Skip to main content

KIF7 Antibody - BSA Free

Novus Biologicals, part of Bio-Techne | Catalog # NBP1-92056

Novus Biologicals, part of Bio-Techne
Catalog #
Availability
Size / Price
Qty
Loading...
NBP1-92056
NBP1-92056-25ul

Key Product Details

Species Reactivity

Human

Applications

Immunohistochemistry, Immunohistochemistry-Paraffin

Label

Unconjugated

Antibody Source

Polyclonal Rabbit IgG

Format

BSA Free

Concentration

Concentrations vary lot to lot. See vial label for concentration. If unlisted please contact technical services.

Product Specifications

Immunogen

This antibody was developed against Recombinant Protein corresponding to amino acids: MWINQELKQKLGGVNAVGHSRGGEKRSLCSEGRQAPGNEDELHLAPELLWLSPLTEGAPRTREETRDLVHAPLPLTWKRSSLCGEEQGSPEELRQREAAEPLVGRVLPVGE

Clonality

Polyclonal

Host

Rabbit

Isotype

IgG

Scientific Data Images for KIF7 Antibody - BSA Free

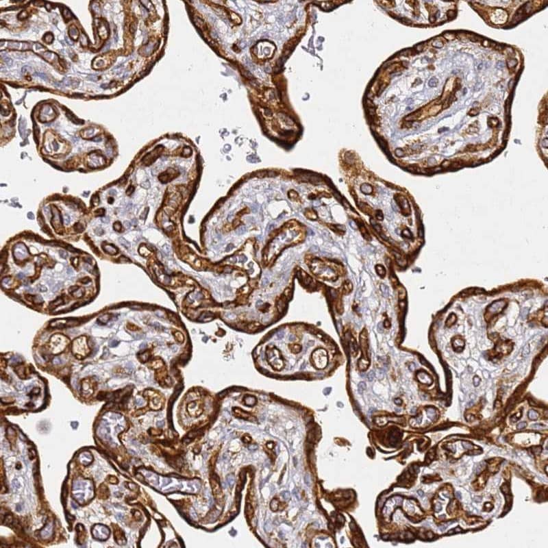
KIF7 Antibody - BSA Free Immunohistochemistry: KIF7 Antibody - BSA Free [NBP1-92056]

Immunohistochemistry: KIF7 Antibody - BSA Free [NBP1-92056]

Staining of human placenta shows strong cytoplasmic positivity in trophoblastic cells.

Applications for KIF7 Antibody - BSA Free

Application
Recommended Usage

Immunohistochemistry

1:500 - 1:1000

Immunohistochemistry-Paraffin

1:500 - 1:1000
Application Notes
For IHC-Paraffin, HIER pH 6 retrieval is recommended.

Formulation, Preparation, and Storage

Purification

Affinity purified

Formulation

PBS (pH 7.2) and 40% Glycerol

Format

BSA Free

Preservative

0.02% Sodium Azide

Concentration

Concentrations vary lot to lot. See vial label for concentration. If unlisted please contact technical services.

Shipping

The product is shipped with polar packs. Upon receipt, store it immediately at the temperature recommended below.

Stability & Storage

Store at 4C short term. Aliquot and store at -20C long term. Avoid freeze-thaw cycles.

Background: KIF7

Alternate Names

EQYK340, kinesin family member 7, kinesin-like protein KIF7, MGC120653, MGC138476, MGC138478, UNQ340

Gene Symbol

KIF7

Additional KIF7 Products

Product Documents for KIF7 Antibody - BSA Free

Certificate of Analysis

To download a Certificate of Analysis, please enter a lot number in the search box below.

Product Specific Notices for KIF7 Antibody - BSA Free

This product is for research use only and is not approved for use in humans or in clinical diagnosis. Primary Antibodies are guaranteed for 1 year from date of receipt.

Loading...
Loading...
Loading...
Loading...