Skip to main content

Keap1 Antibody - BSA Free

Novus Biologicals, part of Bio-Techne | Catalog # NBP1-83106

Novus Biologicals, part of Bio-Techne
Catalog #
Availability
Size / Price
Qty
Loading...
NBP1-83106
NBP1-83106-25ul

Key Product Details

Species Reactivity

Validated:

Human, Mouse

Cited:

Mouse

Predicted:

Rat (97%). Backed by our 100% Guarantee.

Applications

Validated:

Immunohistochemistry, Immunohistochemistry-Paraffin, Immunocytochemistry/ Immunofluorescence

Cited:

Western Blot

Label

Unconjugated

Antibody Source

Polyclonal Rabbit IgG

Format

BSA Free

Concentration

Concentrations vary lot to lot. See vial label for concentration. If unlisted please contact technical services.

Product Specifications

Immunogen

This antibody was developed against Recombinant Protein corresponding to amino acids: MYASTECKAEVTPSQHGNRTFSYTLEDHTKQAFGIMNELRLSQQLCDVTLQVKYQDAPAAQFMAHKVVLASSSPVFKAMFTNGLREQGMEVVSIEGIHPKVM

Reactivity Notes

Mouse reactivity reported in scientific literature (PMID: 30632210).

Clonality

Polyclonal

Host

Rabbit

Isotype

IgG

Scientific Data Images for Keap1 Antibody - BSA Free

Immunocytochemistry/ Immunofluorescence: Keap1 Antibody [NBP1-83106]

Immunocytochemistry/ Immunofluorescence: Keap1 Antibody [NBP1-83106]

Immunocytochemistry/Immunofluorescence: Keap1 Antibody [NBP1-83106] - Staining of human cell line U-251 MG shows localization to nucleoplasm, cytosol & microtubule organizing center. Antibody staining is shown in green.
Immunohistochemistry-Paraffin: Keap1 Antibody [NBP1-83106]

Immunohistochemistry-Paraffin: Keap1 Antibody [NBP1-83106]

Immunohistochemistry-Paraffin: Keap1 Antibody [NBP1-83106] - Staining of human cerebral cortex shows moderate to strong cytoplasmic positivity in neurons.
Immunohistochemistry-Paraffin: Keap1 Antibody [NBP1-83106]

Immunohistochemistry-Paraffin: Keap1 Antibody [NBP1-83106]

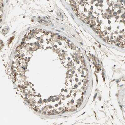
Immunohistochemistry-Paraffin: Keap1 Antibody [NBP1-83106] - Staining of human skeletal muscle shows weak to moderate cytoplasmic positivity in myocytes.

Applications for Keap1 Antibody - BSA Free

Application
Recommended Usage

Immunocytochemistry/ Immunofluorescence

0.25-2 ug/ml

Immunohistochemistry

1:200 - 1:500

Immunohistochemistry-Paraffin

1:200 - 1:500
Application Notes
For IHC-Paraffin, HIER pH 6 retrieval is recommended. ICC/IF Fixation Permeabilization: Use PFA/Triton X-100.

Formulation, Preparation, and Storage

Purification

Affinity purified

Formulation

PBS (pH 7.2) and 40% Glycerol

Format

BSA Free

Preservative

0.02% Sodium Azide

Concentration

Concentrations vary lot to lot. See vial label for concentration. If unlisted please contact technical services.

Shipping

The product is shipped with polar packs. Upon receipt, store it immediately at the temperature recommended below.

Stability & Storage

Store at 4C short term. Aliquot and store at -20C long term. Avoid freeze-thaw cycles.

Background: Keap1

The KEAP1 gene encodes a protein containing KELCH-1 like domains, as well as a BTB/POZ domain. Kelch-like ECH-associatedprotein 1 interacts with NF-E2-related factor 2 in a redox-sensitive manner and the dissociation of the proteins inthe cytoplasm is followed

Long Name

Kelch-like ECH-associated Protein 1

Alternate Names

INrf2

Gene Symbol

KEAP1

Additional Keap1 Products

Product Documents for Keap1 Antibody - BSA Free

Certificate of Analysis

To download a Certificate of Analysis, please enter a lot number in the search box below.

Product Specific Notices for Keap1 Antibody - BSA Free

This product is for research use only and is not approved for use in humans or in clinical diagnosis. Primary Antibodies are guaranteed for 1 year from date of receipt.

Loading...
Loading...
Loading...
Loading...