Skip to main content

JNK2 Antibody - Azide and BSA Free

Novus Biologicals, part of Bio-Techne | Catalog # NBP2-98812

Novus Biologicals, part of Bio-Techne
Catalog #
Availability
Size / Price
Qty
Loading...
NBP2-98812-100ul
NBP2-98812-50ul
Conjugate
Catalog #

Key Product Details

Species Reactivity

Human

Applications

Immunohistochemistry, Immunohistochemistry-Paraffin, Immunocytochemistry/ Immunofluorescence

Label

Unconjugated

Antibody Source

Polyclonal Rabbit IgG

Format

Azide and BSA Free

Concentration

Please see the vial label for concentration. If unlisted please contact technical services.

Product Specifications

Immunogen

Produced in rabbits immunized with a synthetic peptide corresponding to the C-terminus of the Human JNK2.

Clonality

Polyclonal

Host

Rabbit

Isotype

IgG

Description

This antibody can be stored at 2C to 8C for one month without detectable loss of activity. Antibody products are stable for twelve months from date of receipt when stored at -20C to -80C. Avoid repeated freeze-thaw cycles.

Scientific Data Images for JNK2 Antibody - Azide and BSA Free

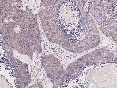
Immunohistochemistry-Paraffin: JNK2 Antibody [NBP2-98812]

Immunohistochemistry-Paraffin: JNK2 Antibody [NBP2-98812]

Immunohistochemistry-Paraffin: JNK2 Antibody [NBP2-98812] - Immunochemical staining of human JNK2 in human pancreas with rabbit polyclonal antibody (1:1000, formalin-fixed paraffin embedded sections).
Immunohistochemistry-Paraffin: JNK2 Antibody [NBP2-98812]

Immunohistochemistry-Paraffin: JNK2 Antibody [NBP2-98812]

Immunohistochemistry-Paraffin: JNK2 Antibody [NBP2-98812] - Immunochemical staining of human JNK2 in human lung cancer with rabbit polyclonal antibody (1:1000, formalin-fixed paraffin embedded sections).
JNK2 Antibody - Azide and BSA Free

Immunocytochemistry/Immunofluorescence: JNK2 Antibody [NBP2-98812] -

Immunocytochemistry/Immunofluorescence: JNK2 Antibody [NBP2-98812] - Immunofluorescence staining of JNK2 in Hela cells. Cells were fixed with 4% PFA, permeabilzed with 0.3% Triton X-100 in PBS, blocked with 10% serum, and incubated with NBP2-98812 antibody (1:1000) at 4C overnight. Then cells were stained with the Alexa Fluor(R)488-conjugated Goat Anti-rabbit IgG Secondary antibody (green).Positive staining was localized to cytoplasm and nucleus.

Applications for JNK2 Antibody - Azide and BSA Free

Application
Recommended Usage

Immunocytochemistry/ Immunofluorescence

1:300-1:10000

Immunohistochemistry-Paraffin

1:500-1:2000

Formulation, Preparation, and Storage

Purification

Antigen and protein A Affinity-purified

Formulation

0.2 um filtered solution in PBS

Format

Azide and BSA Free

Preservative

No Preservative

Concentration

Please see the vial label for concentration. If unlisted please contact technical services.

Shipping

The product is shipped with polar packs. Upon receipt, store it immediately at the temperature recommended below.

Stability & Storage

Store at 4C short term. Aliquot and store at -20C long term. Avoid freeze-thaw cycles.

Background: JNK2

JNK protein kinases are distantly related to mitogen-activated protein kinases (ERKs) and are activated by dual phosphorylation on Tyr and Thr. The JNK protein kinase group includes the 46-kDa isoform JNK1 and the 55-kDa protein kinase JNK2. The activities of both JNK isoforms are markedly increased by exposure of cells to UV radiation (1). JNK becomes activated in vivo in response to pro-inflammatory cytokines or cellular stresses. Its full activation requires the phosphorylation of a threonine and a tyrosine residue in a Thr-Pro-Tyr motif, which can be catalysed by the protein kinases mitogen-activated protein kinase kinase MKK4 and MKK7 (2). JNK2 functions in a cell-type-specific and stimulus-dependent manner, being required for apoptosis of immature thymocytes induced by anti-CD3 antibody but not for apoptosis induced by anti-Fas antibody, UVC or dexamethasone. JNK2 is not required for activation-induced cell death of mature T cells (3).

Long Name

C-Jun N-terminal Kinase 2

Alternate Names

MAPK9, SAPK1 alpha

Gene Symbol

MAPK9

Additional JNK2 Products

Product Documents for JNK2 Antibody - Azide and BSA Free

Certificate of Analysis

To download a Certificate of Analysis, please enter a lot number in the search box below.

Product Specific Notices for JNK2 Antibody - Azide and BSA Free

This product is for research use only and is not approved for use in humans or in clinical diagnosis. Primary Antibodies are guaranteed for 1 year from date of receipt.

Loading...
Loading...
Loading...
Loading...