Skip to main content

Kir3.1 Antibody (OTI1G3) - Azide and BSA Free

Novus Biologicals, part of Bio-Techne | Catalog # NBP2-71065

Novus Biologicals, part of Bio-Techne

Key Product Details

Species Reactivity

Human, Mouse, Rat

Applications

Immunohistochemistry, Immunohistochemistry-Paraffin, Western Blot, Flow Cytometry, Immunocytochemistry/ Immunofluorescence, CyTOF-ready

Label

Unconjugated

Antibody Source

Monoclonal Mouse IgG1 Clone # OTI1G3

Format

Azide and BSA Free

Concentration

LYOPH mg/ml

Product Specifications

Immunogen

Human recombinant protein fragment corresponding to amino acids 279-501 of human KCNJ3(NP_002230) produced in E.coli.

Reactivity Notes

Please note that this antibody is reactive to Mouse and derived from the same host, Mouse. Mouse-On-Mouse blocking reagent may be needed for IHC and ICC experiments to reduce high background signal. You can find these reagents under catalog numbers PK-2200-NB and MP-2400-NB. Please contact Technical Support if you have any questions.

Clonality

Monoclonal

Host

Mouse

Isotype

IgG1

Theoretical MW

56.4 kDa.
Disclaimer note: The observed molecular weight of the protein may vary from the listed predicted molecular weight due to post translational modifications, post translation cleavages, relative charges, and other experimental factors.

Description

Novus Biologicals Mouse Kir3.1 Antibody (OTI1G3) - Azide and BSA Free (NBP2-01702) is a monoclonal antibody validated for use in IHC, WB, Flow and ICC/IF. All Novus Biologicals antibodies are covered by our 100% guarantee.

Scientific Data Images for Kir3.1 Antibody (OTI1G3) - Azide and BSA Free

Western Blot: Kir3.1 Antibody (OTI1G3)Azide and BSA Free [NBP2-71065]

Western Blot: Kir3.1 Antibody (OTI1G3)Azide and BSA Free [NBP2-71065]

Western Blot: Kir3.1 Antibody (OTI1G3) - Azide and BSA Free [NBP2-71065] - HEK293T cells were transfected with the pCMV6-ENTRY control (Left lane) or pCMV6-ENTRY Kir3.1 (Right lane) cDNA for 48 hrs and lysed. Equivalent amounts of cell lysates (5 ug per lane) were separated by SDS-PAGE and immunoblotted with anti-Kir3.1.
Immunocytochemistry/ Immunofluorescence: Kir3.1 Antibody (OTI1G3) - Azide and BSA Free [NBP2-71065]

Immunocytochemistry/ Immunofluorescence: Kir3.1 Antibody (OTI1G3) - Azide and BSA Free [NBP2-71065]

Immunocytochemistry/Immunofluorescence: Kir3.1 Antibody (OTI1G3) - Azide and BSA Free [NBP2-71065] - Staining of COS7 cells transiently transfected by pCMV6-ENTRY Kir3.1.
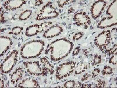
Immunohistochemistry: Kir3.1 Antibody (OTI1G3) - Azide and BSA Free [NBP2-71065]

Immunohistochemistry: Kir3.1 Antibody (OTI1G3) - Azide and BSA Free [NBP2-71065]

Immunohistochemistry: Kir3.1 Antibody (OTI1G3) - Azide and BSA Free [NBP2-71065] - Staining of paraffin-embedded Human Kidney tissue using anti-Kir3.1 mouse monoclonal antibody.

Applications for Kir3.1 Antibody (OTI1G3) - Azide and BSA Free

Application
Recommended Usage

Flow Cytometry

1:100

Immunocytochemistry/ Immunofluorescence

1:100

Immunohistochemistry

1:150

Western Blot

1:2000

Formulation, Preparation, and Storage

Purification

Immunogen affinity purified

Reconstitution

we recommend adding 100uL distilled water to a final antibody concentration of about 1 mg/mL. To use this carrier-free antibody for conjugation experiment, we strongly recommend performing another round of desalting process.

Formulation

Lyophilized from PBS (pH 7.3) with 8% Trehalose

Format

Azide and BSA Free

Preservative

No Preservative

Concentration

LYOPH mg/ml

Shipping

The product is shipped with polar packs. Upon receipt, store it immediately at the temperature recommended below.

Stability & Storage

Store at -20C. Avoid freeze-thaw cycles.

Background: Kir3.1

G protein-coupled inwardly rectifying potassium channels (KIR3.1 through KIR3.4) are coupled to numerous neurotransmitter receptors in the brain and are abundantly expressed in the olfactory bulb, hippocampus, neocortex, dentate gyrus, cerebellar cortex and thalamus regions of the brain. Also known as GIRK, KIR3 potassium channels localize to the soma and dendrites as well as axons of neurons. Liberated Gbgamma subunits from G protein heterotrimers bind to and regulate KIR3 channel activity. Gb3- and Gb4-containing Gbgamma dimers bind directly to cytoplasmic domains of KIR3 proteins and increase the K+ current while Gb5-containing Gbgamma dimers inhibit KIR3 K+ current. KIR3 activity is also inhibited by tyrosine phosphorylation. Brain-derived neurotrophic factor activates receptor tyrosine kinase B, which then phosphorylates KIR3 tyrosine residues, effectively inactivating the KIR3 channels.

Long Name

G protein-activated inward rectifier potassium channel 1

Alternate Names

GIRK-1, GIRK1, KCNJ3

Gene Symbol

KCNJ3

Additional Kir3.1 Products

Product Documents for Kir3.1 Antibody (OTI1G3) - Azide and BSA Free

Certificate of Analysis

To download a Certificate of Analysis, please enter a lot number in the search box below.

Product Specific Notices for Kir3.1 Antibody (OTI1G3) - Azide and BSA Free

This product is for research use only and is not approved for use in humans or in clinical diagnosis. Primary Antibodies are guaranteed for 1 year from date of receipt.

Loading...
Loading...
Loading...
Loading...
Loading...
Loading...