Skip to main content

ITK Antibody (HL1264) - Azide and BSA Free

Novus Biologicals, part of Bio-Techne | Catalog # NBP3-25538

Recombinant Monoclonal Antibody
Novus Biologicals, part of Bio-Techne
Catalog #
Availability
Size / Price
Qty
Loading...
NBP3-25538

Key Product Details

Validated by

Orthogonal Validation

Species Reactivity

Validated:

Human, Mouse

Predicted:

Bovine (94%), Rat (93%), Rhesus Macaque (98%). Backed by our 100% Guarantee.

Applications

Immunohistochemistry, Immunohistochemistry-Paraffin, Western Blot, Immunocytochemistry/ Immunofluorescence

Label

Unconjugated

Antibody Source

Recombinant Monoclonal Rabbit IgG Clone # HL1264 expressed in HEK293

Format

Azide and BSA Free

Concentration

Concentrations vary lot to lot. See vial label for concentration. If unlisted please contact technical services.

Product Specifications

Immunogen

Recombinant protein encompassing a sequence within the center region of human ITK. The exact sequence is proprietary.

Clonality

Monoclonal

Host

Rabbit

Isotype

IgG

Description

Novus Biologicals Rabbit ITK Antibody (HL1264) - Azide and BSA Free (NBP3-25538) is a recombinant monoclonal antibody validated for use in IHC, WB and ICC/IF. All Novus Biologicals antibodies are covered by our 100% guarantee.

Scientific Data Images for ITK Antibody (HL1264) - Azide and BSA Free

ITK Antibody (HL1264) - Azide and BSA Free

Immunocytochemistry/Immunofluorescence: ITK Antibody (HL1264) - Azide and BSA Free [NBP3-25538] -

Immunocytochemistry/Immunofluorescence: ITK Antibody (HL1264) - Azide and BSA Free [NBP3-25538] - ITK antibody [HL1264] detects ITK protein by immunofluorescent analysis. Sample: Jurkat cells were fixed in 4% paraformaldehyde at RT for 15 min. Green: ITK stained by ITK antibody [HL1264] (NBP3-25538) diluted at 1:500. Blue: Fluoroshield with DAPI .
ITK Antibody (HL1264) - Azide and BSA Free

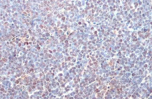
Immunohistochemistry-Paraffin: ITK Antibody (HL1264) - Azide and BSA Free [NBP3-25538] -

Immunohistochemistry-Paraffin: ITK Antibody (HL1264) - Azide and BSA Free [NBP3-25538] - ITK antibody [HL1264] detects ITK protein at cytoplasm by immunohistochemical analysis. Sample: Paraffin-embedded mouse lymph node. ITK stained by ITK antibody [HL1264] (NBP3-25538) diluted at 1:100. Antigen Retrieval: Citrate buffer, pH 6.0, 15 min
ITK Antibody (HL1264) - Azide and BSA Free

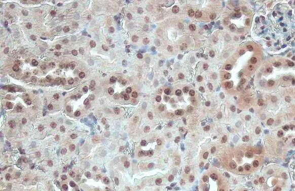
Immunohistochemistry-Paraffin: ITK Antibody (HL1264) - Azide and BSA Free [NBP3-25538] -

Immunohistochemistry-Paraffin: ITK Antibody (HL1264) - Azide and BSA Free [NBP3-25538] - ITK antibody [HL1264] detects ITK protein at cytoplasm and nucleus by immunohistochemical analysis. Sample: Paraffin-embedded mouse kidney. ITK stained by ITK antibody [HL1264] (NBP3-25538) diluted at 1:100. Antigen Retrieval: Citrate buffer, pH 6.0, 15 min

Applications for ITK Antibody (HL1264) - Azide and BSA Free

Application
Recommended Usage

Western Blot

1:500-1:3000

Formulation, Preparation, and Storage

Purification

Protein A purified

Formulation

PBS

Format

Azide and BSA Free

Preservative

No Preservative

Concentration

Concentrations vary lot to lot. See vial label for concentration. If unlisted please contact technical services.

Shipping

The product is shipped with polar packs. Upon receipt, store it immediately at the temperature recommended below.

Stability & Storage

Store at 4C short term. Aliquot and store at -20C long term. Avoid freeze-thaw cycles.

Background: ITK

Emtk/Itk/Tsk is a member of the Tec family of Protein Tyrosine Kinase (PTK) expressed in T, NK, and mast cells (1). Structurally, Emtk/Itk/Tsk possesses a tyrosine kinase (TK), a pleckstrin homology (PH) and a TEC homology domain. It also contains both SRC homology 2 (SH2) and a SRC homology 3 (SH3) domains (2). It lacks as well the amino-terminal myristylation signal and the negative autoregulatory phosphorylation site present in all members of the Src family of PTKs (3). Additionally, the Src tyrosine kinase LCK is required for Emtk/Itk/Tsk activation and recruitment by CD28 (4).

Long Name

IL-2-inducible T-cell Kinase

Alternate Names

EMT, LYK, PSCTK2, Tcsk

Gene Symbol

ITK

Additional ITK Products

Product Documents for ITK Antibody (HL1264) - Azide and BSA Free

Certificate of Analysis

To download a Certificate of Analysis, please enter a lot number in the search box below.

Product Specific Notices for ITK Antibody (HL1264) - Azide and BSA Free

This product is for research use only and is not approved for use in humans or in clinical diagnosis. Primary Antibodies are guaranteed for 1 year from date of receipt.

Loading...
Loading...
Loading...
Loading...