KCC4/SLC12A7 Antibody - BSA Free
Novus Biologicals, part of Bio-Techne | Catalog # NBP1-85133
Key Product Details
Species Reactivity
Validated:
Human, Mouse
Cited:
Human, Mouse
Applications
Validated:
Immunohistochemistry, Immunohistochemistry-Paraffin, Western Blot
Cited:
Western Blot
Label
Unconjugated
Antibody Source
Polyclonal Rabbit IgG
Format
BSA Free
Concentration
Concentrations vary lot to lot. See vial label for concentration. If unlisted please contact technical services.
Product Specifications
Immunogen
This antibody was developed against Recombinant Protein corresponding to amino acids: AARTQAPPTPDKVQMTWTREKLIAEKYRSRDTSLSGFKDLFSMKPDQSNV
Reactivity Notes
Mouse reactivity reported in (PMID:31911626). Rat (82%).
Clonality
Polyclonal
Host
Rabbit
Isotype
IgG
Description
Novus Biologicals Rabbit KCC4/SLC12A7 Antibody - BSA Free (NBP1-85133) is a polyclonal antibody validated for use in IHC and WB. Anti-KCC4/SLC12A7 Antibody: Cited in 2 publications. All Novus Biologicals antibodies are covered by our 100% guarantee.
Scientific Data Images for KCC4/SLC12A7 Antibody - BSA Free
Immunohistochemistry-Paraffin: KCC4/SLC12A7 Antibody [NBP1-85133]
Immunohistochemistry-Paraffin: KCC4/SLC12A7 Antibody [NBP1-85133] - Staining of human cerebral cortex shows strong cytoplasmic positivity in neurons.Immunohistochemistry-Paraffin: KCC4/SLC12A7 Antibody [NBP1-85133]
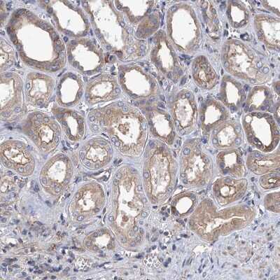
Immunohistochemistry-Paraffin: KCC4/SLC12A7 Antibody [NBP1-85133] - Staining of human kidney shows moderate cytoplasmic positivity in cells in tubules.Immunohistochemistry-Paraffin: KCC4/SLC12A7 Antibody [NBP1-85133]
Immunohistochemistry-Paraffin: KCC4/SLC12A7 Antibody [NBP1-85133] - Staining of human testis shows moderate cytoplasmic positivity in cells in seminiferous ducts and Leydig cells.Applications for KCC4/SLC12A7 Antibody - BSA Free
Application
Recommended Usage
Immunohistochemistry
1:500 - 1:1000
Immunohistochemistry-Paraffin
1:500 - 1:1000
Western Blot
Reported in PMID (31911626)
Application Notes
For IHC-Paraffin, HIER pH 6 retrieval is recommended.
Formulation, Preparation, and Storage
Purification
Affinity purified
Formulation
PBS (pH 7.2) and 40% Glycerol
Format
BSA Free
Preservative
0.02% Sodium Azide
Concentration
Concentrations vary lot to lot. See vial label for concentration. If unlisted please contact technical services.
Shipping
The product is shipped with polar packs. Upon receipt, store it immediately at the temperature recommended below.
Stability & Storage
Store at 4C short term. Aliquot and store at -20C long term. Avoid freeze-thaw cycles.
Background: KCC4/SLC12A7
Long Name
Potassium/Chloride Transporter KCC4
Alternate Names
SLC12A7
Gene Symbol
SLC12A7
Additional KCC4/SLC12A7 Products
Product Documents for KCC4/SLC12A7 Antibody - BSA Free
Product Specific Notices for KCC4/SLC12A7 Antibody - BSA Free
This product is for research use only and is not approved for use in humans or in clinical diagnosis. Primary Antibodies are guaranteed for 1 year from date of receipt.
Loading...
Loading...
Loading...
Loading...