Skip to main content

ITPR2 Antibody

Novus Biologicals, part of Bio-Techne | Catalog # NB100-2466

Novus Biologicals, part of Bio-Techne
Catalog #
Availability
Size / Price
Qty
Loading...
NB100-2466

Key Product Details

Species Reactivity

Validated:

Human, Mouse, Rat

Cited:

Human, Mouse, Rat

Predicted:

Bovine (100%), Canine (100%). Backed by our 100% Guarantee.

Applications

Validated:

Immunohistochemistry, Immunohistochemistry-Paraffin, Western Blot, Peptide ELISA, Immunocytochemistry/ Immunofluorescence

Cited:

Western Blot, Immunocytochemistry/ Immunofluorescence

Label

Unconjugated

Antibody Source

Polyclonal Goat IgG

Concentration

0.5 mg/ml

Product Specifications

Immunogen

Peptide with sequence C-PIEESNILSPVQD corresponding to internal region according to NP_002214.2.

Reactivity Notes

Rat reactivity reported in scientific literature (PMID: 25921245). Mouse reactivity reported scientific literature (PMID: 20814235). Predicted cross-reactivity based on sequence identity: Canine, Bovine.

Specificity

No cross-reactivity expected with other types of ITPR.

Clonality

Polyclonal

Host

Goat

Isotype

IgG

Scientific Data Images for ITPR2 Antibody

Western Blot: ITPR2 Antibody [NB100-2466]

Western Blot: ITPR2 Antibody [NB100-2466]

Western Blot: ITPR2 Antibody [NB100-2466] - 2 sec exposure using NB100-2466 on 80 ug total cell lysates listed above. Primary antibody applied at 1:500 overnight at 4degC, secondary donkey anti-goat applied for 2 hours at room temperature at 1:5000. (Data provided by Karen McColl at Case Western Reserve University)
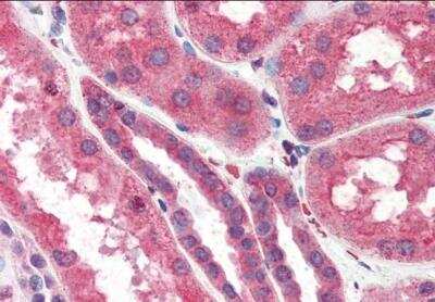
Immunohistochemistry-Paraffin: ITPR2 Antibody [NB100-2466]

Immunohistochemistry-Paraffin: ITPR2 Antibody [NB100-2466]

Immunohistochemistry-Paraffin: ITPR2 Antibody [NB100-2466] - (3.75ug/ml) staining of paraffin embedded Human Kidney. Steamed antigen retrieval with citrate buffer pH 6, AP-staining.
Immunohistochemistry-Paraffin: ITPR2 Antibody [NB100-2466]

Immunohistochemistry-Paraffin: ITPR2 Antibody [NB100-2466]

Immunohistochemistry-Paraffin: ITPR2 Antibody [NB100-2466] - (3.75ug/ml) staining of paraffin embedded Human Heart. Steamed antigen retrieval with citrate buffer pH 6, AP-staining.

Applications for ITPR2 Antibody

Application
Recommended Usage

Immunohistochemistry-Paraffin

3.75 ug/ml

Peptide ELISA

Detection limit 1:128000

Western Blot

1:5000
Application Notes
WB: Preliminary experiments gave an approx. 28-30 kDa band in human heart lysates after 0.1 ug/ml antibody staining. Please note that currently we cannot find an explanation in the literature for the band we observe given the calculated size of 308 kDa band according to NP_002214.2. The 28-30 kDa band was successfully blocked by incubation with the immunizing peptide.
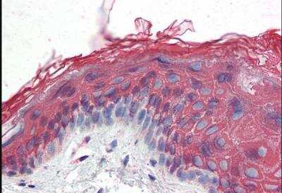
IHC: Paraffin embedded Human Kidney, Skin and Heart. Use in Immunocytochemistry/immunofluorescence reported in multiple pieces of scientific literature.

Reviewed Applications

Read 1 review rated 5 using NB100-2466 in the following applications:

Formulation, Preparation, and Storage

Purification

Immunogen affinity purified

Formulation

Tris saline (20 mM Tris pH 7.3, 150 mM NaCl), 0.5% BSA

Preservative

0.02% Sodium Azide

Concentration

0.5 mg/ml

Shipping

The product is shipped with polar packs. Upon receipt, store it immediately at the temperature recommended below.

Stability & Storage

Store at -20C. Avoid freeze-thaw cycles.

Background: ITPR2

Inositol 1,4,5-triphosphate (IP3) receptors are a form of ligand-gated ion channels that are activated by cytosolic Ca2+ and IP3. They are localized to intracellular membranes, such as the endoplasmic reticulum, and mediate the mobilization of intracellular Ca2+ stores. IP3 receptors play an important role in intracellular Ca2+ signaling in a variety of cell types. There are three IP3 receptor subtypes; IP3R1, IP3R2 and IP3R3, which exist as homo- and heterotetramers. All subtypes are closely associated with calmodulin and FK506-binding protein and are modulated through phosphorylation by PKA, PKC, PKG and CaMKII.

Long Name

Inositol 1,4,5-trisphosphate receptor type 2

Alternate Names

InsP3R2, IP3R 2

Entrez Gene IDs

3709 (Human); 16439 (Mouse); 81678 (Rat)

Gene Symbol

ITPR2

UniProt

Additional ITPR2 Products

Product Documents for ITPR2 Antibody

Certificate of Analysis

To download a Certificate of Analysis, please enter a lot number in the search box below.

Product Specific Notices for ITPR2 Antibody

This product is for research use only and is not approved for use in humans or in clinical diagnosis. Primary Antibodies are guaranteed for 1 year from date of receipt.

Loading...
Loading...
Loading...
Loading...