Skip to main content

KIF17 Antibody - Azide and BSA Free

Novus Biologicals, part of Bio-Techne | Catalog # NBP3-04986

Novus Biologicals, part of Bio-Techne
Catalog #
Availability
Size / Price
Qty
Loading...
NBP3-04986-100ul
NBP3-04986-20ul

Key Product Details

Species Reactivity

Human, Mouse, Rat

Applications

Immunohistochemistry, Immunohistochemistry-Paraffin, Western Blot, Immunocytochemistry/ Immunofluorescence

Label

Unconjugated

Antibody Source

Polyclonal Rabbit IgG

Format

Azide and BSA Free

Concentration

Please see the vial label for concentration. If unlisted please contact technical services.

Product Specifications

Immunogen

Recombinant fusion protein containing a sequence corresponding to amino acids 360-660 of human KIF17 (NP_001116291). LKAILTQQMSPSSLSALLSRQVPPDPVQVEEKLLPQPVIQHDVEAEKQLIREEYEERLARLKADYKAEQESRARLEEDITAMRNSYDVRLSTLEENLRKETEAVLQVGVLYKAEVMSRAEFASSAEYPPAFQYETVVKPKVFSTTDTLPSDDVSKTQVSSRFAELPKVEPSKSEISLGSSESSSLEETSVSEAFPGPEEPSNVEVSMPTEESRSRYFLDECLGQEAAGHLLGEQNYLPQEEPQEVPLQGLLGLQDPFAEVEAKLARLSSTVARTDAPQADVPKVPVQVPAPTDLLEPSDAR

Clonality

Polyclonal

Host

Rabbit

Isotype

IgG

Description

Novus Biologicals Rabbit KIF17 Antibody - Azide and BSA Free (NBP3-04986) is a polyclonal antibody validated for use in IHC, WB and ICC/IF. All Novus Biologicals antibodies are covered by our 100% guarantee.

Scientific Data Images for KIF17 Antibody - Azide and BSA Free

Western Blot: KIF17 AntibodyAzide and BSA Free [NBP3-04986]

Western Blot: KIF17 AntibodyAzide and BSA Free [NBP3-04986]

Western Blot: KIF17 Antibody [NBP3-04986] - Analysis of extracts of various cell lines, using KIF17 antibody at 1:1000 dilution. Secondary antibody: HRP Goat Anti-Rabbit IgG (H+L) at 1:10000 dilution. Lysates/proteins: 25ug per lane. Blocking buffer: 3% nonfat dry milk in TBST. Detection: ECL Basic Kit
Immunohistochemistry-Paraffin: KIF17 Antibody - Azide and BSA Free [NBP3-04986]

Immunohistochemistry-Paraffin: KIF17 Antibody - Azide and BSA Free [NBP3-04986]

Immunohistochemistry-Paraffin: KIF17 Antibody [NBP3-04986] - Immunohistochemistry of paraffin-embedded Rat testis using KIF17 Rabbit pAb (NBP3-04986) at dilution of 1:100 (40x lens). Perform microwave antigen retrieval with 10 mM PBS buffer pH 7.2 before commencing with IHC staining protocol.
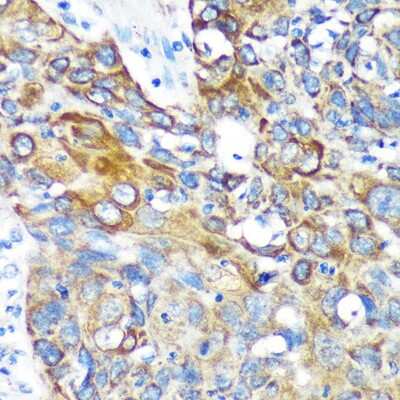
Immunohistochemistry-Paraffin: KIF17 Antibody - Azide and BSA Free [NBP3-04986]

Immunohistochemistry-Paraffin: KIF17 Antibody - Azide and BSA Free [NBP3-04986]

Immunohistochemistry-Paraffin: KIF17 Antibody [NBP3-04986] - Immunohistochemistry of paraffin-embedded Human lung cancer using KIF17 Rabbit pAb (NBP3-04986) at dilution of 1:100 (40x lens). Perform microwave antigen retrieval with 10 mM PBS buffer pH 7.2 before commencing with IHC staining protocol.

Applications for KIF17 Antibody - Azide and BSA Free

Application
Recommended Usage

Immunocytochemistry/ Immunofluorescence

1:50-1:200

Immunohistochemistry

1:50-1:200

Western Blot

1:500-1:2000

Formulation, Preparation, and Storage

Purification

Affinity purified

Formulation

PBS (pH 7.3), 50% glycerol

Format

Azide and BSA Free

Preservative

0.01% Thimerosal

Concentration

Please see the vial label for concentration. If unlisted please contact technical services.

Shipping

The product is shipped with polar packs. Upon receipt, store it immediately at the temperature recommended below.

Stability & Storage

Store at -20C. Avoid freeze-thaw cycles.

Background: KIF17

Transports vesicles containing N-methyl-D-aspartate (NMDA) receptor 2B along microtubules

Alternate Names

KIAA1405KIF3XKIF17 variant protein, KIF17B, KIF3-related motor protein, kinesin family member 17, kinesin-like protein KIF17

Gene Symbol

KIF17

Additional KIF17 Products

Product Documents for KIF17 Antibody - Azide and BSA Free

Certificate of Analysis

To download a Certificate of Analysis, please enter a lot number in the search box below.

Product Specific Notices for KIF17 Antibody - Azide and BSA Free

This product is for research use only and is not approved for use in humans or in clinical diagnosis. Primary Antibodies are guaranteed for 1 year from date of receipt.

Loading...
Loading...
Loading...
Loading...

⚠ WARNING: This product can expose you to chemicals including Methotrexate, which is known to the State of California to cause reproductive toxicity with developmental effects. For more information, go to www.P65Warnings.ca.gov