Skip to main content

IZUMO2 Antibody - BSA Free

Novus Biologicals, part of Bio-Techne | Catalog # NBP1-90720

Novus Biologicals, part of Bio-Techne
Catalog #
Availability
Size / Price
Qty
Loading...
NBP1-90720-25ul
NBP1-90720

Key Product Details

Species Reactivity

Human

Applications

Immunohistochemistry, Immunohistochemistry-Paraffin

Label

Unconjugated

Antibody Source

Polyclonal Rabbit IgG

Format

BSA Free

Concentration

Concentrations vary lot to lot. See vial label for concentration. If unlisted please contact technical services.

Product Specifications

Immunogen

This antibody was developed against Recombinant Protein corresponding to amino acids: PSRFQLEQLQARAGAVLMGMEGPFFRDYALNVFVGKVETNQLDLVASFVKNQTQHLMGNSLKDEPLLEELVTLR

Clonality

Polyclonal

Host

Rabbit

Isotype

IgG

Scientific Data Images for IZUMO2 Antibody - BSA Free

Immunohistochemistry-Paraffin: IZUMO2 Antibody [NBP1-90720]

Immunohistochemistry-Paraffin: IZUMO2 Antibody [NBP1-90720]

Immunohistochemistry-Paraffin: IZUMO2 Antibody [NBP1-90720] - Staining of human kidney shows strong nuclear positivity in cells in tubules.
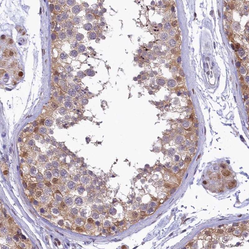
IZUMO2 Antibody - BSA Free Immunohistochemistry: IZUMO2 Antibody - BSA Free [NBP1-90720]

Immunohistochemistry: IZUMO2 Antibody - BSA Free [NBP1-90720]

Staining of human testis shows moderate cytoplasmic and nuclear positivity in seminiferous ducts and Leydig cells.

Applications for IZUMO2 Antibody - BSA Free

Application
Recommended Usage

Immunohistochemistry

1:1000 - 1:2500

Immunohistochemistry-Paraffin

1:1000 - 1:2500
Application Notes
For IHC-Paraffin, HIER pH 6 retrieval is recommended. Immunocytochemistry/Immunofluorescence Fixation Permeabilization: Use PFA/Triton X-100.

Formulation, Preparation, and Storage

Purification

Affinity purified

Formulation

PBS (pH 7.2) and 40% Glycerol

Format

BSA Free

Preservative

0.02% Sodium Azide

Concentration

Concentrations vary lot to lot. See vial label for concentration. If unlisted please contact technical services.

Shipping

The product is shipped with polar packs. Upon receipt, store it immediately at the temperature recommended below.

Stability & Storage

Store at 4C short term. Aliquot and store at -20C long term. Avoid freeze-thaw cycles.

Background: IZUMO2

Alternate Names

IZUMO family member 2

Gene Symbol

IZUMO2

Additional IZUMO2 Products

Product Documents for IZUMO2 Antibody - BSA Free

Certificate of Analysis

To download a Certificate of Analysis, please enter a lot number in the search box below.

Product Specific Notices for IZUMO2 Antibody - BSA Free

This product is for research use only and is not approved for use in humans or in clinical diagnosis. Primary Antibodies are guaranteed for 1 year from date of receipt.

Loading...
Loading...
Loading...
Loading...