Skip to main content

KIR2DS4/CD158i Antibody (C15) - BSA Free

Novus Biologicals, part of Bio-Techne | Catalog # NBP3-41473

Novus Biologicals, part of Bio-Techne
Catalog #
Availability
Size / Price
Qty
Loading...
NBP3-41473

Key Product Details

Species Reactivity

Human

Applications

Immunohistochemistry, Immunohistochemistry-Paraffin, Western Blot

Label

Unconjugated

Antibody Source

Monoclonal Mouse IgG2b Kappa Clone # C15

Format

BSA Free

Concentration

1 mg/ml

Product Specifications

Immunogen

Immunized with recombinant Human KIR2DS4/CD158i (Uniprot#: P43632; Gln22-Ser302 (Uniprot#: P43632)

Clonality

Monoclonal

Host

Mouse

Isotype

IgG2b Kappa

Description

Novus Biologicals Mouse KIR2DS4/CD158i Antibody (C15) - BSA Free (NBP3-41473) is a monoclonal antibody validated for use in IHC and WB. All Novus Biologicals antibodies are covered by our 100% guarantee.

Scientific Data Images for KIR2DS4/CD158i Antibody (C15) - BSA Free

KIR2DS4/CD158i Antibody (C15)

Western Blot: KIR2DS4/CD158i Antibody (C15) [NBP3-41473] -

Western Blot: KIR2DS4/CD158i Antibody (C15) [NBP3-41473] - Sample: Lane1: 293T Cell lysate; Lane2: Raji cell lysate; Lane3: Hela cell lysate Primary Ab: 3ug/ml NBP3-41473; Second Ab: 0.2ug/mL HRP-Linked Caprine Anti-Mouse IgG Polyclonal Antibody
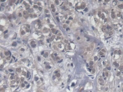
KIR2DS4/CD158i Antibody (C15)

Immunohistochemistry-Paraffin: KIR2DS4/CD158i Antibody (C15) [NBP3-41473] -

Immunohistochemistry-Paraffin: KIR2DS4/CD158i Antibody (C15) [NBP3-41473] - DAB staining on IHC-P; Samples: Human Breast cancer Tissue; Primary Ab: 20ug/ml NBP3-41473

Applications for KIR2DS4/CD158i Antibody (C15) - BSA Free

Application
Recommended Usage

Immunohistochemistry

5-20ug/mL

Immunohistochemistry-Paraffin

5-20ug/mL

Western Blot

0.5-2ug/mL

Formulation, Preparation, and Storage

Purification

Protein A or G purified

Formulation

0.01M PBS, pH7.4, 50% glycerol

Format

BSA Free

Preservative

0.05% Proclin 300

Concentration

1 mg/ml

Shipping

The product is shipped with polar packs. Upon receipt, store it immediately at the temperature recommended below.

Stability & Storage

Store at 4C short term. Aliquot and store at -20C long term. Avoid freeze-thaw cycles.

Background: KIR2DS4/CD158i

The KIR family consists of transmembrane glycoproteins of the Ig superfamily expressed on human NK cells and a subset of human T cells which they are involved in recognition of either MHC class I molecules or unknown ligand on target cells and inhibit cytotoxic activities. KIR2DS4 is an activating receptor of KIR family.

Long Name

Killer Cell Immunoglobulin-like Receptor, Two Domains, Short Cytoplasmic Tail, 4

Alternate Names

CD158i

Gene Symbol

KIR2DS4

Additional KIR2DS4/CD158i Products

Product Documents for KIR2DS4/CD158i Antibody (C15) - BSA Free

Certificate of Analysis

To download a Certificate of Analysis, please enter a lot number in the search box below.

Product Specific Notices for KIR2DS4/CD158i Antibody (C15) - BSA Free

This product is for research use only and is not approved for use in humans or in clinical diagnosis. Primary Antibodies are guaranteed for 1 year from date of receipt.

Loading...
Loading...
Loading...
Loading...