Skip to main content

KCNK5 Antibody - BSA Free

Novus Biologicals, part of Bio-Techne | Catalog # NBP2-32432

Novus Biologicals, part of Bio-Techne
Catalog #
Availability
Size / Price
Qty
Loading...
NBP2-32432
NBP2-32432-25ul

Key Product Details

Species Reactivity

Human

Applications

Immunohistochemistry, Immunohistochemistry-Paraffin, Immunocytochemistry/ Immunofluorescence

Label

Unconjugated

Antibody Source

Polyclonal Rabbit IgG

Format

BSA Free

Concentration

Concentrations vary lot to lot. See vial label for concentration. If unlisted please contact technical services.

Product Specifications

Immunogen

This antibody was developed against a recombinant protein corresponding to amino acids: VPLVVYSKNRVPTLEEVSQTLRSKGHVSRSPDEEAVARAPEDSSPAPEVFMNQLDRISEECEPWDAQDYHPLI

Clonality

Polyclonal

Host

Rabbit

Isotype

IgG

Description

Novus Biologicals Rabbit KCNK5 Antibody - BSA Free (NBP2-32432) is a polyclonal antibody validated for use in IHC and ICC/IF. All Novus Biologicals antibodies are covered by our 100% guarantee.

Scientific Data Images for KCNK5 Antibody - BSA Free

Immunocytochemistry/ Immunofluorescence: KCNK5 Antibody [NBP2-32432]

Immunocytochemistry/ Immunofluorescence: KCNK5 Antibody [NBP2-32432]

Immunocytochemistry/Immunofluorescence: KCNK5 Antibody [NBP2-32432] - Immunofluorescent staining of human cell line MCF7 shows localization to nucleus.
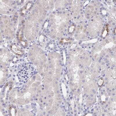
Immunohistochemistry-Paraffin: KCNK5 Antibody [NBP2-32432]

Immunohistochemistry-Paraffin: KCNK5 Antibody [NBP2-32432]

Immunohistochemistry-Paraffin: KCNK5 Antibody [NBP2-32432] - Staining of human kidney shows positivity in a subset of renal tubules.

Applications for KCNK5 Antibody - BSA Free

Application
Recommended Usage

Immunocytochemistry/ Immunofluorescence

0.25-2 ug/ml

Immunohistochemistry

1:20 - 1:50

Immunohistochemistry-Paraffin

1:20 - 1:50
Application Notes
For IHC-Paraffin, HIER pH 6 retrieval is recommended. ICC/IF Fixation Permeabilization: Use PFA/Triton X-100.

Formulation, Preparation, and Storage

Purification

Affinity purified

Formulation

PBS (pH 7.2) and 40% Glycerol

Format

BSA Free

Preservative

0.02% Sodium Azide

Concentration

Concentrations vary lot to lot. See vial label for concentration. If unlisted please contact technical services.

Shipping

The product is shipped with polar packs. Upon receipt, store it immediately at the temperature recommended below.

Stability & Storage

Store at 4C short term. Aliquot and store at -20C long term. Avoid freeze-thaw cycles.

Background: KCNK5

KCNK5 encodes one of the members of the superfamily of potassium channel proteins containing two pore-forming P domains. The message for this gene is mainly expressed in the cortical distal tubules and collecting ducts of the kidney. The protein is highly sensitive to external pH and this, in combination with its expression pattern, suggests it may play an important role in renal potassium transport.

Alternate Names

Acid-sensitive potassium channel protein TASK-2, FLJ11035, K2p5.1, potassium channel subfamily K member 5, potassium channel, subfamily K, member 1 (TASK-2), potassium channel, subfamily K, member 5, TASK-2, TASK2K2P5.1 potassium channel, TWIK-related acid-sensitive K(+) channel 2, TWIK-related acid-sensitive K+ channel 2

Gene Symbol

KCNK5

Additional KCNK5 Products

Product Documents for KCNK5 Antibody - BSA Free

Certificate of Analysis

To download a Certificate of Analysis, please enter a lot number in the search box below.

Product Specific Notices for KCNK5 Antibody - BSA Free

This product is for research use only and is not approved for use in humans or in clinical diagnosis. Primary Antibodies are guaranteed for 1 year from date of receipt.

Loading...
Loading...
Loading...
Loading...