Skip to main content

KCNK9 Antibody - BSA Free

Novus Biologicals, part of Bio-Techne | Catalog # NBP2-84109

Novus Biologicals, part of Bio-Techne
Catalog #
Availability
Size / Price
Qty
Loading...
NBP2-84109-0.1ml

Key Product Details

Species Reactivity

Human

Applications

Immunohistochemistry, Immunohistochemistry-Paraffin, Western Blot

Label

Unconjugated

Antibody Source

Polyclonal Rabbit

Format

BSA Free

Concentration

0.5 mg/ml

Product Specifications

Immunogen

The immunogen is a synthetic peptide directed towards the N terminal region of human KCNK9. Peptide sequence: REEEKLKAEEIRIKGKYNISSEDYRQLELVILQSEPHRAGVQWKFAGSFY The peptide sequence for this immunogen was taken from within the described region.

Clonality

Polyclonal

Host

Rabbit

Description

Novus Biologicals Rabbit KCNK9 Antibody - BSA Free (NBP2-84109) is a polyclonal antibody validated for use in IHC and WB. All Novus Biologicals antibodies are covered by our 100% guarantee.

Scientific Data Images for KCNK9 Antibody - BSA Free

Western Blot: KCNK9 Antibody [NBP2-84109]

Western Blot: KCNK9 Antibody [NBP2-84109]

Western Blot: KCNK9 Antibody [NBP2-84109] - Host: Rabbit. Target Name: KCNK9. Sample Tissue: Human 293T. Antibody Dilution: 1.0ug/ml
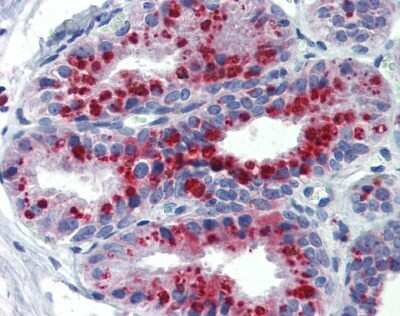
Immunohistochemistry: KCNK9 Antibody [NBP2-84109]

Immunohistochemistry: KCNK9 Antibody [NBP2-84109]

Immunohistochemistry: KCNK9 Antibody [NBP2-84109]
Western Blot: KCNK9 Antibody [NBP2-84109]

Western Blot: KCNK9 Antibody [NBP2-84109]

Western Blot: KCNK9 Antibody [NBP2-84109] - Host: Rabbit. Target Name: KCNK9. Sample Tissue: Human Hela Whole Cell. Antibody Dilution: 1ug/ml

Applications for KCNK9 Antibody - BSA Free

Application
Recommended Usage

Western Blot

1.0 ug/ml

Formulation, Preparation, and Storage

Purification

Affinity purified

Formulation

PBS, 2% Sucrose

Format

BSA Free

Preservative

0.09% Sodium Azide

Concentration

0.5 mg/ml

Shipping

The product is shipped with polar packs. Upon receipt, store it immediately at the temperature recommended below.

Stability & Storage

Store at 4C short term. Aliquot and store at -20C long term. Avoid freeze-thaw cycles.

Background: KCNK9

The KCNK9 gene encodes one of the members of the superfamily of potassium channel proteins containing two pore-forming P domains. This open channel is highly expressed in the cerebellum. It is inhibited by extracellular acidification and arachidonic acid, and

Long Name

Potassium channel subfamily K member 9

Alternate Names

TASK3

Gene Symbol

KCNK9

Additional KCNK9 Products

Product Documents for KCNK9 Antibody - BSA Free

Certificate of Analysis

To download a Certificate of Analysis, please enter a lot number in the search box below.

Product Specific Notices for KCNK9 Antibody - BSA Free

This product is for research use only and is not approved for use in humans or in clinical diagnosis. Primary Antibodies are guaranteed for 1 year from date of receipt.

Loading...
Loading...
Loading...
Loading...