Skip to main content

JSRP1 Antibody - BSA Free

Novus Biologicals, part of Bio-Techne | Catalog # NBP3-46443

Novus Biologicals, part of Bio-Techne
Catalog #
Availability
Size / Price
Qty
Loading...
NBP3-46443

Key Product Details

Species Reactivity

Human

Applications

Immunohistochemistry, Western Blot, ELISA

Label

Unconjugated

Antibody Source

Polyclonal Rabbit IgG

Format

BSA Free

Concentration

Please see the vial label for concentration. If unlisted please contact technical services.

Product Specifications

Immunogen

junctional sarcoplasmic reticulum protein 1. (Uniprot# Q96MG2)

Clonality

Polyclonal

Host

Rabbit

Isotype

IgG

Theoretical MW

30 kDa.
Disclaimer note: The observed molecular weight of the protein may vary from the listed predicted molecular weight due to post translational modifications, post translation cleavages, relative charges, and other experimental factors.

Description

Novus Biologicals Rabbit JSRP1 Antibody - BSA Free (NBP3-46443) is a polyclonal antibody validated for use in IHC, WB and ELISA. All Novus Biologicals antibodies are covered by our 100% guarantee.

Scientific Data Images for JSRP1 Antibody - BSA Free

JSRP1 Antibody - BSA Free

Western Blot: JSRP1 Antibody - BSA Free [NBP3-46443] -

Western Blot: JSRP1 Antibody - BSA Free [NBP3-46443] - Human skeletal muscle tissue were subjected to SDS PAGE followed by western blot with (JP45; JSRP1 Antibody) at dilution of 1:600
JSRP1 Antibody - BSA Free

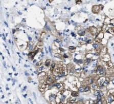
Immunohistochemistry: JSRP1 Antibody - BSA Free [NBP3-46443] -

Immunohistochemistry: JSRP1 Antibody - BSA Free [NBP3-46443] - Immunohistochemistry of paraffin-embedded human pancreas cancer using (JSRP1 antibody) at dilution of 1:50

Applications for JSRP1 Antibody - BSA Free

Application
Recommended Usage

Immunohistochemistry

1:50-1:500

Western Blot

1:500-1:1000

Formulation, Preparation, and Storage

Purification

Immunogen affinity purified

Formulation

PBS, 50% Glycerol, pH (7.3)

Format

BSA Free

Preservative

0.02% Sodium Azide

Concentration

Please see the vial label for concentration. If unlisted please contact technical services.

Shipping

The product is shipped with polar packs. Upon receipt, store it immediately at the temperature recommended below.

Stability & Storage

Store at -20C. Avoid freeze-thaw cycles.

Background: JSRP1

The junction between the transverse tubules (T-tubules) and the sarcoplasmic reticulum (SR) of skeletal muscle is called the triad. At the triad, dihydropyridine receptors (DHPR®s) of the T-tubule serve as voltage sensors in excitation-contraction coupling, while ryanodine receptors (RyR®s), the calcium release channels, exist in the membrane of the terminal cisternae of the SR. It is thought that during slow phase depolarization of the T-tubule, a third protein, triadin (95 kDa) transmits electrochemical signals to the SR through direct interaction with both DHPR®s and RyR®s. Another skeletal muscle specific 90 kDa protein has also been localized to the this junction. This protein is phosphorylated by an intrinsic protein kinase in triads suggesting that it may play an important regulatory or structural role in the skeletal muscle triad junction.

Alternate Names

FLJ32416, JP45, JP-45homolog of mouse skeletal muscle sarcoplasmic reticulum protein JP-45, junctional sarcoplasmic reticulum protein 1,2310032K21Rik, Junctional-face membrane protein of 45 kDa homolog, skeletal muscle sarcoplasmic reticulum protein JP-45

Gene Symbol

JSRP1

Additional JSRP1 Products

Product Documents for JSRP1 Antibody - BSA Free

Certificate of Analysis

To download a Certificate of Analysis, please enter a lot number in the search box below.

Product Specific Notices for JSRP1 Antibody - BSA Free

This product is for research use only and is not approved for use in humans or in clinical diagnosis. Primary Antibodies are guaranteed for 1 year from date of receipt.

Loading...
Loading...
Loading...
Loading...