KIAA1614 Antibody - BSA Free
Novus Biologicals, part of Bio-Techne | Catalog # NBP1-91038
Key Product Details
Species Reactivity
Human
Applications
Immunohistochemistry, Immunohistochemistry-Paraffin
Label
Unconjugated
Antibody Source
Polyclonal Rabbit IgG
Format
BSA Free
Concentration
Concentrations vary lot to lot. See vial label for concentration. If unlisted please contact technical services.
Product Specifications
Immunogen
This antibody was developed against Recombinant Protein corresponding to amino acids: DVEVENEVKEGRGHTPEGTLFLREDAKPPDLELKRVSLGPQWQPGPGLGSHQPHPLDSRTPCRTAYATTAPMTPESSGPG
Clonality
Polyclonal
Host
Rabbit
Isotype
IgG
Scientific Data Images for KIAA1614 Antibody - BSA Free
Immunohistochemistry-Paraffin: KIAA1614 Antibody [NBP1-91038]
Immunohistochemistry-Paraffin: KIAA1614 Antibody [NBP1-91038] - Staining of human adrenal gland shows strong positivity in cortical cells.Immunohistochemistry: KIAA1614 Antibody - BSA Free [NBP1-91038]
Staining of human colon shows moderate nuclear positivity in glandular cells.Immunohistochemistry: KIAA1614 Antibody - BSA Free [NBP1-91038]
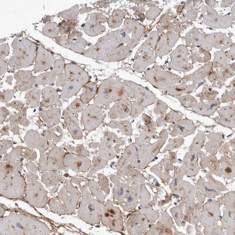
Staining of human heart muscle shows moderate membranous positivity in cardiomyocytes.Applications for KIAA1614 Antibody - BSA Free
Application
Recommended Usage
Immunohistochemistry
1:20 - 1:50
Immunohistochemistry-Paraffin
1:20 - 1:50
Application Notes
For IHC-Paraffin, HIER pH 6 retrieval is recommended. Immunocytochemistry/Immunofluorescence Fixation Permeabilization: Use PFA/Triton X-100.
Formulation, Preparation, and Storage
Purification
Affinity purified
Formulation
PBS (pH 7.2) and 40% Glycerol
Format
BSA Free
Preservative
0.02% Sodium Azide
Concentration
Concentrations vary lot to lot. See vial label for concentration. If unlisted please contact technical services.
Shipping
The product is shipped with polar packs. Upon receipt, store it immediately at the temperature recommended below.
Stability & Storage
Store at 4C short term. Aliquot and store at -20C long term. Avoid freeze-thaw cycles.
Background: KIAA1614
Alternate Names
FLJ32095, hypothetical protein LOC57710, KIAA1614, RP11-46A10.3
Gene Symbol
KIAA1614
Additional KIAA1614 Products
Product Documents for KIAA1614 Antibody - BSA Free
Product Specific Notices for KIAA1614 Antibody - BSA Free
This product is for research use only and is not approved for use in humans or in clinical diagnosis. Primary Antibodies are guaranteed for 1 year from date of receipt.
Loading...
Loading...
Loading...
Loading...