Skip to main content

KIFC1 Antibody (S03-3E4)

Novus Biologicals, part of Bio-Techne | Catalog # NBP3-15052

Recombinant Monoclonal Antibody
Novus Biologicals, part of Bio-Techne
Catalog #
Availability
Size / Price
Qty
Loading...
NBP3-15052-100ul
NBP3-15052-25ul

Key Product Details

Species Reactivity

Human

Applications

Immunohistochemistry, Immunohistochemistry-Paraffin, Western Blot, Immunocytochemistry/ Immunofluorescence

Label

Unconjugated

Antibody Source

Recombinant Monoclonal Rabbit IgG Clone # S03-3E4 expressed in HEK293

Concentration

Please see the vial label for concentration. If unlisted please contact technical services.

Product Specifications

Immunogen

A synthetic peptide of human KIFC1 (Uniprot#: Q9BW19)

Clonality

Monoclonal

Host

Rabbit

Isotype

IgG

Theoretical MW

74 kDa.
Disclaimer note: The observed molecular weight of the protein may vary from the listed predicted molecular weight due to post translational modifications, post translation cleavages, relative charges, and other experimental factors.

Description

Novus Biologicals Rabbit KIFC1 Antibody (S03-3E4) (NBP3-15052) is a recombinant monoclonal antibody validated for use in IHC, WB and ICC/IF. All Novus Biologicals antibodies are covered by our 100% guarantee.

Scientific Data Images for KIFC1 Antibody (S03-3E4)

Western Blot: KIFC1 Antibody (S03-3E4) [NBP3-15052]

Western Blot: KIFC1 Antibody (S03-3E4) [NBP3-15052]

Western Blot: KIFC1 Antibody (S03-3E4) [NBP3-15052] - Western blot detection of KIFC1 in K562, 3T3, Hela cell lysates using KIFC1 Rabbit mAb (1:1000 diluted). Predicted band size: 74kDa. Observed band size: 74kDa.
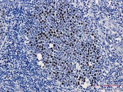
Immunohistochemistry-Paraffin: KIFC1 Antibody (S03-3E4) [NBP3-15052]

Immunohistochemistry-Paraffin: KIFC1 Antibody (S03-3E4) [NBP3-15052]

Immunohistochemistry-Paraffin: KIFC1 Antibody (S03-3E4) [NBP3-15052] - Immunohistochemistry of KIFC1 in paraffin-embedded Human tonsil using KIFC1 Rabbit mAb at dilution 1/2
KIFC1 Antibody (S03-3E4)

Immunocytochemistry/Immunofluorescence: KIFC1 Antibody (S03-3E4) [NBP3-15052] -

Immunocytochemistry/Immunofluorescence: KIFC1 Antibody (S03-3E4) [NBP3-15052] - Immunofluorescence of KIFC1 (green) in Hela cells using NBP3-15052 at dilution 1/50, and DAPI (blue)

Applications for KIFC1 Antibody (S03-3E4)

Application
Recommended Usage

Immunocytochemistry/ Immunofluorescence

1/20

Immunohistochemistry

1/20

Western Blot

1/2000-1/10000

Formulation, Preparation, and Storage

Purification

Affinity purified

Formulation

50mM Tris-Glycine (pH 7.4), 0.15M NaCl, 40% Glycerol, 0.05% BSA

Preservative

0.01% Sodium Azide

Concentration

Please see the vial label for concentration. If unlisted please contact technical services.

Shipping

The product is shipped with polar packs. Upon receipt, store it immediately at the temperature recommended below.

Stability & Storage

Store at 4C short term. Aliquot and store at -20C long term. Avoid freeze-thaw cycles.

Background: KIFC1

Minus end-directed microtubule-dependent motor required for bipolar spindle formation. May contribute to movement of early endocytic vesicles

Alternate Names

HSETMGC1202, kinesin family member C1, kinesin-like 2, Kinesin-like protein 2, kinesin-like protein KIFC1, Kinesin-related protein HSET, KNSL2MGC149736, MGC149737

Gene Symbol

KIFC1

Additional KIFC1 Products

Product Documents for KIFC1 Antibody (S03-3E4)

Certificate of Analysis

To download a Certificate of Analysis, please enter a lot number in the search box below.

Product Specific Notices for KIFC1 Antibody (S03-3E4)

This product is for research use only and is not approved for use in humans or in clinical diagnosis. Primary Antibodies are guaranteed for 1 year from date of receipt.

Loading...
Loading...
Loading...
Loading...