Skip to main content

KCTD5 Antibody - BSA Free

Novus Biologicals, part of Bio-Techne | Catalog # NBP3-46419

Novus Biologicals, part of Bio-Techne
Catalog #
Availability
Size / Price
Qty
Loading...
NBP3-46419

Key Product Details

Species Reactivity

Human, Mouse, Rat

Applications

Immunohistochemistry, Western Blot, ELISA, Immunocytochemistry/ Immunofluorescence, Immunoprecipitation, Serum

Label

Unconjugated

Antibody Source

Polyclonal Rabbit IgG

Format

BSA Free

Concentration

Please see the vial label for concentration. If unlisted please contact technical services.

Product Specifications

Immunogen

potassium channel tetramerisation domain containing 5. (Uniprot# Q9NXV2)

Clonality

Polyclonal

Host

Rabbit

Isotype

IgG

Theoretical MW

26 kDa.
Disclaimer note: The observed molecular weight of the protein may vary from the listed predicted molecular weight due to post translational modifications, post translation cleavages, relative charges, and other experimental factors.

Description

Novus Biologicals Rabbit KCTD5 Antibody - BSA Free (NBP3-46419) is a polyclonal antibody validated for use in IHC, WB, ELISA, ICC/IF and IP. All Novus Biologicals antibodies are covered by our 100% guarantee.

Scientific Data Images for KCTD5 Antibody - BSA Free

KCTD5 Antibody - BSA Free

Immunoprecipitation: KCTD5 Antibody - BSA Free [NBP3-46419] -

Immunoprecipitation: KCTD5 Antibody - BSA Free [NBP3-46419] - IP Result of anti-KCTD5 (IP:, 4ug; Detection: 1:500) with HeLa cells lysate 1200ug.
KCTD5 Antibody - BSA Free

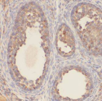
Immunohistochemistry: KCTD5 Antibody - BSA Free [NBP3-46419] -

Immunohistochemistry: KCTD5 Antibody - BSA Free [NBP3-46419] - Immunohistochemistry of paraffin-embedded human ovary tumor using (KCTD5 antibody) at dilution of 1:50
KCTD5 Antibody - BSA Free

Western Blot: KCTD5 Antibody - BSA Free [NBP3-46419] -

Western Blot: KCTD5 Antibody - BSA Free [NBP3-46419] - HeLa cells were subjected to SDS PAGE followed by western blot with (KCTD5 antibody) at dilution of 1:500

Applications for KCTD5 Antibody - BSA Free

Application
Recommended Usage

Immunocytochemistry/ Immunofluorescence

1:20-1:200

Immunohistochemistry

1:20-1:200

Immunoprecipitation

1:200-1:1000

Serum

FC

Western Blot

1:500-1:2000

Formulation, Preparation, and Storage

Purification

Immunogen affinity purified

Formulation

PBS, 50% Glycerol, pH (7.3)

Format

BSA Free

Preservative

0.02% Sodium Azide

Concentration

Please see the vial label for concentration. If unlisted please contact technical services.

Shipping

The product is shipped with polar packs. Upon receipt, store it immediately at the temperature recommended below.

Stability & Storage

Store at -20C. Avoid freeze-thaw cycles.

Background: KCTD5

Its interaction with CUL3 suggests that it may act as a substrate adapter in some E3 ligase complex. Does not affect the function of Kv channel Kv2.1/KCNB1, Kv1.2/KCNA2, Kv4.2/KCND2 and Kv3.4/KCNC4

Alternate Names

BTB/POZ domain-containing protein KCTD5, FLJ20040, potassium channel tetramerisation domain containing 5

Gene Symbol

KCTD5

Additional KCTD5 Products

Product Documents for KCTD5 Antibody - BSA Free

Certificate of Analysis

To download a Certificate of Analysis, please enter a lot number in the search box below.

Product Specific Notices for KCTD5 Antibody - BSA Free

This product is for research use only and is not approved for use in humans or in clinical diagnosis. Primary Antibodies are guaranteed for 1 year from date of receipt.

Loading...
Loading...
Loading...
Loading...