Skip to main content

KIF17 Antibody - BSA Free

Novus Biologicals, part of Bio-Techne | Catalog # NBP1-81409

Novus Biologicals, part of Bio-Techne
Catalog #
Availability
Size / Price
Qty
Loading...
NBP1-81409
NBP1-81409-25ul

Key Product Details

Validated by

Orthogonal Validation

Species Reactivity

Human

Applications

Immunohistochemistry, Immunohistochemistry-Paraffin, Immunocytochemistry/ Immunofluorescence

Label

Unconjugated

Antibody Source

Polyclonal Rabbit IgG

Format

BSA Free

Concentration

Concentrations vary lot to lot. See vial label for concentration. If unlisted please contact technical services.

Product Specifications

Immunogen

This antibody was developed against Recombinant Protein corresponding to amino acids: RYRLMLSRSNSENIASNYFRSKRASQILSTDARKSLTHHNSPPGLSCPLSNNSAIPPTQAPEMPQPRPFRLESLDIPFTKAKRKKSKSNFGSEP

Reactivity Notes

Immunogen displays the following percentage of sequence identity for non-tested species: Mouse (85%), Rat (82%)

Clonality

Polyclonal

Host

Rabbit

Isotype

IgG

Scientific Data Images for KIF17 Antibody - BSA Free

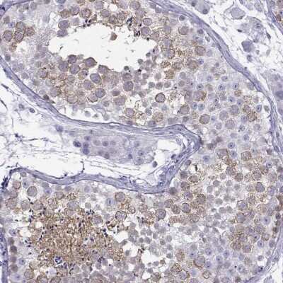
Immunohistochemistry-Paraffin: KIF17 Antibody [NBP1-81409]

Immunohistochemistry-Paraffin: KIF17 Antibody [NBP1-81409]

Immunohistochemistry-Paraffin: KIF17 Antibody [NBP1-81409] - Staining in human testis and endometrium tissues using anti-KIF17 antibody. Corresponding KIF17 RNA-seq data are presented for the same tissues.
Immunocytochemistry/ Immunofluorescence: KIF17 Antibody [NBP1-81409]

Immunocytochemistry/ Immunofluorescence: KIF17 Antibody [NBP1-81409]

Immunocytochemistry/Immunofluorescence: KIF17 Antibody [NBP1-81409] - Immunofluorescent staining of human cell line U-2 OS shows localization to nucleoplasm & plasma membrane.
Immunohistochemistry-Paraffin: KIF17 Antibody [NBP1-81409]

Immunohistochemistry-Paraffin: KIF17 Antibody [NBP1-81409]

Immunohistochemistry-Paraffin: KIF17 Antibody [NBP1-81409] - Staining of human endometrium shows low expression as expected.

Applications for KIF17 Antibody - BSA Free

Application
Recommended Usage

Immunocytochemistry/ Immunofluorescence

0.25-2 ug/ml

Immunohistochemistry

1:2500 - 1:5000

Immunohistochemistry-Paraffin

1:2500 - 1:5000
Application Notes
For IHC-Paraffin, HIER pH 6 retrieval is recommended. ICC/IF Fixation Permeabilization: Use PFA/Triton X-100.

Formulation, Preparation, and Storage

Purification

Affinity purified

Formulation

PBS (pH 7.2) and 40% Glycerol

Format

BSA Free

Preservative

0.02% Sodium Azide

Concentration

Concentrations vary lot to lot. See vial label for concentration. If unlisted please contact technical services.

Shipping

The product is shipped with polar packs. Upon receipt, store it immediately at the temperature recommended below.

Stability & Storage

Store at 4C short term. Aliquot and store at -20C long term. Avoid freeze-thaw cycles.

Background: KIF17

Transports vesicles containing N-methyl-D-aspartate (NMDA) receptor 2B along microtubules

Alternate Names

KIAA1405KIF3XKIF17 variant protein, KIF17B, KIF3-related motor protein, kinesin family member 17, kinesin-like protein KIF17

Gene Symbol

KIF17

Additional KIF17 Products

Product Documents for KIF17 Antibody - BSA Free

Certificate of Analysis

To download a Certificate of Analysis, please enter a lot number in the search box below.

Product Specific Notices for KIF17 Antibody - BSA Free

This product is for research use only and is not approved for use in humans or in clinical diagnosis. Primary Antibodies are guaranteed for 1 year from date of receipt.

Loading...
Loading...
Loading...
Loading...