Skip to main content

Kallikrein 15 Antibody - BSA Free

Novus Biologicals, part of Bio-Techne | Catalog # NBP1-90265

Novus Biologicals, part of Bio-Techne
Catalog #
Availability
Size / Price
Qty
Loading...
NBP1-90265

Key Product Details

Species Reactivity

Human

Applications

Immunohistochemistry, Immunohistochemistry-Paraffin, Western Blot

Label

Unconjugated

Antibody Source

Polyclonal Rabbit IgG

Format

BSA Free

Concentration

Concentrations vary lot to lot. See vial label for concentration. If unlisted please contact technical services.

Product Specifications

Immunogen

This antibody was developed against Recombinant Protein corresponding to amino acids: QDGDKLLEGDECAPHSQPWQVALYERGRFNCGASLISPHWVLSAAHCQSRFMRVRLGEHNLRKRDGPEQLRTTS

Reactivity Notes

Immunogen displays the following percentage of sequence identity for non-tested species: Mouse (85%), Rat (86%)

Clonality

Polyclonal

Host

Rabbit

Isotype

IgG

Description

Novus Biologicals Rabbit Kallikrein 15 Antibody - BSA Free (NBP1-90265) is a polyclonal antibody validated for use in IHC and WB. All Novus Biologicals antibodies are covered by our 100% guarantee.

Scientific Data Images for Kallikrein 15 Antibody - BSA Free

Immunohistochemistry-Paraffin: Kallikrein 15 Antibody [NBP1-90265]

Immunohistochemistry-Paraffin: Kallikrein 15 Antibody [NBP1-90265]

Immunohistochemistry-Paraffin: Kallikrein 15 Antibody [NBP1-90265] - Staining of human kidney shows no positivity in cells in tubules or glomeruli.
Immunohistochemistry-Paraffin: Kallikrein 15 Antibody [NBP1-90265]

Immunohistochemistry-Paraffin: Kallikrein 15 Antibody [NBP1-90265]

Immunohistochemistry-Paraffin: Kallikrein 15 Antibody [NBP1-90265] - Staining of human stomach shows moderate cytoplasmic positivity in glandular cells.
Immunohistochemistry-Paraffin: Kallikrein 15 Antibody [NBP1-90265]

Immunohistochemistry-Paraffin: Kallikrein 15 Antibody [NBP1-90265]

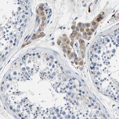
Immunohistochemistry-Paraffin: Kallikrein 15 Antibody [NBP1-90265] - Staining of human testis shows weak cytoplasmic positivity in Leydig cells.

Applications for Kallikrein 15 Antibody - BSA Free

Application
Recommended Usage

Immunohistochemistry

1:20 - 1:50

Immunohistochemistry-Paraffin

1:20 - 1:50

Western Blot

0.04-0.4 ug/ml
Application Notes
For IHC-Paraffin, HIER pH 6 retrieval is recommended.

Formulation, Preparation, and Storage

Purification

Immunogen affinity purified

Formulation

PBS (pH 7.2) and 40% Glycerol

Format

BSA Free

Preservative

0.02% Sodium Azide

Concentration

Concentrations vary lot to lot. See vial label for concentration. If unlisted please contact technical services.

Shipping

The product is shipped with polar packs. Upon receipt, store it immediately at the temperature recommended below.

Stability & Storage

Store at 4C short term. Aliquot and store at -20C long term. Avoid freeze-thaw cycles.

Background: Kallikrein 15

Kallikrein 15 are a subgroup of serine proteases and are implicated in carcinogenesis. KLK15 is up-regulated in more aggressive forms of prostate cancer.

Alternate Names

ACO, KLK15, Prostinogen

Gene Symbol

KLK15

Additional Kallikrein 15 Products

Product Documents for Kallikrein 15 Antibody - BSA Free

Certificate of Analysis

To download a Certificate of Analysis, please enter a lot number in the search box below.

Product Specific Notices for Kallikrein 15 Antibody - BSA Free

This product is for research use only and is not approved for use in humans or in clinical diagnosis. Primary Antibodies are guaranteed for 1 year from date of receipt.

Loading...
Loading...
Loading...
Loading...