Skip to main content

Kelch-Like 3 Antibody - BSA Free

Novus Biologicals, part of Bio-Techne | Catalog # NBP2-17037

Novus Biologicals, part of Bio-Techne
Catalog #
Availability
Size / Price
Qty
Loading...
NBP2-17037

Key Product Details

Species Reactivity

Human

Applications

Immunohistochemistry, Immunohistochemistry-Paraffin, Western Blot

Label

Unconjugated

Antibody Source

Polyclonal Rabbit IgG

Format

BSA Free

Concentration

Concentrations vary lot to lot. See vial label for concentration. If unlisted please contact technical services.

Product Specifications

Immunogen

Recombinant protein encompassing a sequence within the center region of human Kelch-Like 3. The exact sequence is proprietary.

Reactivity Notes

Immunogen displays the following percentage of sequence identity for non-tested species: Rhesus Macaque.

Localization

Cytoplasm; cytoskeleton

Clonality

Polyclonal

Host

Rabbit

Isotype

IgG

Theoretical MW

34 kDa.
Disclaimer note: The observed molecular weight of the protein may vary from the listed predicted molecular weight due to post translational modifications, post translation cleavages, relative charges, and other experimental factors.

Description

Novus Biologicals Rabbit Kelch-Like 3 Antibody - BSA Free (NBP2-17037) is a polyclonal antibody validated for use in IHC and WB. All Novus Biologicals antibodies are covered by our 100% guarantee.

Scientific Data Images for Kelch-Like 3 Antibody - BSA Free

Western Blot: Kelch-Like 3 Antibody [NBP2-17037]

Western Blot: Kelch-Like 3 Antibody [NBP2-17037]

Western Blot: Kelch-Like 3 Antibody [NBP2-17037] - Sample (30 ug of whole cell lysate) A: A549 10% SDS PAGE gel, diluted at 1:10000.
Kelch-Like 3 Antibody

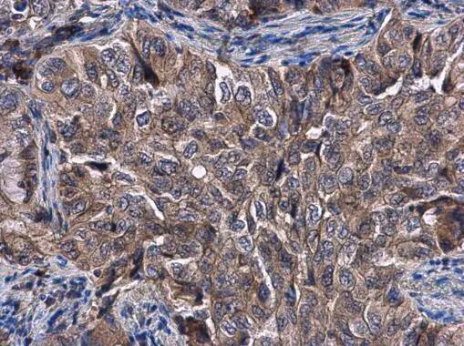
Immunohistochemistry-Paraffin: Kelch-Like 3 Antibody [NBP2-17037] -

Immunohistochemistry-Paraffin: Kelch-Like 3 Antibody [NBP2-17037] - Kelch-Like 3 antibody [N1C1] detects Kelch-Like 3 protein at cytoplasm in human lung cancer by immunohistochemical analysis.
Sample: Paraffin-embedded human lung cancer.
Kelch-Like 3 antibody [N1C1] (NBP2-17037) diluted at 1:400.

Antigen Retrieval: Citrate buffer, pH 6.0, 15 min

Applications for Kelch-Like 3 Antibody - BSA Free

Application
Recommended Usage

Immunohistochemistry

10 - 1:500

Immunohistochemistry-Paraffin

1:100-1:1000

Western Blot

1:5000-1:20000

Formulation, Preparation, and Storage

Purification

Antigen Affinity-purified

Formulation

0.1M Tris, 0.1M Glycine, 20% Glycerol

Format

BSA Free

Preservative

0.01% Thimerosal

Concentration

Concentrations vary lot to lot. See vial label for concentration. If unlisted please contact technical services.

Shipping

The product is shipped with polar packs. Upon receipt, store it immediately at the temperature recommended below.

Stability & Storage

Aliquot and store at -20C or -80C. Avoid freeze-thaw cycles.

Background: Kelch-Like 3

Probable substrate-specific adapter of an E3 ubiquitin-protein ligase complex which mediates the ubiquitination and subsequent proteasomal degradation of target proteins.

Alternate Names

FLJ40871, kelch-like 3 (Drosophila), kelch-like protein 3, KIAA1129kelch (Drosophila)-like 3, MGC44594

Gene Symbol

KLHL3

UniProt

Additional Kelch-Like 3 Products

Product Documents for Kelch-Like 3 Antibody - BSA Free

Certificate of Analysis

To download a Certificate of Analysis, please enter a lot number in the search box below.

Product Specific Notices for Kelch-Like 3 Antibody - BSA Free

This product is for research use only and is not approved for use in humans or in clinical diagnosis. Primary Antibodies are guaranteed for 1 year from date of receipt.

Loading...
Loading...
Loading...
Loading...

⚠ WARNING: This product can expose you to chemicals including mercury, which is known to the State of California to cause reproductive toxicity with developmental effects.  For more information go to www.P65Warnings.ca.gov.