Skip to main content

Kif4A Antibody - BSA Free

Novus Biologicals, part of Bio-Techne | Catalog # NBP1-83721

Novus Biologicals, part of Bio-Techne
Catalog #
Availability
Size / Price
Qty
Loading...
NBP1-83721
NBP1-83721-25ul

Key Product Details

Species Reactivity

Human

Applications

Immunohistochemistry, Immunohistochemistry-Paraffin, Western Blot, Immunocytochemistry/ Immunofluorescence

Label

Unconjugated

Antibody Source

Polyclonal Rabbit IgG

Format

BSA Free

Concentration

Concentrations vary lot to lot. See vial label for concentration. If unlisted please contact technical services.

Product Specifications

Immunogen

This antibody was developed against Recombinant Protein corresponding to amino acids: LTLLQVASRQKHLPKDTLLSPDSSFEYVPPKPKPSRVKEKFLEQSMDIEDLKYCSEHSVNEHEDGDGDDDEGDDEEWKPTKL

Clonality

Polyclonal

Host

Rabbit

Isotype

IgG

Scientific Data Images for Kif4A Antibody - BSA Free

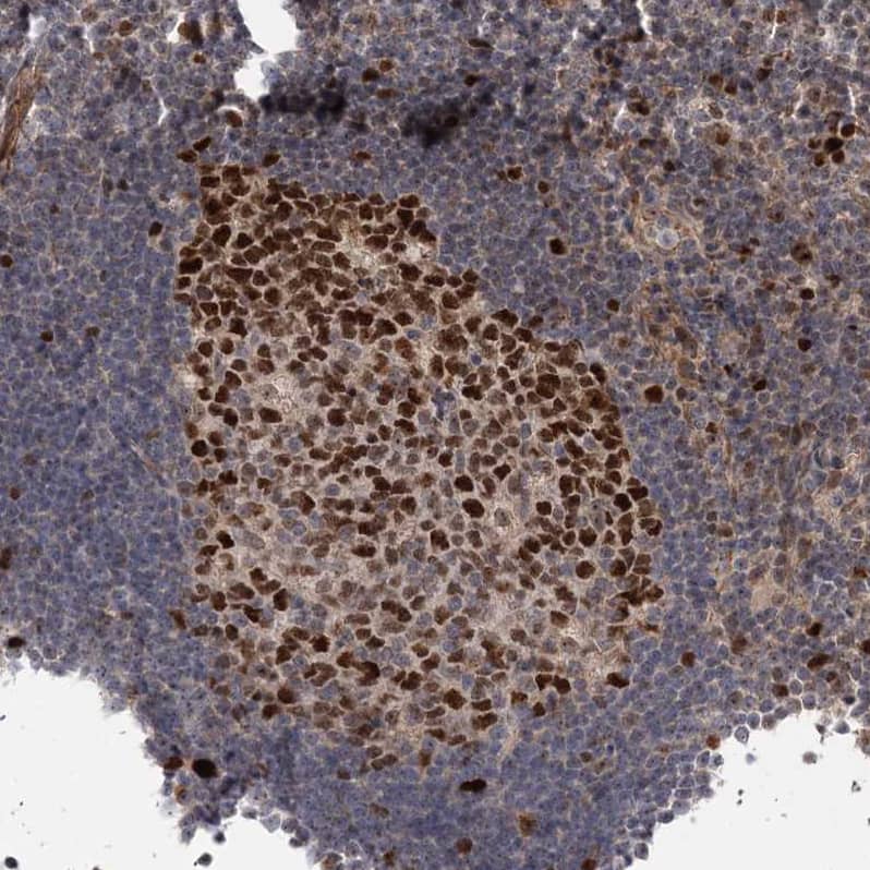
Immunohistochemistry-Paraffin: Kif4A Antibody [NBP1-83721]

Immunohistochemistry-Paraffin: Kif4A Antibody [NBP1-83721]

Immunohistochemistry-Paraffin: Kif4A Antibody [NBP1-83721] - Staining of human bone marrow shows strong nuclear positivity in hematopoietic cells.
Kif4A Antibody - BSA Free Western Blot: Kif4A Antibody - BSA Free [NBP1-83721]

Western Blot: Kif4A Antibody - BSA Free [NBP1-83721]

Analysis in human cell line NTERA-2.
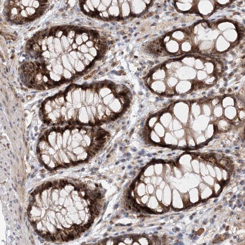
Kif4A Antibody - BSA Free Immunohistochemistry-Paraffin: Kif4A Antibody - BSA Free [NBP1-83721]

Immunohistochemistry-Paraffin: Kif4A Antibody - BSA Free [NBP1-83721]

Staining of human colon shows strong nuclear positivity in glandular cells.

Applications for Kif4A Antibody - BSA Free

Application
Recommended Usage

Immunocytochemistry/ Immunofluorescence

0.25-2 ug/ml

Immunohistochemistry

1:200 - 1:500

Immunohistochemistry-Paraffin

1:200 - 1:500

Western Blot

0.04-0.4 ug/ml
Application Notes
For IHC-Paraffin, HIER pH 6 retrieval is recommended. ICC/IF Fixation Permeabilization: Use PFA/Triton X-100.

Formulation, Preparation, and Storage

Purification

Affinity purified

Formulation

PBS (pH 7.2) and 40% Glycerol

Format

BSA Free

Preservative

0.02% Sodium Azide

Concentration

Concentrations vary lot to lot. See vial label for concentration. If unlisted please contact technical services.

Shipping

The product is shipped with polar packs. Upon receipt, store it immediately at the temperature recommended below.

Stability & Storage

Store at 4C short term. Aliquot and store at -20C long term. Avoid freeze-thaw cycles.

Background: Kif4A

The kinesin superfamily of proteins consists of over forty KIF motor proteins that function in intracellular transport along microtubules. Kinesin activity has been linked to various cellular functions such as vesicle transport, mitotic spindle formation, chromosome segregation, and cytokinesis. Structurally, all kinesins contain a motor domain with microtubule and nucleotide binding sites that utilize ATP to target cargo along microtubule filaments. KIF14 silencing experiments suggest that KIF14 plays a multi-functional role in mitosis and cytokinesis. KIF4A has been shown to be essential for cytokinesis. KIF4A is also known as kinesin family member 4A, chromosome-associated kinesin KIF4A, chromokinesin, KIF4, KIF4-G1, FLJ12530, FLJ12655, FLJ14204, FLJ20631, and HSA271784.

Alternate Names

chromokinesin-A, chromosome-associated kinesin KIF4A, FLJ12530, FLJ12655, FLJ14204, FLJ20631, HSA271784, KIF4G1, KIF4KIF4-G1, kinesin family member 4A

Gene Symbol

KIF4A

Additional Kif4A Products

Product Documents for Kif4A Antibody - BSA Free

Certificate of Analysis

To download a Certificate of Analysis, please enter a lot number in the search box below.

Product Specific Notices for Kif4A Antibody - BSA Free

This product is for research use only and is not approved for use in humans or in clinical diagnosis. Primary Antibodies are guaranteed for 1 year from date of receipt.

Loading...
Loading...
Loading...
Loading...