Skip to main content

ITM2B Antibody - BSA Free

Novus Biologicals, part of Bio-Techne | Catalog # NBP2-17000

Novus Biologicals, part of Bio-Techne
Catalog #
Availability
Size / Price
Qty
Loading...
NBP2-17000

Key Product Details

Species Reactivity

Validated:

Human, Mouse, Rat

Predicted:

Chimpanzee (100%), Rhesus Macaque (100%). Backed by our 100% Guarantee.

Applications

Immunohistochemistry, Immunohistochemistry-Paraffin, Western Blot, Immunocytochemistry/ Immunofluorescence

Label

Unconjugated

Antibody Source

Polyclonal Rabbit IgG

Format

BSA Free

Concentration

Concentrations vary lot to lot. See vial label for concentration. If unlisted please contact technical services.

Product Specifications

Immunogen

Recombinant protein encompassing a sequence within the center region of human ITM2B. The exact sequence is proprietary.

Localization

Golgi apparatus membrane; Single-pass type II membrane protein

Clonality

Polyclonal

Host

Rabbit

Isotype

IgG

Theoretical MW

30 kDa.
Disclaimer note: The observed molecular weight of the protein may vary from the listed predicted molecular weight due to post translational modifications, post translation cleavages, relative charges, and other experimental factors.

Description

Novus Biologicals Rabbit ITM2B Antibody - BSA Free (NBP2-17000) is a polyclonal antibody validated for use in IHC, WB and ICC/IF. All Novus Biologicals antibodies are covered by our 100% guarantee.

Scientific Data Images for ITM2B Antibody - BSA Free

ITM2B Antibody

Immunohistochemistry: ITM2B Antibody [NBP2-17000] -

Immunohistochemistry: ITM2B Antibody [NBP2-17000] - ITM2B antibody detects ITM2B protein at Golgi apparatus on mouse esophagus by immunohistochemical analysis.
Sample: Paraffin-embedded mouse brain stem.
ITM2B antibody (NBP2-17000) dilution: 1:500.

Antigen Retrieval: Trilogy™ (EDTA based, pH 8.0) buffer, 15min
ITM2B Antibody

Western Blot: ITM2B Antibody [NBP2-17000] -

Western Blot: ITM2B Antibody [NBP2-17000] - Whole cell extract (30 ug) was separated by 12% SDS-PAGE, and the membrane was blotted with ITM2B antibody (NBP2-17000) diluted at 1:5000. The HRP-conjugated anti-rabbit IgG antibody was used to detect the primary antibody.
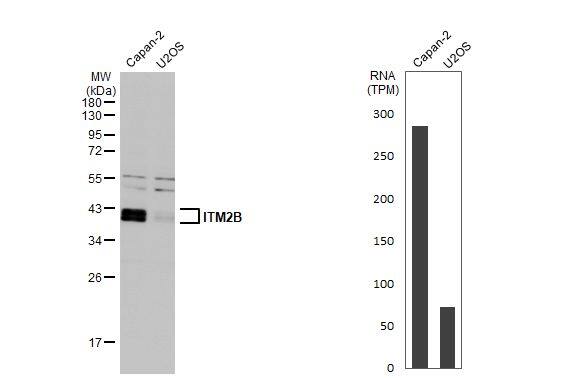
ITM2B Antibody - BSA Free

Western Blot: ITM2B Antibody [NBP2-17000] -

Various whole cell extracts (30 ug) were separated by 12% SDS-PAGE, and the membrane was blotted with ITM2B antibody (NBP2-17000) diluted at 1:1000. The HRP-conjugated anti-rabbit IgG antibody was used to detect the primary antibody. Corresponding RNA expression data for the same cell lines are based on Human Protein Atlas program.

Applications for ITM2B Antibody - BSA Free

Application
Recommended Usage

Immunocytochemistry/ Immunofluorescence

1:100-1:1000

Immunohistochemistry

10 - 1:500

Immunohistochemistry-Paraffin

1:100-1:1000

Western Blot

1:500-1:3000

Formulation, Preparation, and Storage

Purification

Antigen Affinity-purified

Formulation

PBS, 20% Glycerol

Format

BSA Free

Preservative

0.025% Proclin 300

Concentration

Concentrations vary lot to lot. See vial label for concentration. If unlisted please contact technical services.

Shipping

The product is shipped with polar packs. Upon receipt, store it immediately at the temperature recommended below.

Stability & Storage

Aliquot and store at -20C or -80C. Avoid freeze-thaw cycles.

Background: ITM2B

Amyloid precursor proteins are processed by beta-secretase and gamma-secretase to produce beta-amyloid peptides which form the characteristic plaques of Alzheimer disease. This gene encodes a transmembrane protein which is processed at the C-terminus by furin or furin-like proteases to produce a small secreted peptide which inhibits the deposition of beta-amyloid. Mutations which result in extension of the C-terminal end of the encoded protein, thereby increasing the size of the secreted peptide, are associated with two neurogenerative diseases, familial British dementia and familial Danish dementia. [provided by RefSeq]

Long Name

Integral Membrane Protein 2B

Alternate Names

ABRI, BRI, BRI2, BRICD2B, E25B, E3-16, FBD

Gene Symbol

ITM2B

UniProt

Additional ITM2B Products

Product Documents for ITM2B Antibody - BSA Free

Certificate of Analysis

To download a Certificate of Analysis, please enter a lot number in the search box below.

Product Specific Notices for ITM2B Antibody - BSA Free

This product is for research use only and is not approved for use in humans or in clinical diagnosis. Primary Antibodies are guaranteed for 1 year from date of receipt.

Loading...
Loading...
Loading...
Loading...

⚠ WARNING: This product can expose you to chemicals including mercury, which is known to the State of California to cause reproductive toxicity with developmental effects.  For more information go to www.P65Warnings.ca.gov.