Skip to main content

KIF2C Antibody (KIF2C/6522)

Novus Biologicals, part of Bio-Techne | Catalog # NBP3-20657

Novus Biologicals, part of Bio-Techne
Catalog #
Availability
Size / Price
Qty
Loading...
NBP3-20657-100ug
NBP3-20657-20ug

Key Product Details

Species Reactivity

Human

Applications

Immunohistochemistry-Paraffin

Label

Unconjugated

Antibody Source

Monoclonal Mouse IgG1 kappa Clone # KIF2C/6522

Concentration

0.2 mg/ml

Product Specifications

Immunogen

Recombinant fragment (around aa500-700) of human KIF2C protein (exact sequence is proprietary)

Localization

Cytoplasm. Nucleus.

Clonality

Monoclonal

Host

Mouse

Isotype

IgG1 kappa

Description

Positive Controls: Human thymus or testis. Isoform 2 is testis-specific.

Antibody with azide - store at 2 to 8C. Antibody without azide - store at -20 to -80C. Non-hazardous. No MSDS required.

Scientific Data Images for KIF2C Antibody (KIF2C/6522)

KIF2C Antibody (KIF2C/6522)

KIF2C Antibody (KIF2C/6522)

Analysis of Protein Array containing more than 19,000 full-length human proteins using KIF2C / MCAK Mouse Monoclonal Antibody (KIF2C/6522).
KIF2C Antibody (KIF2C/6522)

KIF2C Antibody (KIF2C/6522)

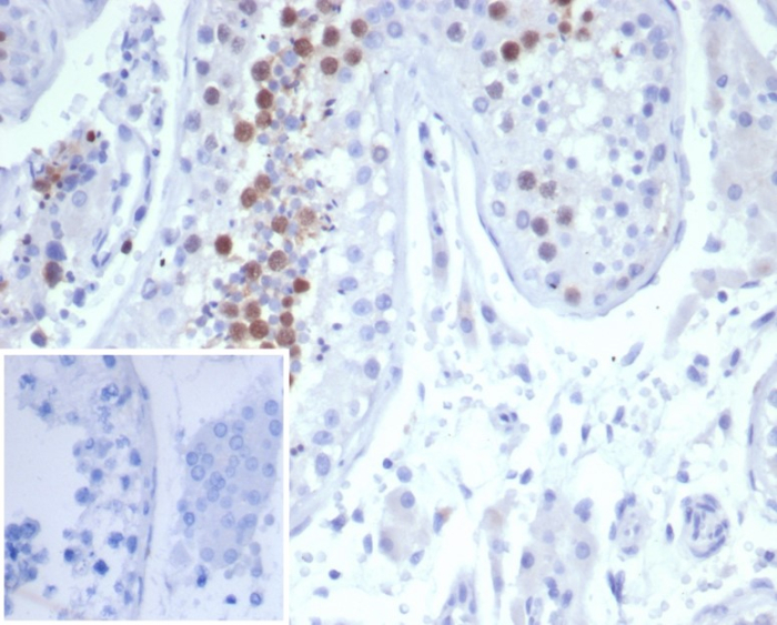
Formalin-fixed, paraffin-embedded human testis stained with KIF2C antibody (KIF2C/6522) at 2ug/ml. Inset: PBS instead of primary antibody; secondary only negative control.
KIF2C Antibody (KIF2C/6522)

KIF2C Antibody (KIF2C/6522)

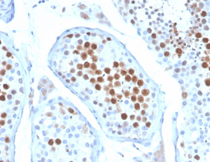
Formalin-fixed, paraffin-embedded human testis stained with KIF2C antibody (KIF2C/6522) at 2ug/ml. HIER: Tris/EDTA, pH9.0, 45min. Secondary: HRP-polymer, 30min. DAB, 5min.

Applications for KIF2C Antibody (KIF2C/6522)

Application
Recommended Usage

Immunohistochemistry-Paraffin

1-2 ug/ml
Application Notes
Immunohistochemistry (Formalin-fixed): 1-2ug/ml for 30 minutes. at RT. Staining of formalin-fixed tissues requires heating tissue sections in 10mM Tris with 1mM EDTA, pH 9.0, for 45 min at 95C followed by cooling at RT for 20 minutes.

Optimal dilution for a specific application should be determined.

Formulation, Preparation, and Storage

Purification

Protein A or G purified

Formulation

10mM PBS with 0.05% BSA

Preservative

0.05% Sodium Azide

Concentration

0.2 mg/ml

Shipping

The product is shipped with polar packs. Upon receipt, store it immediately at the temperature recommended below.

Stability & Storage

Store at 4C. Do not freeze.

Background: KIF2C

KIF2C is encoded by this gene is a member of kinesin-like protein family. Proteins of this family are microtubule-dependent molecular motors that transport organelles within cells and move chromosomes during cell division. This protein is important for anaphase chromosome segregation and may be required to coordinate the onset of sister centromere separation.

Alternate Names

kinesin family member 2C, kinesin-like 6 (mitotic centromere-associated kinesin), Kinesin-like protein 6, kinesin-like protein KIF2C, MCAKKNSL6kinesin-like 6, Mitotic centromere-associated kinesin

Gene Symbol

KIF2C

Additional KIF2C Products

Product Documents for KIF2C Antibody (KIF2C/6522)

Certificate of Analysis

To download a Certificate of Analysis, please enter a lot number in the search box below.

Product Specific Notices for KIF2C Antibody (KIF2C/6522)

This product is for research use only and is not approved for use in humans or in clinical diagnosis. Primary Antibodies are guaranteed for 1 year from date of receipt.

Loading...
Loading...
Loading...
Loading...