Skip to main content

JMJD1C Antibody - BSA Free

Novus Biologicals, part of Bio-Techne | Catalog # NBP1-77072

Novus Biologicals, part of Bio-Techne

Key Product Details

Species Reactivity

Validated:

Human, Mouse, Rat

Cited:

Mouse

Applications

Validated:

Immunohistochemistry, Immunohistochemistry-Paraffin, Western Blot, ELISA, Immunocytochemistry/ Immunofluorescence

Cited:

Immunohistochemistry-Paraffin

Label

Unconjugated

Antibody Source

Polyclonal Rabbit IgG

Format

BSA Free

Concentration

1 mg/ml

Product Specifications

Immunogen

Antibody was raised against a 20 amino acid synthetic peptide from near the amino terminus of human JMJD1C. The immunogen is located within amino acids 380 - 430 of JMJD1C. Amino Acid Squence: SEQKPENELKNKNTSKINGE

Specificity

This antibody will not cross-react with JMJD1A or JMJD1B.

Clonality

Polyclonal

Host

Rabbit

Isotype

IgG

Description

Novus Biologicals Rabbit JMJD1C Antibody - BSA Free (NBP1-77072) is a polyclonal antibody validated for use in IHC, WB, ELISA and ICC/IF. Anti-JMJD1C Antibody: Cited in 1 publication. All Novus Biologicals antibodies are covered by our 100% guarantee.

Scientific Data Images for JMJD1C Antibody - BSA Free

Western Blot: JMJD1C AntibodyBSA Free [NBP1-77072]

Western Blot: JMJD1C AntibodyBSA Free [NBP1-77072]

Western Blot: JMJD1C Antibody [NBP1-77072] - Human liver tissue lysate with JMJD1C antibody at (A) 1 and (B) 2 ug/ml.
JMJD1C Antibody - BSA Free

Immunocytochemistry/ Immunofluorescence: JMJD1C Antibody - BSA Free [NBP1-77072] -

Immunocytochemistry/ Immunofluorescence: JMJD1C Antibody - BSA Free [NBP1-77072] - Immunofluorescence of JMJD1C in rat liver tissue with JMJD1C antibody at 20 u/mL.
JMJD1C Antibody - BSA Free

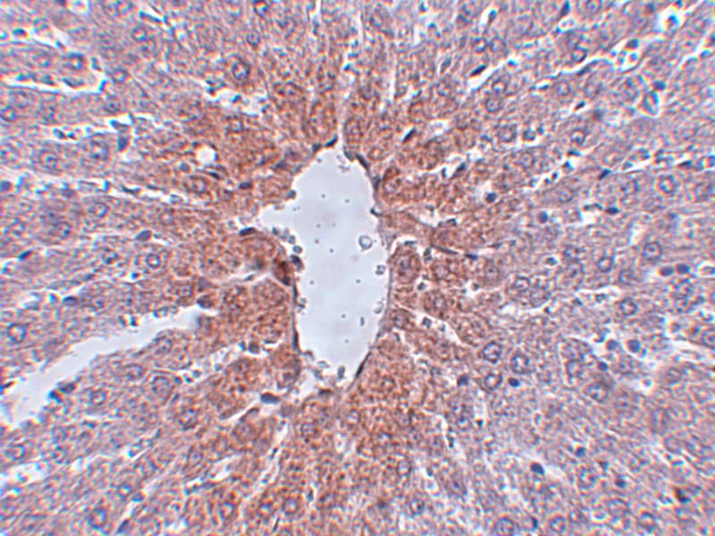
Immunohistochemistry: JMJD1C Antibody - BSA Free [NBP1-77072] -

Immunohistochemistry: JMJD1C Antibody - BSA Free [NBP1-77072] - Immunohistochemistry of JMJD1C in rat liver tissue with JMJD1C antibody at 2.5 ug/mL.

Applications for JMJD1C Antibody - BSA Free

Application
Recommended Usage

ELISA

1:100-1:2000

Immunocytochemistry/ Immunofluorescence

20 ug/mL

Immunohistochemistry

2.5 ug/ml

Immunohistochemistry-Paraffin

2.5 ug/ml

Western Blot

1-2 ug/ml

Reviewed Applications

Read 1 review rated 4 using NBP1-77072 in the following applications:

Formulation, Preparation, and Storage

Purification

Peptide affinity purified

Formulation

PBS

Format

BSA Free

Preservative

0.02% Sodium Azide

Concentration

1 mg/ml

Shipping

The product is shipped with polar packs. Upon receipt, store it immediately at the temperature recommended below.

Stability & Storage

Store at 4C short term. Aliquot and store at -20C long term. Avoid freeze-thaw cycles.

Background: JMJD1C

The jumonji domain containing 1C protein (JMJD1C) was initially discovered in silico, and later suggested to be a candidate gene for autism. Like the related proteins JMJD1A and JMJD1B, JMJD1C is a histone H3K9 demethylase implicated in the nuclear hormone receptor-based transcriptional regulation. JMJD1C mRNA is highly expressed in undifferentiated embryonic stem (ES) cells as well as pancreatic islet, diffuse-type gastric cancer, and other tissues and tumors. The JMJD1C gene promoter contain bHLH-, AP-1-, and POU5F1-binding sites, and as preferential expression of POU5F1 has been reported in ES cells, pancreatic islet, and diffuse-type gastric cancer, it has been suggested that POU5F1-mediated expression of JMJD1C reactivates previously silenced genes in ES cells and diffuse-type gastric cancer. At least three isoforms of JMJD1C are known to exist. This antibody will not cross-react with JMJD1A or JMJD1B.

Alternate Names

DKFZp761F0118, EC 1.14.11, EC 1.14.11.-, FLJ14374, JHDM2C, jumonji domain containing 1C, Jumonji domain-containing protein 1C, KIAA1380TR-interacting protein 8, probable JmjC domain-containing histone demethylation protein 2C, RP11-10C13.2, thyroid hormone receptor interactor 8, thyroid receptor interacting protein 8, Thyroid receptor-interacting protein 8, TRIP8, TRIP-8

Entrez Gene IDs

221037 (Human)

Gene Symbol

JMJD1C

UniProt

Additional JMJD1C Products

Product Documents for JMJD1C Antibody - BSA Free

Certificate of Analysis

To download a Certificate of Analysis, please enter a lot number in the search box below.

Product Specific Notices for JMJD1C Antibody - BSA Free

This product is for research use only and is not approved for use in humans or in clinical diagnosis. Primary Antibodies are guaranteed for 1 year from date of receipt.

Loading...
Loading...
Loading...
Loading...
Loading...