Skip to main content

KIFC1 Antibody - BSA Free

Novus Biologicals, part of Bio-Techne | Catalog # NBP3-06407

Novus Biologicals, part of Bio-Techne
Catalog #
Availability
Size / Price
Qty
Loading...
NBP3-06407-50ul
NBP3-06407-100ul
Conjugate
Catalog #

Key Product Details

Species Reactivity

Human

Applications

Immunohistochemistry, Immunohistochemistry-Paraffin, Western Blot

Label

Unconjugated

Antibody Source

Polyclonal Rabbit IgG

Format

BSA Free

Concentration

Please see the vial label for concentration. If unlisted please contact technical services.

Product Specifications

Immunogen

Produced in rabbits immunized with E. coli-derived Human KIFC1 fragment.

Clonality

Polyclonal

Host

Rabbit

Isotype

IgG

Description

This antibody can be stored at 2C-8C for one month without detectable loss of activity. Antibody products are stable for twelve months from date of receipt when stored at -20C to -80C. Avoid repeated freeze-thaw cycles.

Scientific Data Images for KIFC1 Antibody - BSA Free

Western Blot: KIFC1 Antibody [NBP3-06407]

Western Blot: KIFC1 Antibody [NBP3-06407]

Western Blot: KIFC1 Antibody [NBP3-06407] - KIFC1 Antibody at 1:500 dilution. Lane A: HeLa Whole Cell Lysate. Lysates/proteins at 30 ug per lane. Secondary: Goat Anti-Rabbit IgG (H+L)/HRP at 1/10000 dilution. Developed using the ECL technique. Performed under reducing conditions. Observed band size:74 kDa.
Immunohistochemistry-Paraffin: KIFC1 Antibody [NBP3-06407]

Immunohistochemistry-Paraffin: KIFC1 Antibody [NBP3-06407]

Immunohistochemistry-Paraffin: KIFC1 Antibody [NBP3-06407] - Immunochemical staining of human KIFC1 in human tonsil with rabbit polyclonal antibody at 1:500 dilution, formalin-fixed paraffin embedded sections.
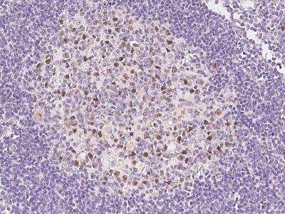
Immunohistochemistry-Paraffin: KIFC1 Antibody [NBP3-06407]

Immunohistochemistry-Paraffin: KIFC1 Antibody [NBP3-06407]

Immunohistochemistry-Paraffin: KIFC1 Antibody [NBP3-06407] - Immunochemical staining of human KIFC1 in human lymph node with rabbit polyclonal antibody at 1:500 dilution, formalin-fixed paraffin embedded sections.

Applications for KIFC1 Antibody - BSA Free

Application
Recommended Usage

Immunohistochemistry-Paraffin

1:200-1:1000

Western Blot

1:500-1:2000

Formulation, Preparation, and Storage

Purification

Antigen and protein A Affinity-purified

Formulation

PBS

Format

BSA Free

Preservative

0.03% Proclin 300

Concentration

Please see the vial label for concentration. If unlisted please contact technical services.

Shipping

The product is shipped with polar packs. Upon receipt, store it immediately at the temperature recommended below.

Stability & Storage

Store at 4C short term. Aliquot and store at -20C long term. Avoid freeze-thaw cycles.

Background: KIFC1

Minus end-directed microtubule-dependent motor required for bipolar spindle formation. May contribute to movement of early endocytic vesicles

Alternate Names

HSETMGC1202, kinesin family member C1, kinesin-like 2, Kinesin-like protein 2, kinesin-like protein KIFC1, Kinesin-related protein HSET, KNSL2MGC149736, MGC149737

Gene Symbol

KIFC1

Additional KIFC1 Products

Product Documents for KIFC1 Antibody - BSA Free

Certificate of Analysis

To download a Certificate of Analysis, please enter a lot number in the search box below.

Product Specific Notices for KIFC1 Antibody - BSA Free

This product is for research use only and is not approved for use in humans or in clinical diagnosis. Primary Antibodies are guaranteed for 1 year from date of receipt.

Loading...
Loading...
Loading...
Loading...