Skip to main content

Kallikrein 15 Antibody (02) - Azide and BSA Free

Novus Biologicals, part of Bio-Techne | Catalog # NBP3-26079

Novus Biologicals, part of Bio-Techne
Catalog #
Availability
Size / Price
Qty
Loading...
NBP3-26079
Conjugate
Catalog #

Key Product Details

Species Reactivity

Human

Applications

Immunohistochemistry, Immunohistochemistry-Paraffin, ELISA

Label

Unconjugated

Antibody Source

Monoclonal Mouse IgG1 Clone # 02

Format

Azide and BSA Free

Concentration

Please see the vial label for concentration. If unlisted please contact technical services.

Product Specifications

Immunogen

This antibody was produced from a hybridoma resulting from the fusion of a mouse myeloma with B cells obtained from a mouse immunized with purified, recombinant Human Kallikrein 15 (Accession#: NP_059979.2; Met1-Asn256).

Clonality

Monoclonal

Host

Mouse

Isotype

IgG1

Scientific Data Images for Kallikrein 15 Antibody (02) - Azide and BSA Free

Kallikrein 15 Antibody (02) - Azide and BSA Free

Immunohistochemistry-Paraffin: Kallikrein 15 Antibody (02) - Azide and BSA Free [NBP3-26079] -

Immunohistochemistry-Paraffin: Kallikrein 15 Antibody (02) - Azide and BSA Free [NBP3-26079] - Immunochemical staining of human Kallikrein 15 in human testis with NBP3-26079 at 1:200 dilution, formalin-fixed paraffin embedded sections.
Kallikrein 15 Antibody (02) - Azide and BSA Free

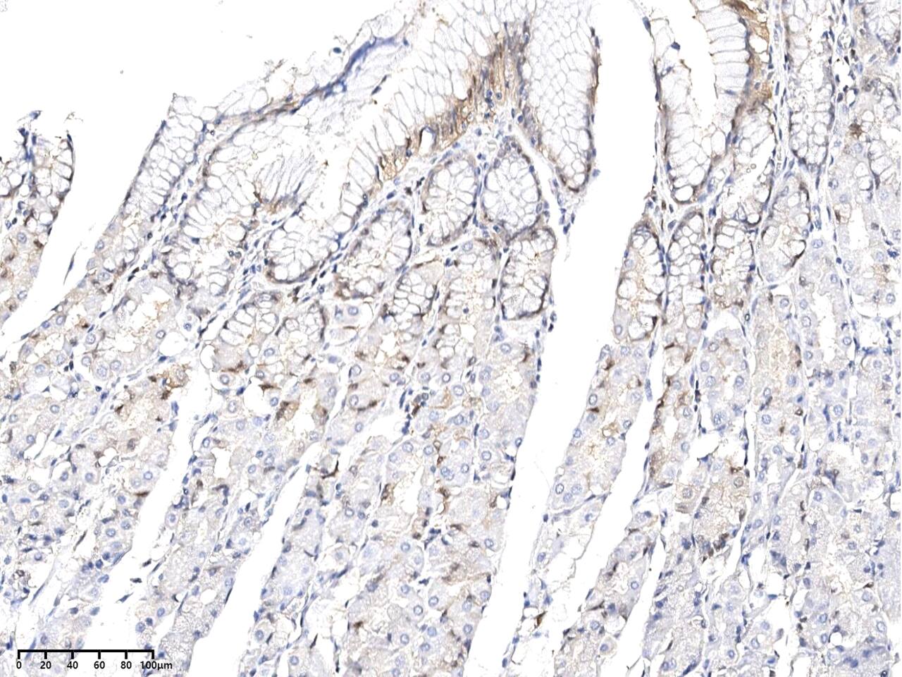
Immunohistochemistry-Paraffin: Kallikrein 15 Antibody (02) - Azide and BSA Free [NBP3-26079] -

Immunohistochemistry-Paraffin: Kallikrein 15 Antibody (02) - Azide and BSA Free [NBP3-26079] - Immunochemical staining of human Kallikrein 15 in human stomach with NBP3-26079 at 1:200 dilution, formalin-fixed paraffin embedded sections.
Kallikrein 15 Antibody (02) - Azide and BSA Free

Immunohistochemistry-Paraffin: Kallikrein 15 Antibody (02) - Azide and BSA Free [NBP3-26079] -

Immunohistochemistry-Paraffin: Kallikrein 15 Antibody (02) - Azide and BSA Free [NBP3-26079] - Immunochemical staining of human Kallikrein 15 in human prostate with NBP3-26079 at 1:200 dilution, formalin-fixed paraffin embedded sections.

Applications for Kallikrein 15 Antibody (02) - Azide and BSA Free

Application
Recommended Usage

ELISA

1:1000-1:2000

Immunohistochemistry-Paraffin

1:100-1:500

Formulation, Preparation, and Storage

Purification

Protein A purified

Formulation

0.2 um filtered solution in PBS

Format

Azide and BSA Free

Preservative

No Preservative

Concentration

Please see the vial label for concentration. If unlisted please contact technical services.

Shipping

The product is shipped with polar packs. Upon receipt, store it immediately at the temperature recommended below.

Stability & Storage

Store at 4C short term. Aliquot and store at -20C long term. Avoid freeze-thaw cycles.

Background: Kallikrein 15

Kallikrein 15 are a subgroup of serine proteases and are implicated in carcinogenesis. KLK15 is up-regulated in more aggressive forms of prostate cancer.

Alternate Names

ACO, KLK15, Prostinogen

Gene Symbol

KLK15

Additional Kallikrein 15 Products

Product Documents for Kallikrein 15 Antibody (02) - Azide and BSA Free

Certificate of Analysis

To download a Certificate of Analysis, please enter a lot number in the search box below.

Product Specific Notices for Kallikrein 15 Antibody (02) - Azide and BSA Free

This product is for research use only and is not approved for use in humans or in clinical diagnosis. Primary Antibodies are guaranteed for 1 year from date of receipt.

Loading...
Loading...
Loading...
Loading...