Skip to main content

Kif4A Antibody (JE38-91)

Novus Biologicals, part of Bio-Techne | Catalog # NBP3-32502

Recombinant Monoclonal Antibody
Novus Biologicals, part of Bio-Techne
Catalog #
Availability
Size / Price
Qty
Loading...
NBP3-32502

Key Product Details

Species Reactivity

Human, Mouse

Applications

Immunohistochemistry, Immunohistochemistry-Paraffin, Western Blot

Label

Unconjugated

Antibody Source

Recombinant Monoclonal Rabbit IgG Clone # JE38-91 expressed in HEK293

Concentration

1 mg/ml

Product Specifications

Immunogen

Synthetic peptide within Human Kif4A aa 31-80 / 1,232. (Uniprot: O95239)

Localization

Nucleus matrix, Cytoplasm, cytoskeleton, spindle, Midbody, Chromosome.

Clonality

Monoclonal

Host

Rabbit

Isotype

IgG

Theoretical MW

140 kDa.
Disclaimer note: The observed molecular weight of the protein may vary from the listed predicted molecular weight due to post translational modifications, post translation cleavages, relative charges, and other experimental factors.

Description

Novus Biologicals Rabbit Kif4A Antibody (JE38-91) (NBP3-32502) is a recombinant monoclonal antibody validated for use in IHC and WB. All Novus Biologicals antibodies are covered by our 100% guarantee.

Scientific Data Images for Kif4A Antibody (JE38-91)

Kif4A Antibody (JE38-91)

Western Blot: Kif4A Antibody (JE38-91) [NBP3-32502]

Western Blot: Kif4A Antibody (JE38-91) [NBP3-32502] - Western blot analysis of Kif4A on different lysates with Rabbit anti-Kif4A antibody (NBP3-32502) at 1/1,000 dilution.

Lane 1: HeLa cell lysate (20 ug/Lane)
Lane 2: U-87 MG cell lysate (20 ug/Lane)
Lane 3: 293T cell lysate (20 ug/Lane)
Lane 4: SW480 cell lysate (20 ug/Lane)
Lane 5: Mouse thymus tissue lysate (40 ug/Lane)
Lane 6: NIH/3T3 cell lysate (20 ug/Lane)

Predicted band size: 140 kDa
Observed band size: 160 kDa

Exposure time: 6 minutes;

4-20% SDS-PAGE gel.

Proteins were transferred to a PVDF membrane and blocked with 5% NFDM/TBST for 1 hour at room temperature. The primary antibody (NBP3-32502) at 1/1,000 dilution was used in 5% NFDM/TBST at 4 overnight. Goat Anti-Rabbit IgG - HRP Secondary Antibody at 1:100,000 dilution was used for 1 hour at room temperature.
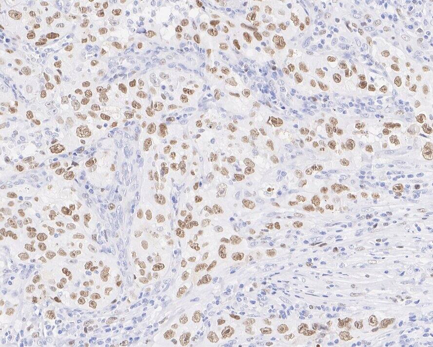
Kif4A Antibody (JE38-91)

Immunohistochemistry: Kif4A Antibody (JE38-91) [NBP3-32502]

Immunohistochemistry: Kif4A Antibody (JE38-91) [NBP3-32502] - Immunohistochemical analysis of paraffin-embedded human lung carcinoma tissue with Rabbit anti-Kif4A antibody (NBP3-32502) at 1/1,000 dilution.

The section was pre-treated using heat mediated antigen retrieval with Tris-EDTA buffer (pH 9.0) for 20 minutes. The tissues were blocked in 1% BSA for 20 minutes at room temperature, washed with ddH2O and PBS, and then probed with the primary antibody (NBP3-32502) at 1/1,000 dilution for 1 hour at room temperature. The detection was performed using an HRP conjugated compact polymer system. DAB was used as the chromogen. Tissues were counterstained with hematoxylin and mounted with DPX.

Applications for Kif4A Antibody (JE38-91)

Application
Recommended Usage

Immunohistochemistry-Paraffin

1:1000

Western Blot

1:1000

Formulation, Preparation, and Storage

Purification

Protein A purified

Formulation

1*TBS (pH7.4), 0.05% BSA and 40% Glycerol

Preservative

0.05% Sodium Azide

Concentration

1 mg/ml

Shipping

The product is shipped with polar packs. Upon receipt, store it immediately at the temperature recommended below.

Stability & Storage

Store at 4C short term. Aliquot and store at -20C long term. Avoid freeze-thaw cycles.

Background: Kif4A

The kinesin superfamily of proteins consists of over forty KIF motor proteins that function in intracellular transport along microtubules. Kinesin activity has been linked to various cellular functions such as vesicle transport, mitotic spindle formation, chromosome segregation, and cytokinesis. Structurally, all kinesins contain a motor domain with microtubule and nucleotide binding sites that utilize ATP to target cargo along microtubule filaments. KIF14 silencing experiments suggest that KIF14 plays a multi-functional role in mitosis and cytokinesis. KIF4A has been shown to be essential for cytokinesis. KIF4A is also known as kinesin family member 4A, chromosome-associated kinesin KIF4A, chromokinesin, KIF4, KIF4-G1, FLJ12530, FLJ12655, FLJ14204, FLJ20631, and HSA271784.

Alternate Names

chromokinesin-A, chromosome-associated kinesin KIF4A, FLJ12530, FLJ12655, FLJ14204, FLJ20631, HSA271784, KIF4G1, KIF4KIF4-G1, kinesin family member 4A

Gene Symbol

KIF4A

Additional Kif4A Products

Product Documents for Kif4A Antibody (JE38-91)

Certificate of Analysis

To download a Certificate of Analysis, please enter a lot number in the search box below.

Product Specific Notices for Kif4A Antibody (JE38-91)

This product is for research use only and is not approved for use in humans or in clinical diagnosis. Primary Antibodies are guaranteed for 1 year from date of receipt.

Loading...
Loading...
Loading...
Loading...