Skip to main content

Kirrel3/NEPH2 Antibody - BSA Free

Novus Biologicals, part of Bio-Techne | Catalog # NBP2-38788

Novus Biologicals, part of Bio-Techne
Catalog #
Availability
Size / Price
Qty
Loading...
NBP2-38788
NBP2-38788-25ul

Key Product Details

Validated by

Orthogonal Validation

Species Reactivity

Validated:

Human

Predicted:

Mouse (100%), Rat (100%). Backed by our 100% Guarantee.

Applications

Immunohistochemistry, Immunohistochemistry-Paraffin

Label

Unconjugated

Antibody Source

Polyclonal Rabbit IgG

Format

BSA Free

Concentration

Concentrations vary lot to lot. See vial label for concentration. If unlisted please contact technical services.

Product Specifications

Immunogen

This antibody was developed against a recombinant protein corresponding to amino acids: PTGMSFTNIYSTLSGQGRLYDYGQRFVLGMGSSSIELCEREFQRGSLSDSSSFLDTQCDSSVSSSGKQDGYVQFDKASKASASSSHHSQSSSQNSDPSR

Clonality

Polyclonal

Host

Rabbit

Isotype

IgG

Description

Novus Biologicals Rabbit Kirrel3/NEPH2 Antibody - BSA Free (NBP2-38788) is a polyclonal antibody validated for use in IHC. All Novus Biologicals antibodies are covered by our 100% guarantee.

Scientific Data Images for Kirrel3/NEPH2 Antibody - BSA Free

Immunohistochemistry-Paraffin: Kirrel3/NEPH2 Antibody [NBP2-38788]

Immunohistochemistry-Paraffin: Kirrel3/NEPH2 Antibody [NBP2-38788]

Immunohistochemistry-Paraffin: Kirrel3/NEPH2 Antibody [NBP2-38788] - Staining in human cerebral cortex and pancreas tissues using anti-KIRREL3 antibody. Corresponding KIRREL3 RNA-seq data are presented for the same tissues.
Immunohistochemistry-Paraffin: Kirrel3/NEPH2 Antibody [NBP2-38788]

Immunohistochemistry-Paraffin: Kirrel3/NEPH2 Antibody [NBP2-38788]

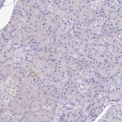
Immunohistochemistry-Paraffin: Kirrel3/NEPH2 Antibody [NBP2-38788] - Staining of human pancreas shows low expression as expected.
Immunohistochemistry-Paraffin: Kirrel3/NEPH2 Antibody [NBP2-38788]

Immunohistochemistry-Paraffin: Kirrel3/NEPH2 Antibody [NBP2-38788]

Immunohistochemistry-Paraffin: Kirrel3/NEPH2 Antibody [NBP2-38788] - Staining of human cerebral cortex shows high expression.

Applications for Kirrel3/NEPH2 Antibody - BSA Free

Application
Recommended Usage

Immunohistochemistry

1:1000 - 1:2500

Immunohistochemistry-Paraffin

1:1000 - 1:2500
Application Notes
For IHC-Paraffin, HIER pH 6 retrieval is recommended.

Formulation, Preparation, and Storage

Purification

Affinity purified

Formulation

PBS (pH 7.2) and 40% Glycerol

Format

BSA Free

Preservative

0.02% Sodium Azide

Concentration

Concentrations vary lot to lot. See vial label for concentration. If unlisted please contact technical services.

Shipping

The product is shipped with polar packs. Upon receipt, store it immediately at the temperature recommended below.

Stability & Storage

Store at 4C short term. Aliquot and store at -20C long term. Avoid freeze-thaw cycles.

Background: Kirrel3/NEPH2

NEPH2 is a member of the nephrin-like protein family, which includes NEPH1 (KIRREL; MIM 607428) and NEPH3 (MIM 607762). The cytoplasmic domains of these proteins interact with the C terminus of podocin (NPHS2; MIM 604766), and the genes are expressed in kidney podocytes, cells involved in ensuring size- and charge-selective ultrafiltration (Sellin et al., 2003 [PubMed 12424224]).[supplied by OMIM]

Long Name

Kin of Irregular Chiasm-like 3

Alternate Names

KIRRE, mKIRRE, NEPH2

Gene Symbol

KIRREL3

UniProt

Additional Kirrel3/NEPH2 Products

Product Documents for Kirrel3/NEPH2 Antibody - BSA Free

Certificate of Analysis

To download a Certificate of Analysis, please enter a lot number in the search box below.

Product Specific Notices for Kirrel3/NEPH2 Antibody - BSA Free

This product is for research use only and is not approved for use in humans or in clinical diagnosis. Primary Antibodies are guaranteed for 1 year from date of receipt.

Loading...
Loading...
Loading...
Loading...