Skip to main content

KLC4 Antibody - BSA Free

Novus Biologicals, part of Bio-Techne | Catalog # NBP1-88773

Novus Biologicals, part of Bio-Techne
Catalog #
Availability
Size / Price
Qty
Loading...
NBP1-88773
NBP1-88773-25ul

Key Product Details

Validated by

Orthogonal Validation, Independent Antibodies

Species Reactivity

Human

Applications

Immunohistochemistry, Immunohistochemistry-Paraffin, Western Blot

Label

Unconjugated

Antibody Source

Polyclonal Rabbit IgG

Format

BSA Free

Concentration

Concentrations vary lot to lot. See vial label for concentration. If unlisted please contact technical services.

Product Specifications

Immunogen

This antibody was developed against Recombinant Protein corresponding to amino acids: MEVTGFGVTRPGKVPQARMSGLVLGQRDEPAGHRLSQEEILGSTRLVSQGLEALRSEHQAVLQSLSQTIECLQQGGHEEGLVHEKARQLRRSMENIELGLS

Clonality

Polyclonal

Host

Rabbit

Isotype

IgG

Scientific Data Images for KLC4 Antibody - BSA Free

Western Blot: KLC4 Antibody [NBP1-88773]

Western Blot: KLC4 Antibody [NBP1-88773]

Western Blot: KLC4 Antibody [NBP1-88773] - Lane 1: Marker [kDa] 230, 130, 95, 72, 56, 36, 28, 17, 11. Lane 2: Human cell line RT-297
Immunohistochemistry-Paraffin: KLC4 Antibody [NBP1-88773]

Immunohistochemistry-Paraffin: KLC4 Antibody [NBP1-88773]

Immunohistochemistry-Paraffin: KLC4 Antibody [NBP1-88773] - Staining of human Small intestine shows strong cytoplasmic positivity in glandular cells.
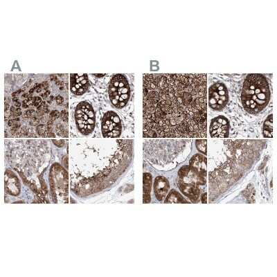
Immunohistochemistry-Paraffin: KLC4 Antibody [NBP1-88773]

Immunohistochemistry-Paraffin: KLC4 Antibody [NBP1-88773]

Immunohistochemistry-Paraffin: KLC4 Antibody [NBP1-88773] - Staining of human duodenum shows high expression.

Applications for KLC4 Antibody - BSA Free

Application
Recommended Usage

Immunohistochemistry

1:50 - 1:200

Immunohistochemistry-Paraffin

1:50-1:200

Western Blot

1:100-1:500
Application Notes
For IHC-Paraffin, HIER pH 6 retrieval is recommended.

Formulation, Preparation, and Storage

Purification

Affinity purified

Formulation

PBS (pH 7.2) and 40% Glycerol

Format

BSA Free

Preservative

0.02% Sodium Azide

Concentration

Concentrations vary lot to lot. See vial label for concentration. If unlisted please contact technical services.

Shipping

The product is shipped with polar packs. Upon receipt, store it immediately at the temperature recommended below.

Stability & Storage

Store at 4C short term. Aliquot and store at -20C long term. Avoid freeze-thaw cycles.

Background: KLC4

Kinesin is a microtubule-associated force-producing protein that may play a role in organelle transport. Thelight chain may function in coupling of cargo to the heavy chain or in the modulation of its ATPase activity (Bysimilarity)

Alternate Names

bA387M24.3, kinesin light chain 4, kinesin-like 8, Kinesin-like protein 8, KLC 4, KNSL8, MGC111777

Gene Symbol

KLC4

Additional KLC4 Products

Product Documents for KLC4 Antibody - BSA Free

Certificate of Analysis

To download a Certificate of Analysis, please enter a lot number in the search box below.

Product Specific Notices for KLC4 Antibody - BSA Free

This product is for research use only and is not approved for use in humans or in clinical diagnosis. Primary Antibodies are guaranteed for 1 year from date of receipt.

Loading...
Loading...
Loading...
Loading...