Skip to main content

KA2/GRIK5/Glutamate Receptor KA2 Antibody - BSA Free

Novus Biologicals, part of Bio-Techne | Catalog # NBP1-76853

Novus Biologicals, part of Bio-Techne

Key Product Details

Species Reactivity

Human, Mouse, Rat

Applications

Immunohistochemistry, Immunohistochemistry-Paraffin, Western Blot, ELISA, Immunocytochemistry/ Immunofluorescence

Label

Unconjugated

Antibody Source

Polyclonal Rabbit IgG

Format

BSA Free

Concentration

1 mg/ml

Product Specifications

Immunogen

Antibody was raised against a 17 amino acid synthetic peptide near the carboxy terminus of the human Grik5. The immunogen is located within the last 50 amino acids of Grik5. Amino Acid Squence: EATSPPRPRPGPAGPRE

Specificity

This Grik5 antibody does not cross-react with Grik4.

Clonality

Polyclonal

Host

Rabbit

Isotype

IgG

Description

Novus Biologicals Rabbit KA2/GRIK5/Glutamate Receptor KA2 Antibody - BSA Free (NBP1-76853) is a polyclonal antibody validated for use in IHC, WB, ELISA and ICC/IF. Anti-KA2/GRIK5/Glutamate Receptor KA2 Antibody: Cited in 1 publication. All Novus Biologicals antibodies are covered by our 100% guarantee.

Scientific Data Images for KA2/GRIK5/Glutamate Receptor KA2 Antibody - BSA Free

Western Blot: KA2/GRIK5/Glutamate Receptor KA2 AntibodyBSA Free [NBP1-76853]

Western Blot: KA2/GRIK5/Glutamate Receptor KA2 AntibodyBSA Free [NBP1-76853]

Western Blot: KA2/GRIK5/Glutamate Receptor KA2 Antibody [NBP1-76853] - Human brain tissue lysate with Grik5 antibody at (A) 0.5, (B) 1 and (C) 2 ug/mL.
KA2/GRIK5/Glutamate Receptor KA2 Antibody - BSA Free

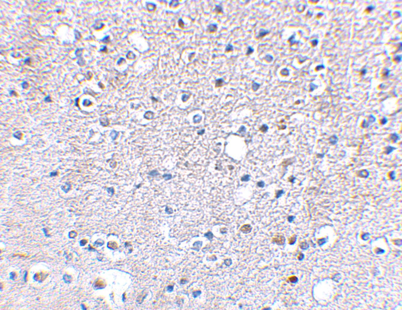
Immunohistochemistry: KA2/GRIK5/Glutamate Receptor KA2 Antibody - BSA Free [NBP1-76853] -

Immunohistochemistry: KA2/GRIK5/Glutamate Receptor KA2 Antibody - BSA Free [NBP1-76853] - Immunohistochemical staining of human brain tissue using KA2/GRIK5/Glutamate Receptor KA2 antibody at 2.5 ug/mL.
KA2/GRIK5/Glutamate Receptor KA2 Antibody - BSA Free

Immunocytochemistry/ Immunofluorescence: KA2/GRIK5/Glutamate Receptor KA2 Antibody - BSA Free [NBP1-76853] -

Immunocytochemistry/ Immunofluorescence: KA2/GRIK5/Glutamate Receptor KA2 Antibody - BSA Free [NBP1-76853] - Immunofluorescence of KA2/GRIK5/Glutamate Receptor KA2 in Human Brain cells with KA2/GRIK5/Glutamate Receptor KA2 antibody at 20 ug/mL.

Applications for KA2/GRIK5/Glutamate Receptor KA2 Antibody - BSA Free

Application
Recommended Usage

ELISA

1:100-1:2000

Immunocytochemistry/ Immunofluorescence

20 ug/mL

Immunohistochemistry

2.5 ug/mL

Immunohistochemistry-Paraffin

2-5 ug/ml

Western Blot

0.5 - 2 ug/mL

Formulation, Preparation, and Storage

Purification

Peptide affinity purified

Formulation

PBS

Format

BSA Free

Preservative

0.02% Sodium Azide

Concentration

1 mg/ml

Shipping

The product is shipped with polar packs. Upon receipt, store it immediately at the temperature recommended below.

Stability & Storage

Store at 4C short term. Aliquot and store at -20C long term. Avoid freeze-thaw cycles.

Background: KA2/GRIK5

Glutamate receptors are the predominant excitatory neurotransmitter receptors in the mammalian brain and are activated in a variety of normal neurophysiologic processes. Grik5, also known as kainate-preferring glutamate recptor subunit KA2, belongs to the kainate family of glutamate receptors, which are composed of four subunits and function as ligand-activated ion channels. Grik5 is highly homologous to the related ionotrophic glutamate receptor Grik4 (also known as KA1). Like Grik4, Grik5 does not form homomeric channels, but instead forms heteromers with Grik2. In Grik2- but not Grik1-null mice, Grik5 surface expression is greatly reduced in neurons, indicating that Grik2/Grik5 heteromers are required for exit from the endoplasmic reticulum to the cell surface. This Grik5 antibody does not cross-react with Grik4.

Long Name

Glutamate Receptor KA2

Alternate Names

EAA2, GluK5, GRIK2, GRIK5

Gene Symbol

GRIK5

UniProt

Additional KA2/GRIK5 Products

Product Documents for KA2/GRIK5/Glutamate Receptor KA2 Antibody - BSA Free

Certificate of Analysis

To download a Certificate of Analysis, please enter a lot number in the search box below.

Product Specific Notices for KA2/GRIK5/Glutamate Receptor KA2 Antibody - BSA Free

This product is for research use only and is not approved for use in humans or in clinical diagnosis. Primary Antibodies are guaranteed for 1 year from date of receipt.

Loading...
Loading...
Loading...
Loading...