KDM2A/FBXL11 Antibody - BSA Free
Novus Biologicals, part of Bio-Techne | Catalog # NBP1-78305
Conjugate
Catalog #
Key Product Details
Species Reactivity
Human, Mouse
Applications
Immunocytochemistry/ Immunofluorescence, Immunohistochemistry, Immunohistochemistry-Paraffin, Western Blot
Label
Unconjugated
Antibody Source
Polyclonal Rabbit IgG
Format
BSA Free
Concentration
1.2 mg/ml
Product Specifications
Immunogen
A synthetic peptide made to an N-terminal portion of the human KDM2A/FBXL11 protein (between residues 350-500) [UniProt Q9Y2K7]
Localization
Nucleus, nucleoplasm. Note: Punctate expression throughout the nucleoplasm and enriched in the perinucleolar region. Specifically nucleates at CpG islands where it's presence results in chromatin depleted in H3K36me2.
Clonality
Polyclonal
Host
Rabbit
Isotype
IgG
Description
Novus Biologicals Rabbit KDM2A/FBXL11 Antibody - BSA Free (NBP1-78305) is a polyclonal antibody validated for use in IHC, WB and ICC/IF. All Novus Biologicals antibodies are covered by our 100% guarantee.
Scientific Data Images for KDM2A/FBXL11 Antibody - BSA Free
Western Blot: KDM2A/FBXL11 AntibodyBSA Free [NBP1-78305]
Western Blot: KDM2A/FBXL11 Antibody [NBP1-78305] - 1) 293T. 2) 293T transiently transfected to express human KDM2A. WB image submitted by a verified customer review.Immunocytochemistry/ Immunofluorescence: KDM2A/FBXL11 Antibody - BSA Free [NBP1-78305]
Immunocytochemistry/Immunofluorescence: KDM2A/FBXL11 Antibody - BSA Free [NBP1-78305] - Mouse MS1 cells were fixed in 4% paraformaldehyde for 10 minutes and permeabilized in 0.05% Triton X-100 in PBS for 5 minutes. The cells were incubated with KCM2A/FBXL11 Antibody (NBP1-78305) at 2ug/ml overnight at 4C and detected with an anti-rabbit DyLight 488 (Green) at a 1:1000 dilution for 60 minutes. Nuclei were counterstained with DAPI (Blue). Cells were imaged using a 100X objective and digitally deconvolved.Immunohistochemistry: KDM2A/FBXL11 Antibody - BSA Free [NBP1-78305]
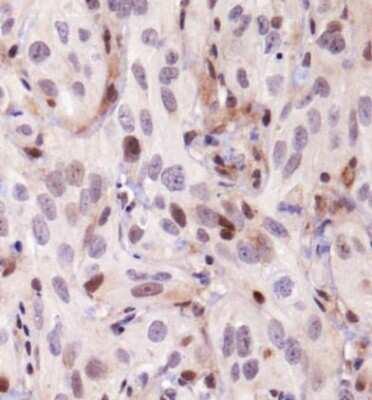
Immunohistochemistry: KDM2A/FBXL11 Antibody [NBP1-78305] - IHC analysis of KDM2A / FBXL11 in human kidney cancer xenograft using DAB with hematoxylin counterstain.Applications for KDM2A/FBXL11 Antibody - BSA Free
Application
Recommended Usage
Immunocytochemistry/ Immunofluorescence
1:100-1:400
Immunohistochemistry
1:300
Immunohistochemistry-Paraffin
1:300
Western Blot
reported by customer review
Application Notes
This KDM2A/FBXL11 antibody is useful for Immunocytochemistry/Immunofluorescence where nuclear staining is observed in HeLa cells and IHC-paraffin embedded sections where nuclear staining is seen in human kidney cancer xenograft. Prior to immunostaining paraffin tissues, antigen retrieval with sodium citrate buffer (pH 6.0) is recommended.
Reviewed Applications
Read 3 reviews rated 4.7 using NBP1-78305 in the following applications:
Formulation, Preparation, and Storage
Purification
Immunogen affinity purified
Formulation
PBS and 30% Glycerol
Format
BSA Free
Preservative
0.05% Sodium Azide
Concentration
1.2 mg/ml
Shipping
The product is shipped with polar packs. Upon receipt, store it immediately at the temperature recommended below.
Stability & Storage
Store at 4C short term. Aliquot and store at -20C long term. Avoid freeze-thaw cycles.
Background: KDM2A/FBXL11
Long Name
Lysine-specific demethylase 2A
Alternate Names
CXXC8, EC 1.14.11.27, F-box protein FBL7, FBL11, FBL7, FBXL11, JHDM1A, KDM2A, KIAA1004
Entrez Gene IDs
22992 (Human)
Gene Symbol
KDM2A
UniProt
Additional KDM2A/FBXL11 Products
Product Documents for KDM2A/FBXL11 Antibody - BSA Free
Product Specific Notices for KDM2A/FBXL11 Antibody - BSA Free
This product is for research use only and is not approved for use in humans or in clinical diagnosis. Primary Antibodies are guaranteed for 1 year from date of receipt.
Loading...
Loading...
Loading...
Loading...