Skip to main content

JIK Antibody - BSA Free

Novus Biologicals, part of Bio-Techne | Catalog # NBP1-84988

Novus Biologicals, part of Bio-Techne
Catalog #
Availability
Size / Price
Qty
Loading...
NBP1-84988
NBP1-84988-25ul

Key Product Details

Validated by

Orthogonal Validation

Species Reactivity

Human

Applications

Immunohistochemistry, Immunohistochemistry-Paraffin, Western Blot

Label

Unconjugated

Antibody Source

Polyclonal Rabbit IgG

Format

BSA Free

Concentration

Concentrations vary lot to lot. See vial label for concentration. If unlisted please contact technical services.

Product Specifications

Immunogen

This antibody was developed against Recombinant Protein corresponding to amino acids: ESQEDEEDSEHGTSLNREMDSLGSNHSIPSMSVSTGSQSSSVNSMQEVMDESSSELVMMHDDESTINSSSSVVHKKDHVFIRDEAGHGDPRPEPRPTQSVQSQALHYRNR

Reactivity Notes

Immunogen displays the following percentage of sequence identity for non-tested species: Mouse (85%), Rat (85%)

Clonality

Polyclonal

Host

Rabbit

Isotype

IgG

Description

Novus Biologicals Rabbit JIK Antibody - BSA Free (NBP1-84988) is a polyclonal antibody validated for use in IHC and WB. All Novus Biologicals antibodies are covered by our 100% guarantee.

Scientific Data Images for JIK Antibody - BSA Free

Western Blot: JIK Antibody [NBP1-84988]

Western Blot: JIK Antibody [NBP1-84988]

Western Blot: JIK Antibody [NBP1-84988] - Analysis in control (vector only transfected HEK293T lysate) and TAOK3 over-expression lysate (Co-expressed with a C-terminal myc-DDK tag (3.1 kDa) in mammalian HEK293T cells).
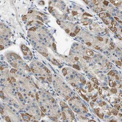
Immunohistochemistry-Paraffin: JIK Antibody [NBP1-84988]

Immunohistochemistry-Paraffin: JIK Antibody [NBP1-84988]

Immunohistochemistry-Paraffin: JIK Antibody [NBP1-84988] - Staining of human stomach shows strong cytoplasmic positivity in Parietal cells.
Western Blot: JIK Antibody [NBP1-84988]

Western Blot: JIK Antibody [NBP1-84988]

Western Blot: JIK Antibody [NBP1-84988] - Analysis in human cell lines SK-MEL-30 and U2OS using Anti-TAOK3 antibody. Corresponding TAOK3 RNA-seq data are presented for the same cell lines. Loading control: Anti-COX4I1.

Applications for JIK Antibody - BSA Free

Application
Recommended Usage

Immunohistochemistry

1:50 - 1:200

Immunohistochemistry-Paraffin

1:50 - 1:200

Western Blot

0.04-0.4 ug/ml
Application Notes
For IHC-Paraffin, HIER pH 6 retrieval is recommended.

Formulation, Preparation, and Storage

Purification

Immunogen affinity purified

Formulation

PBS (pH 7.2) and 40% Glycerol

Format

BSA Free

Preservative

0.02% Sodium Azide

Concentration

Concentrations vary lot to lot. See vial label for concentration. If unlisted please contact technical services.

Shipping

The product is shipped with polar packs. Upon receipt, store it immediately at the temperature recommended below.

Stability & Storage

Store at 4C short term. Aliquot and store at -20C long term. Avoid freeze-thaw cycles.

Background: JIK

JIK/TAOK3 inhibits the basal activity of Jun kinase. It is negatively regulated by epidermal growth factor (EGF). When it is overexpressed, it may activate ERK1/ERK2 and JNK/SAPK. It may also play a role in controlling the expression level of BimEL.

Alternate Names

CTCL-associated antigen HD-CL-09, Cutaneous T-cell lymphoma-associated antigen HD-CL-09, Dendritic cell-derived protein kinase, DPKJNK/SAPK-inhibitory kinase, EC 2.7.11, FLJ31808, hKFC-A, JIKEC 2.7.11.1, Jun kinase-inhibitory kinase, KDS, Kinase from chicken homolog A, MAP3K18DKFZp666H245, serine/threonine-protein kinase TAO3, STE20-like kinase, TAO kinase 3, Thousand and one amino acid protein 3

Gene Symbol

TAOK3

Additional JIK Products

Product Documents for JIK Antibody - BSA Free

Certificate of Analysis

To download a Certificate of Analysis, please enter a lot number in the search box below.

Product Specific Notices for JIK Antibody - BSA Free

This product is for research use only and is not approved for use in humans or in clinical diagnosis. Primary Antibodies are guaranteed for 1 year from date of receipt.

Loading...
Loading...
Loading...
Loading...