Skip to main content

Kir3.1 Antibody (OTI1G3)

Novus Biologicals, part of Bio-Techne | Catalog # NBP2-01702

Novus Biologicals, part of Bio-Techne

Key Product Details

Species Reactivity

Human, Mouse, Rat

Applications

Flow Cytometry, Immunocytochemistry/ Immunofluorescence, Immunohistochemistry, Immunohistochemistry-Paraffin, Western Blot

Label

Unconjugated

Antibody Source

Monoclonal Mouse IgG1 Clone # OTI1G3

Concentration

0.51 mg/ml

Product Specifications

Immunogen

Human recombinant protein fragment corresponding to amino acids 279-501 of human KCNJ3(NP_002230) produced in E.coli.

Reactivity Notes

Please note that this antibody is reactive to Mouse and derived from the same host, Mouse. Mouse-On-Mouse blocking reagent may be needed for IHC and ICC experiments to reduce high background signal. You can find these reagents under catalog numbers PK-2200-NB and MP-2400-NB. Please contact Technical Support if you have any questions.

Clonality

Monoclonal

Host

Mouse

Isotype

IgG1

Theoretical MW

56.4 kDa.
Disclaimer note: The observed molecular weight of the protein may vary from the listed predicted molecular weight due to post translational modifications, post translation cleavages, relative charges, and other experimental factors.

Description

Novus Biologicals Mouse Kir3.1 Antibody (OTI1G3) (NBP2-01702) is a monoclonal antibody validated for use in IHC, WB, Flow and ICC/IF. All Novus Biologicals antibodies are covered by our 100% guarantee.

Scientific Data Images for Kir3.1 Antibody (OTI1G3)

Western Blot: Kir3.1 Antibody (OTI1G3) [NBP2-01702]

Western Blot: Kir3.1 Antibody (OTI1G3) [NBP2-01702]

Western Blot: Kir3.1 Antibody (1G3) [NBP2-01702] - HEK293T cells were transfected with the pCMV6-ENTRY control (Left lane) or pCMV6-ENTRY Kir3.1 (Right lane) cDNA for 48 hrs and lysed. Equivalent amounts of cell lysates (5 ug per lane) were separated by SDS-PAGE and immunoblotted with anti-Kir3.1.
Immunocytochemistry/Immunofluorescence: Kir3.1 Antibody (1G3) [NBP2-01702] Staining of COS7 cells transiently transfected by pCMV6-ENTRY Kir3.1.
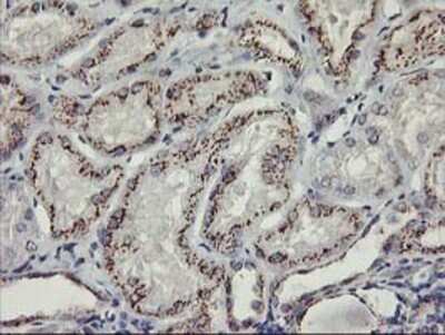
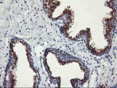
Immunohistochemistry-Paraffin: Kir3.1 Antibody (OTI1G3) [NBP2-01702]

Immunohistochemistry-Paraffin: Kir3.1 Antibody (OTI1G3) [NBP2-01702]

Immunohistochemistry-Paraffin: Kir3.1 Antibody (1G3) [NBP2-01702] - Staining of paraffin-embedded Human prostate tissue using anti-Kir3.1 mouse monoclonal antibody.

Applications for Kir3.1 Antibody (OTI1G3)

Application
Recommended Usage

Flow Cytometry

1:100

Immunocytochemistry/ Immunofluorescence

1:100

Immunohistochemistry

1:150

Immunohistochemistry-Paraffin

1:150

Western Blot

1:2000

Formulation, Preparation, and Storage

Purification

Immunogen affinity purified

Formulation

PBS (pH 7.3), 1.0% BSA and 50% Glycerol

Preservative

0.02% Sodium Azide

Concentration

0.51 mg/ml

Shipping

The product is shipped with polar packs. Upon receipt, store it immediately at the temperature recommended below.

Stability & Storage

Store at -20C. Avoid freeze-thaw cycles.

Background: Kir3.1

Potassium channels are present in most mammalian cells, where they participate in a wide range of physiologic responses. The protein encoded by this gene is an integral membrane protein and inward-rectifier type potassium channel. The encoded protein, which has a greater tendency to allow potassium to flow into a cell rather than out of a cell, is controlled by G-proteins and plays an important role in regulating heartbeat. It associates with three other G-protein-activated potassium channels to form a heteromultimeric pore-forming complex. [provided by RefSeq].

Long Name

G protein-activated inward rectifier potassium channel 1

Alternate Names

GIRK-1, GIRK1, KCNJ3

Entrez Gene IDs

3760 (Human)

Gene Symbol

KCNJ3

Additional Kir3.1 Products

Product Documents for Kir3.1 Antibody (OTI1G3)

Certificate of Analysis

To download a Certificate of Analysis, please enter a lot number in the search box below.

Product Specific Notices for Kir3.1 Antibody (OTI1G3)

This product is for research use only and is not approved for use in humans or in clinical diagnosis. Primary Antibodies are guaranteed for 1 year from date of receipt.

Loading...
Loading...
Loading...
Loading...
Loading...