KHDC4 Antibody - BSA Free
Novus Biologicals, part of Bio-Techne | Catalog # NBP3-46406
Key Product Details
Species Reactivity
Human, Mouse
Applications
Immunohistochemistry, Western Blot, ELISA, Immunocytochemistry/ Immunofluorescence
Label
Unconjugated
Antibody Source
Polyclonal Rabbit IgG
Format
BSA Free
Concentration
Please see the vial label for concentration. If unlisted please contact technical services.
Product Specifications
Immunogen
KIAA0907. (Uniprot# Q7Z7F0)
Clonality
Polyclonal
Host
Rabbit
Isotype
IgG
Theoretical MW
68 kDa.
Disclaimer note: The observed molecular weight of the protein may vary from the listed predicted molecular weight due to post translational modifications, post translation cleavages, relative charges, and other experimental factors.
Disclaimer note: The observed molecular weight of the protein may vary from the listed predicted molecular weight due to post translational modifications, post translation cleavages, relative charges, and other experimental factors.
Description
Novus Biologicals Rabbit KHDC4 Antibody - BSA Free (NBP3-46406) is a polyclonal antibody validated for use in IHC, WB, ELISA and ICC/IF. All Novus Biologicals antibodies are covered by our 100% guarantee.
Scientific Data Images for KHDC4 Antibody - BSA Free
Western Blot: KHDC4 Antibody - BSA Free [NBP3-46406] -
Western Blot: KHDC4 Antibody - BSA Free [NBP3-46406] - Mouse liver tissue were subjected to SDS PAGE followed by western blot with (KHDC4 Antibody) at dilution of 1:300Immunohistochemistry: KHDC4 Antibody - BSA Free [NBP3-46406] -
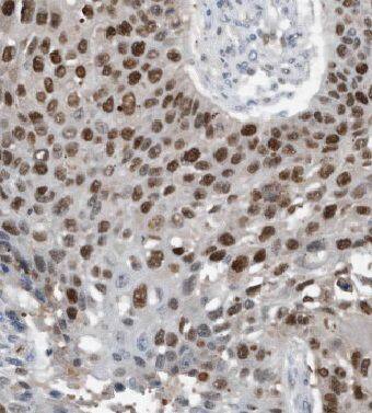
Immunohistochemistry: KHDC4 Antibody - BSA Free [NBP3-46406] - Immunohistochemistry of paraffin-embedded human lung cancer tissue slide using (KHDC4 Antibody) at dilution of 1:50Applications for KHDC4 Antibody - BSA Free
Application
Recommended Usage
Immunocytochemistry/ Immunofluorescence
1:20-1:200
Immunohistochemistry
1:20-1:200
Western Blot
1:500-1:2000
Formulation, Preparation, and Storage
Purification
Immunogen affinity purified
Formulation
PBS, 50% Glycerol, pH (7.3)
Format
BSA Free
Preservative
0.02% Sodium Azide
Concentration
Please see the vial label for concentration. If unlisted please contact technical services.
Shipping
The product is shipped with polar packs. Upon receipt, store it immediately at the temperature recommended below.
Stability & Storage
Store at -20C. Avoid freeze-thaw cycles.
Background: KHDC4
Alternate Names
BLOM7, KIAA0907, nuclear ribonucleoprotein K homology domain protein, RP11-336K24.1
Gene Symbol
KHDC4
Additional KHDC4 Products
Product Documents for KHDC4 Antibody - BSA Free
Product Specific Notices for KHDC4 Antibody - BSA Free
This product is for research use only and is not approved for use in humans or in clinical diagnosis. Primary Antibodies are guaranteed for 1 year from date of receipt.
Loading...
Loading...
Loading...
Loading...