Skip to main content

Kir6.2 Antibody

Novus Biologicals, part of Bio-Techne | Catalog # NBP1-00206

Novus Biologicals, part of Bio-Techne
Catalog #
Availability
Size / Price
Qty
Loading...
NBP1-00206

Key Product Details

Species Reactivity

Human

Applications

Immunohistochemistry, Immunohistochemistry-Paraffin, Western Blot, Peptide ELISA

Label

Unconjugated

Antibody Source

Polyclonal Goat IgG

Concentration

0.5 mg/ml

Product Specifications

Immunogen

Peptide with sequence C-AEDPAKPRYRARQ corresponding to internal region (near N-Terminus) according to NP_000516.3.

Specificity

This antibody is expected to recognise isoform 1 (NP_000516.3) only.

Clonality

Polyclonal

Host

Goat

Isotype

IgG

Scientific Data Images for Kir6.2 Antibody

Western Blot: Kir6.2 Antibody [NBP1-00206]

Western Blot: Kir6.2 Antibody [NBP1-00206]

Western Blot: Kir6.2 Antibody [NBP1-00206] - (0.1ug/ml) staining of Human Muscle lysate (35ug protein in RIPA buffer). Primary incubation was 1 hour. Detected by chemiluminescence.
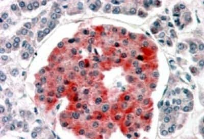
Immunohistochemistry-Paraffin: Kir6.2 Antibody [NBP1-00206]

Immunohistochemistry-Paraffin: Kir6.2 Antibody [NBP1-00206]

Immunohistochemistry-Paraffin: Kir6.2 Antibody [NBP1-00206] - (3.8ug/ml) staining of paraffin embedded Human Pancreas. Steamed antigen retrieval with citrate buffer pH 6, AP-staining.

Applications for Kir6.2 Antibody

Application
Recommended Usage

Immunohistochemistry

3 - 5 ug/ml

Immunohistochemistry-Paraffin

3 - 5 ug/ml

Peptide ELISA

Detection limit 1:32000

Western Blot

0.1 - 0.3 ug/ml
Application Notes
WB: Approx. 45-48 kDa band observed in human skeletal muscle lysates (calculated MW of 43.5 kDa band according to NP_000516.3). IHC-P: Human pancreas shows variable staining across the islet of langerhans.

Formulation, Preparation, and Storage

Purification

Immunogen affinity purified

Formulation

Tris saline (20 mM Tris pH 7.3, 150 mM NaCl), 0.5% BSA

Preservative

0.02% Sodium Azide

Concentration

0.5 mg/ml

Shipping

The product is shipped with polar packs. Upon receipt, store it immediately at the temperature recommended below.

Stability & Storage

Store at -20C. Avoid freeze-thaw cycles.

Background: Kir6.2

Potassium channels are present in most mammalian cells, where they participate in a wide range of physiologic responses. The protein encoded by this gene is an integral membrane protein and inward-rectifier type potassium channel. The encoded protein, which has a greater tendency to allow potassium to flow into a cell rather than out of a cell, is controlled by G-proteins and is found associated with the sulfonylurea receptor SUR. Mutations in this gene are a cause of familial persistent hyperinsulinemic hypoglycemia of infancy (PHHI), an autosomal recessive disorder characterized by unregulated insulin secretion. Defects in this gene may also contribute to autosomal dominant non-insulin-dependent diabetes mellitus type II (NIDDM), transient neonatal diabetes mellitus type 3 (TNDM3), and permanent neonatal diabetes mellitus (PNDM). [provided by RefSeq]

Long Name

ATP-sensitive inward rectifier potassium channel 11

Alternate Names

IKATP, KCNJ11

Entrez Gene IDs

3767 (Human)

Gene Symbol

KCNJ11

Additional Kir6.2 Products

Product Documents for Kir6.2 Antibody

Certificate of Analysis

To download a Certificate of Analysis, please enter a lot number in the search box below.

Product Specific Notices for Kir6.2 Antibody

This product is for research use only and is not approved for use in humans or in clinical diagnosis. Primary Antibodies are guaranteed for 1 year from date of receipt.

Loading...
Loading...
Loading...
Loading...