Skip to main content

JNK1 [p Thr183] Antibody - BSA Free

Novus Biologicals, part of Bio-Techne | Catalog # NB100-82009

Novus Biologicals, part of Bio-Techne
Catalog #
Availability
Size / Price
Qty
Loading...
NB100-82009
NB100-82009-0.025ml

Key Product Details

Validated by

Biological Validation

Species Reactivity

Human, Mouse, Rat

Applications

Immunohistochemistry, Immunohistochemistry-Paraffin, Western Blot

Label

Unconjugated

Antibody Source

Polyclonal Rabbit IgG

Format

BSA Free

Concentration

1.0 mg/ml

Product Specifications

Immunogen

The antiserum was produced against synthesized phosphopeptide derived from human JNK1 around the phosphorylation site of threonine 183 (M-M-TP-P-Y).

Modification

p Thr183

Specificity

Detects endogenous levels of JNK1 only when phosphorylated at threonine 183.

Clonality

Polyclonal

Host

Rabbit

Isotype

IgG

Theoretical MW

50 kDa.
Disclaimer note: The observed molecular weight of the protein may vary from the listed predicted molecular weight due to post translational modifications, post translation cleavages, relative charges, and other experimental factors.

Description

Novus Biologicals Rabbit JNK1 [p Thr183] Antibody - BSA Free (NB100-82009) is a polyclonal antibody validated for use in IHC and WB. Anti-JNK1 Antibody: Cited in 2 publications. All Novus Biologicals antibodies are covered by our 100% guarantee.

Scientific Data Images for JNK1 [p Thr183] Antibody - BSA Free

Western Blot: JNK1 [p Thr183] Antibody [NB100-82009] -

Western Blot: JNK1 [p Thr183] Antibody [NB100-82009] - Analysis of extracts from 293 cells using NB100-82009 (Lane 2) and the same antibody preincubated with blocking peptide (Lane1).
Western Blot: JNK1 [p Thr183] Antibody [NB100-82009]

Western Blot: JNK1 [p Thr183] Antibody [NB100-82009]

Western Blot: JNK1 [p Thr183] Antibody [NB100-82009] - Analysis of extracts from 293 cells, treated with UV or calf intestinal phosphatase (CIP), using SAPK/JNK (Phospho-Thr183) Antibody
JNK1 [p Thr183] Antibody - BSA Free

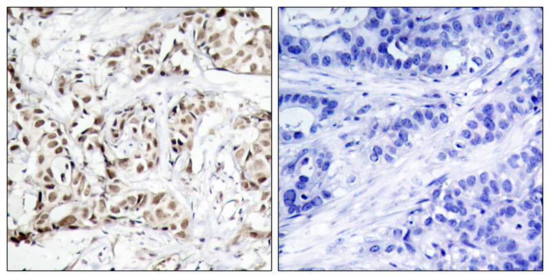
Immunohistochemistry: JNK1 [p Thr183] Antibody [NB100-82009] -

Immunohistochemistry: JNK1 [p Thr183] Antibody [NB100-82009] - Immunohistochemical analysis of paraffin-embedded human breast carcinoma tissue using NB100-82009

Applications for JNK1 [p Thr183] Antibody - BSA Free

Application
Recommended Usage

Immunohistochemistry

1:50-1:100

Immunohistochemistry-Paraffin

1:50-1:100

Western Blot

1:500-1:1000
Application Notes
This antibody is useful for Immunohistochemistry-Paraffin 1:50-1:100. Optimal dilutions should be determined by end user.

Formulation, Preparation, and Storage

Purification

Immunogen affinity purified

Formulation

PBS (without Mg2+ and Ca2+), pH 7.4, 150 mM NaCl, 50% glycerol

Format

BSA Free

Preservative

0.02% Sodium Azide

Concentration

1.0 mg/ml

Shipping

The product is shipped with polar packs. Upon receipt, store it immediately at the temperature recommended below.

Stability & Storage

Store at 4C short term. Aliquot and store at -20C long term. Avoid freeze-thaw cycles.

Background: JNK1

JNK1(MAPK8) is a member of the MAP kinase family. MAP kinases act as an integration point for multiple biochemical signals, and are involved in a wide variety of cellular processes such as proliferation, differentiation, transcription regulation and development. This kinase is activated by various cell stimuli, and targets specific transcription factors, and thus mediates immediate-early gene expression in response to cell stimuli. The activation of this kinase by tumor-necrosis factor alpha (TNF-alpha) is found to be required for TNF-alpha induced apoptosis. This kinase is also involved in UV radiation induced apoptosis, which is thought to be related to cytochrome c-mediated cell death pathway. Studies of the mouse counterpart of this gene suggested that this kinase play a key role in T cell proliferation, apoptosis and differentiation. Four alternatively spliced transcript variants encoding distinct isoforms have been reported. JNK1 is activated by threonine and tyrosine phosphorylation by either of two dual specificity kinases, MAP2K4 and MAP2K7.

Long Name

C-Jun N-terminal Kinase 1

Alternate Names

MAPK8, PRKM8, SAPK1

Entrez Gene IDs

5599 (Human); 26419 (Mouse); 116554 (Rat)

Gene Symbol

MAPK8

Additional JNK1 Products

Product Documents for JNK1 [p Thr183] Antibody - BSA Free

Certificate of Analysis

To download a Certificate of Analysis, please enter a lot number in the search box below.

Product Specific Notices for JNK1 [p Thr183] Antibody - BSA Free

This product is for research use only and is not approved for use in humans or in clinical diagnosis. Primary Antibodies are guaranteed for 1 year from date of receipt.

Loading...
Loading...
Loading...
Loading...