Skip to main content

KDM2A/FBXL11 Antibody

Novus Biologicals, part of Bio-Techne | Catalog # NB100-74602

Novus Biologicals, part of Bio-Techne
Catalog #
Availability
Size / Price
Qty
Loading...
NB100-74602

Key Product Details

Validated by

Biological Validation

Species Reactivity

Validated:

Human

Cited:

Human

Applications

Validated:

Immunohistochemistry, Immunohistochemistry-Paraffin, Western Blot, Immunoprecipitation, Chromatin Immunoprecipitation (ChIP)

Cited:

Western Blot, Block/Neutralize, Chemotaxis, Knockdown Validated

Label

Unconjugated

Antibody Source

Polyclonal Rabbit IgG

Concentration

0.2 mg/ml

Product Specifications

Immunogen

The immunogen recognized by this antibody maps to a region between residue 825 and 875 of human JmjC domain-containing histone demethylation protein 1A using the numbering given in entry NP_036440.1 (GeneID 22992).

Localization

Nuclear

Clonality

Polyclonal

Host

Rabbit

Isotype

IgG

Theoretical MW

133 kDa.
Disclaimer note: The observed molecular weight of the protein may vary from the listed predicted molecular weight due to post translational modifications, post translation cleavages, relative charges, and other experimental factors.

Description

Novus Biologicals Rabbit KDM2A/FBXL11 Antibody (NB100-74602) is a polyclonal antibody validated for use in IHC, WB, IP and ChIP. Anti-KDM2A/FBXL11 Antibody: Cited in 7 publications. All Novus Biologicals antibodies are covered by our 100% guarantee.

Scientific Data Images for KDM2A/FBXL11 Antibody

Western Blot: KDM2A/FBXL11 Antibody [NB100-74602]

Western Blot: KDM2A/FBXL11 Antibody [NB100-74602]

Western Blot: KDM2A/FBXL11 Antibody [NB100-74602] - Detection of Human JHDM1A by Western Blot. Samples: Whole cell lysate from HeLa (50, 15, 5 ug) and 293T (50 ug) cells prepared using NETN lysis buffer. Antibodies: Affinity purified rabbit anti-JHDM1A antibody NB100-74602 used for WB at 0.1 ug/ml. Detection: Chemiluminescence with an exposure time of 3 minutes.
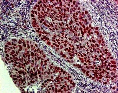
Immunohistochemistry-Paraffin: KDM2A/FBXL11 Antibody [NB100-74602]

Immunohistochemistry-Paraffin: KDM2A/FBXL11 Antibody [NB100-74602]

Immunohistochemistry-Paraffin: KDM2A/FBXL11 Antibody [NB100-74602] - Section of human lung cancer. Antibody: Affinity purified rabbit anti- JHDM1A used at a dilution of 1:1,000 (1ug/ml). Detection: DAB
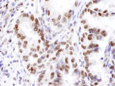
Immunohistochemistry-Paraffin: KDM2A/FBXL11 Antibody [NB100-74602]

Immunohistochemistry-Paraffin: KDM2A/FBXL11 Antibody [NB100-74602]

Immunohistochemistry-Paraffin: KDM2A/FBXL11 Antibody [NB100-74602] - Analysis of human lung tumor tissue using anti-KDM2A antibody. Image submitted by a verified customer review.

Applications for KDM2A/FBXL11 Antibody

Application
Recommended Usage

Immunohistochemistry-Paraffin

1:100-1:500

Immunoprecipitation

2-10 ug/mg lysate

Western Blot

1:2000-1:10000
Application Notes
Epitope retrieval with citrate buffer pH 6.0 is recommended for FFPE tissue sections. Use in chromatin immunoprecipitation reported in scientific literature (PMID: 30132864). KDM2A/FBXL11 antibody validated for IHC-P from a verified customer review.

Reviewed Applications

Read 2 reviews rated 5 using NB100-74602 in the following applications:

Formulation, Preparation, and Storage

Purification

Immunogen affinity purified

Formulation

TBS and 0.1% BSA

Preservative

0.09% Sodium Azide

Concentration

0.2 mg/ml

Shipping

The product is shipped with polar packs. Upon receipt, store it immediately at the temperature recommended below.

Stability & Storage

Store at 4C. Do not freeze.

Background: KDM2A/FBXL11

This gene encodes a member of the F-box protein family which is characterized by an approximately 40 amino acid motif, the F-box. The F-box proteins constitute one of the four subunits of ubiquitin protein ligase complex called SCFs (SKP1-cullin-F-box), which function in phosphorylation-dependent ubiquitination. The F-box proteins are divided into 3 classes: Fbws containing WD-40 domains, Fbls containing leucine-rich repeats, and Fbxs containing either different protein-protein interaction modules or no recognizable motifs. The protein encoded by this gene belongs to the Fbls class and, in addition to an F-box, contains at least 6 highly degenerated leucine-rich repeats.

Long Name

Lysine-specific demethylase 2A

Alternate Names

CXXC8, EC 1.14.11.27, F-box protein FBL7, FBL11, FBL7, FBXL11, JHDM1A, KDM2A, KIAA1004

Entrez Gene IDs

22992 (Human)

Gene Symbol

KDM2A

UniProt

Additional KDM2A/FBXL11 Products

Product Documents for KDM2A/FBXL11 Antibody

Certificate of Analysis

To download a Certificate of Analysis, please enter a lot number in the search box below.

Product Specific Notices for KDM2A/FBXL11 Antibody

This product is for research use only and is not approved for use in humans or in clinical diagnosis. Primary Antibodies are guaranteed for 1 year from date of receipt.

Loading...
Loading...
Loading...
Loading...