Skip to main content

kinectin Antibody - BSA Free

Novus Biologicals, part of Bio-Techne | Catalog # NBP3-38206

Novus Biologicals, part of Bio-Techne
Catalog #
Availability
Size / Price
Qty
Loading...
NBP3-38206-20ul
NBP3-38206-100ul

Key Product Details

Species Reactivity

Human

Applications

Immunohistochemistry, Immunohistochemistry-Paraffin, Western Blot, ELISA

Label

Unconjugated

Antibody Source

Polyclonal Rabbit IgG

Format

BSA Free

Concentration

Please see the vial label for concentration. If unlisted please contact technical services.

Product Specifications

Immunogen

A synthetic peptide corresponding to a sequence within amino acids 1-100 of human kinectin (NP_001072989.1).

Sequence:
MEFYESAYFIVLIPSIVITVIFLFFWLFMKETLYDEVLAKQKREQKLIPTKTDKKKAEKKKNKKKEIQNGNLHESDSESVPRDFKLSDALAVEDDQVAPV

Clonality

Polyclonal

Host

Rabbit

Isotype

IgG

Theoretical MW

156 kDa.
Disclaimer note: The observed molecular weight of the protein may vary from the listed predicted molecular weight due to post translational modifications, post translation cleavages, relative charges, and other experimental factors.

Description

Novus Biologicals Rabbit kinectin Antibody - BSA Free (NBP3-38206) is a polyclonal antibody validated for use in IHC, WB and ELISA. All Novus Biologicals antibodies are covered by our 100% guarantee.

Scientific Data Images for kinectin Antibody - BSA Free

kinectin Antibody

Immunohistochemistry: kinectin Antibody [NBP3-38206] -

Immunohistochemistry: kinectin Antibody [NBP3-38206] - Immunohistochemistry analysis of paraffin-embedded Human prostate using kinectin Rabbit pAb at dilution of 1:100 (40x lens). Microwave antigen retrieval performed with 0.01M PBS Buffer (pH 7.2) prior to IHC staining.
kinectin Antibody

Western Blot: kinectin Antibody [NBP3-38206] -

Western Blot: kinectin Antibody [NBP3-38206] - Western blot analysis of various lysates using kinectin Rabbit pAb at 1:1000 dilution.
Secondary antibody: HRP-conjugated Goat anti-Rabbit IgG (H+L) at 1:10000 dilution.
Lysates/proteins: 25ug per lane.
Blocking buffer: 3% nonfat dry milk in TBST.
Detection: ECL Basic Kit.
Exposure time: 90s.
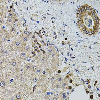
kinectin Antibody

Immunohistochemistry: kinectin Antibody [NBP3-38206] -

Immunohistochemistry: kinectin Antibody [NBP3-38206] - Immunohistochemistry analysis of paraffin-embedded Human liver damage using kinectin Rabbit pAb at dilution of 1:100 (40x lens). Microwave antigen retrieval performed with 0.01M PBS Buffer (pH 7.2) prior to IHC staining.

Applications for kinectin Antibody - BSA Free

Application
Recommended Usage

Immunohistochemistry-Paraffin

1:50 - 1:200

Western Blot

1:500 - 1:2000

Formulation, Preparation, and Storage

Purification

Affinity purified

Formulation

PBS (pH 7.3), 50% glycerol

Format

BSA Free

Preservative

0.02% Sodium Azide

Concentration

Please see the vial label for concentration. If unlisted please contact technical services.

Shipping

The product is shipped with polar packs. Upon receipt, store it immediately at the temperature recommended below.

Stability & Storage

Store at -20C. Avoid freeze-thaw cycles.

Background: kinectin

Alternate Names

kinectin, kinectin 1 (kinesin receptor), MGC133337

Gene Symbol

KTN1

Additional kinectin Products

Product Documents for kinectin Antibody - BSA Free

Certificate of Analysis

To download a Certificate of Analysis, please enter a lot number in the search box below.

Product Specific Notices for kinectin Antibody - BSA Free

This product is for research use only and is not approved for use in humans or in clinical diagnosis. Primary Antibodies are guaranteed for 1 year from date of receipt.

Loading...
Loading...
Loading...
Loading...