Skip to main content

KIF22 Antibody - BSA Free

Novus Biologicals, part of Bio-Techne | Catalog # NBP3-35523

Novus Biologicals, part of Bio-Techne
Catalog #
Availability
Size / Price
Qty
Loading...
NBP3-35523-100ul
NBP3-35523-20ul

Key Product Details

Species Reactivity

Human, Mouse

Applications

Immunohistochemistry, Immunohistochemistry-Paraffin, Western Blot, ELISA

Label

Unconjugated

Antibody Source

Polyclonal Rabbit IgG

Format

BSA Free

Concentration

Please see the vial label for concentration. If unlisted please contact technical services.

Product Specifications

Immunogen

Recombinant fusion protein containing a sequence corresponding to amino acids 456-665 of human KIF22 (NP_015556.1).

Sequence:
QGAPLLSTPKRERMVLMKTVEEKDLEIERLKTKQKELEAKMLAQKAEEKENHCPTMLRPLSHRTVTGAKPLKKAVVMPLQLIQEQAASPNAEIHILKNKGRKRKLESLDALEPEEKAEDCWELQISPELLAHGRQKILDLLNEGSARDLRSLQRIGPKKAQLIVGWRELHGPFSQVEDLERVEGITGKQMESFLKANILGLAAGQRCGAS

Clonality

Polyclonal

Host

Rabbit

Isotype

IgG

Theoretical MW

73 kDa.
Disclaimer note: The observed molecular weight of the protein may vary from the listed predicted molecular weight due to post translational modifications, post translation cleavages, relative charges, and other experimental factors.

Description

Novus Biologicals Rabbit KIF22 Antibody - BSA Free (NBP3-35523) is a polyclonal antibody validated for use in IHC, WB and ELISA. All Novus Biologicals antibodies are covered by our 100% guarantee.

Scientific Data Images for KIF22 Antibody - BSA Free

KIF22 Antibody

Western Blot: KIF22 Antibody [NBP3-35523] -

Western Blot: KIF22 Antibody [NBP3-35523] - Western blot analysis of various lysates using KIF22 Rabbit pAb at 1:1000 dilution.
Secondary antibody: HRP-conjugated Goat anti-Rabbit IgG (H+L) at 1:10000 dilution.
Lysates/proteins: 25ug per lane.
Blocking buffer: 3% nonfat dry milk in TBST.
Detection: ECL Basic Kit.
Exposure time: 3s.
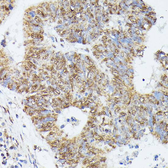
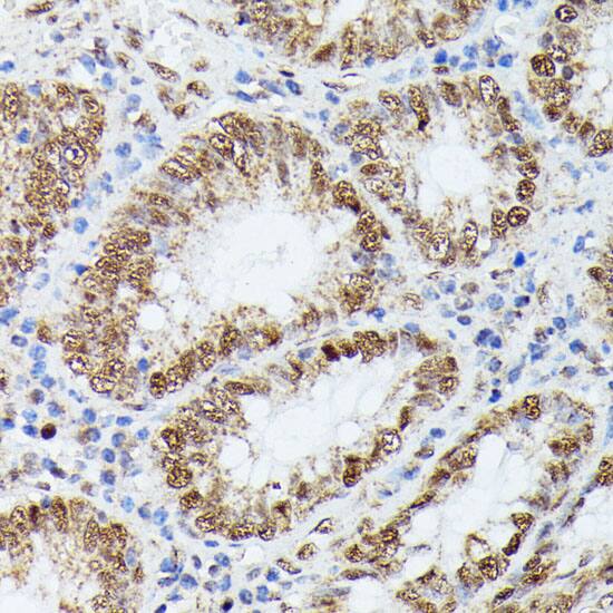
KIF22 Antibody

Immunohistochemistry: KIF22 Antibody [NBP3-35523] -

Immunohistochemistry: KIF22 Antibody [NBP3-35523] - Immunohistochemistry analysis of paraffin-embedded Human colon using KIF22 Rabbit pAb at dilution of 1:100 (40x lens). Microwave antigen retrieval performed with 0.01M PBS Buffer (pH 7.2) prior to IHC staining.
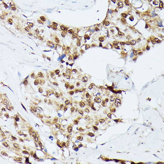
KIF22 Antibody

Immunohistochemistry: KIF22 Antibody [NBP3-35523] -

Immunohistochemistry: KIF22 Antibody [NBP3-35523] - Immunohistochemistry analysis of paraffin-embedded Human breast cancer using KIF22 Rabbit pAb at dilution of 1:100 (40x lens). Microwave antigen retrieval performed with 0.01M PBS Buffer (pH 7.2) prior to IHC staining.

Applications for KIF22 Antibody - BSA Free

Application
Recommended Usage

Immunohistochemistry-Paraffin

1:50 - 1:200

Western Blot

1:200 - 1:2000

Formulation, Preparation, and Storage

Purification

Affinity purified

Formulation

PBS (pH 7.3), 50% glycerol

Format

BSA Free

Preservative

0.09% Sodium Azide

Concentration

Please see the vial label for concentration. If unlisted please contact technical services.

Shipping

The product is shipped with polar packs. Upon receipt, store it immediately at the temperature recommended below.

Stability & Storage

Store at -20C. Avoid freeze-thaw cycles.

Background: KIF22

KIF22 is encoded by this gene is a member of kinesin-like protein family. This family of proteins are microtubule-dependent molecular motors that transport organelles within cells and move chromosomes during cell division. The C-terminal half of this protein has been shown to bind DNA. Studies with the Xenopus homolog suggests its essential role in metaphase chromosome alignment and maintenance.

Alternate Names

Kid, KIDA-328A3.2, kinesin family member 22, kinesin-like 4, Kinesin-like DNA-binding protein, Kinesin-like protein 4, kinesin-like protein KIF22, KNSL4kinesin-like DNA-binding protein pseudogene, OBP, OBP-1, OBP-2, origin of plasmid DNA replication-binding protein, oriP binding protein

Gene Symbol

KIF22

Additional KIF22 Products

Product Documents for KIF22 Antibody - BSA Free

Certificate of Analysis

To download a Certificate of Analysis, please enter a lot number in the search box below.

Product Specific Notices for KIF22 Antibody - BSA Free

This product is for research use only and is not approved for use in humans or in clinical diagnosis. Primary Antibodies are guaranteed for 1 year from date of receipt.

Loading...
Loading...
Loading...
Loading...