-45510]

Immunohistochemistry-Paraffin: KLF2 Antibody (OTI3A10) [NBP2-45510]

Immunohistochemistry-Paraffin: KLF2 Antibody (OTI3A10) [NBP2-45510] - KLF2 Antibody (3A10) [NBP2-45510] - Analysis of Carcinoma of Human kidney tissue. (Heat-induced epitope retrieval by 1 mM EDTA in 10mM Tris, pH8.5, 120 degrees C for 3min)

Applications for KLF2 Antibody (OTI3A10)

Application
Recommended Usage

Immunohistochemistry

1:150

Western Blot

1:2000

Formulation, Preparation, and Storage

Purification

Immunogen affinity purified

Formulation

PBS (pH 7.3), 1.0% BSA and 50% Glycerol

Preservative

0.02% Sodium Azide

Concentration

1 mg/ml

Shipping

The product is shipped with polar packs. Upon receipt, store it immediately at the temperature recommended below.

Stability & Storage

Store at -20C. Avoid freeze-thaw cycles.

Background: KLF2

KLF2 binds to the CACCC box in the beta-globin gene promoter and activates transcription.

Long Name

Kruppel-Like Factor 2

Alternate Names

LKLF

Gene Symbol

KLF2

Additional KLF2 Products

Product Documents for KLF2 Antibody (OTI3A10)

Certificate of Analysis

To download a Certificate of Analysis, please enter a lot number in the search box below.

Product Specific Notices for KLF2 Antibody (OTI3A10)

This product is for research use only and is not approved for use in humans or in clinical diagnosis. Primary Antibodies are guaranteed for 1 year from date of receipt.

Loading...
Loading...
Loading...
Loading...