Skip to main content

Kirrel3/NEPH2 Antibody - BSA Free

Novus Biologicals, part of Bio-Techne | Catalog # NBP2-82000

Novus Biologicals, part of Bio-Techne

Key Product Details

Species Reactivity

Human, Mouse, Rat

Applications

Immunohistochemistry, Immunohistochemistry-Paraffin, Western Blot, ELISA, Immunocytochemistry/ Immunofluorescence

Label

Unconjugated

Antibody Source

Polyclonal Rabbit IgG

Format

BSA Free

Concentration

1 mg/ml

Product Specifications

Immunogen

Kirrel3 antibody was raised against a 19 amino acid peptide near the amino terminus of human Kirrel3. The immunogen is located within amino acids 20 - 70 of Kirrel3. Amino Acid Squence: MAKDKFRRMNEGQVYSFSQ

Specificity

Kirrel3/NEPH2 antibody is human, mouse and rat reactive. At least two isoforms are known to exist; this antibody will detect both isoforms. Kirrel3/NEPH2 antibody is predicted to not cross-react with other members of the KIRREL protein family.

Clonality

Polyclonal

Host

Rabbit

Isotype

IgG

Theoretical MW

60 kDa.
Disclaimer note: The observed molecular weight of the protein may vary from the listed predicted molecular weight due to post translational modifications, post translation cleavages, relative charges, and other experimental factors.

Description

Novus Biologicals Rabbit Kirrel3/NEPH2 Antibody - BSA Free (NBP2-82000) is a polyclonal antibody validated for use in IHC, WB, ELISA and ICC/IF. All Novus Biologicals antibodies are covered by our 100% guarantee.

Scientific Data Images for Kirrel3/NEPH2 Antibody - BSA Free

Western Blot: Kirrel3/NEPH2 AntibodyBSA Free [NBP2-82000]

Western Blot: Kirrel3/NEPH2 AntibodyBSA Free [NBP2-82000]

Western Blot: Kirrel3/NEPH2 Antibody [NBP2-82000] - Western blot analysis of Kirrel3/NEPH2 in mouse kidney tissue lysate with Kirrel3/NEPH2 antibody at (A) 1 and (B) 2 ug/ml.
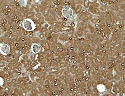
Immunohistochemistry: Kirrel3/NEPH2 Antibody - BSA Free [NBP2-82000]

Immunohistochemistry: Kirrel3/NEPH2 Antibody - BSA Free [NBP2-82000]

Immunohistochemistry: Kirrel3/NEPH2 Antibody [NBP2-82000] - Immunohistochemistry of Kirrel3/NEPH2 in mouse kidney tissue with Kirrel3/NEPH2 antibody at 5 ug/ml.
Kirrel3/NEPH2 Antibody - BSA Free

Immunocytochemistry/ Immunofluorescence: Kirrel3/NEPH2 Antibody - BSA Free [NBP2-82000] -

Immunocytochemistry/ Immunofluorescence: Kirrel3/NEPH2 Antibody - BSA Free [NBP2-82000] - Immunofluorescence of Kirrel3/NEPH2 in mouse kidney tissue with Kirrel3/NEPH2 antibody at 20 ug/ml.

Applications for Kirrel3/NEPH2 Antibody - BSA Free

Application
Recommended Usage

Immunocytochemistry/ Immunofluorescence

20 ug/ml

Immunohistochemistry

5 ug/mL

Western Blot

1-2 ug/ml

Formulation, Preparation, and Storage

Purification

Peptide affinity purified

Formulation

PBS

Format

BSA Free

Preservative

0.02% Sodium Azide

Concentration

1 mg/ml

Shipping

The product is shipped with polar packs. Upon receipt, store it immediately at the temperature recommended below.

Stability & Storage

Store at 4C.

Background: Kirrel3/NEPH2

NEPH2 is a member of the nephrin-like protein family, which includes NEPH1 (KIRREL; MIM 607428) and NEPH3 (MIM 607762). The cytoplasmic domains of these proteins interact with the C terminus of podocin (NPHS2; MIM 604766), and the genes are expressed in kidney podocytes, cells involved in ensuring size- and charge-selective ultrafiltration (Sellin et al., 2003 [PubMed 12424224]).[supplied by OMIM]

Long Name

Kin of Irregular Chiasm-like 3

Alternate Names

KIRRE, mKIRRE, NEPH2

Gene Symbol

KIRREL3

Additional Kirrel3/NEPH2 Products

Product Documents for Kirrel3/NEPH2 Antibody - BSA Free

Certificate of Analysis

To download a Certificate of Analysis, please enter a lot number in the search box below.

Product Specific Notices for Kirrel3/NEPH2 Antibody - BSA Free

This product is for research use only and is not approved for use in humans or in clinical diagnosis. Primary Antibodies are guaranteed for 1 year from date of receipt.

Loading...
Loading...
Loading...
Loading...