Skip to main content

ISM2 Antibody - BSA Free

Novus Biologicals, part of Bio-Techne | Catalog # NBP1-82001

Novus Biologicals, part of Bio-Techne
Catalog #
Availability
Size / Price
Qty
Loading...
NBP1-82001
NBP1-82001-25ul

Key Product Details

Species Reactivity

Human

Applications

Immunohistochemistry, Immunohistochemistry-Paraffin, Immunocytochemistry/ Immunofluorescence

Label

Unconjugated

Antibody Source

Polyclonal Rabbit IgG

Format

BSA Free

Concentration

Concentrations vary lot to lot. See vial label for concentration. If unlisted please contact technical services.

Product Specifications

Immunogen

This antibody was developed against Recombinant Protein corresponding to amino acids: LREEEEARLLPRTHLQAELHQHGCWTVTEPAALTPGNATPPRTQEVTPLLLELQKLPELVHATLSTPNPDNQ

Clonality

Polyclonal

Host

Rabbit

Isotype

IgG

Scientific Data Images for ISM2 Antibody - BSA Free

Immunocytochemistry/ Immunofluorescence: ISM2 Antibody [NBP1-82001]

Immunocytochemistry/ Immunofluorescence: ISM2 Antibody [NBP1-82001]

Immunocytochemistry/Immunofluorescence: ISM2 Antibody [NBP1-82001] - Immunofluorescent staining of human cell line Hep G2 shows localization to nucleoplasm & cytosol.
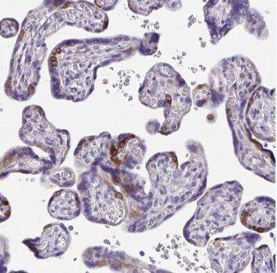
Immunohistochemistry-Paraffin: ISM2 Antibody [NBP1-82001]

Immunohistochemistry-Paraffin: ISM2 Antibody [NBP1-82001]

Immunohistochemistry-Paraffin: ISM2 Antibody [NBP1-82001] - Staining of human placenta shows strong cytoplasmic positivity in trophoblastic cells.

Applications for ISM2 Antibody - BSA Free

Application
Recommended Usage

Immunocytochemistry/ Immunofluorescence

0.25-2 ug/ml

Immunohistochemistry

1:200 - 1:500

Immunohistochemistry-Paraffin

1:200 - 1:500
Application Notes
For IHC-Paraffin, HIER pH 6 retrieval is recommended. Immunocytochemistry/Immunofluorescence Fixation Permeabilization: Use PFA/Triton X-100.

Formulation, Preparation, and Storage

Purification

Affinity purified

Formulation

PBS (pH 7.2) and 40% Glycerol

Format

BSA Free

Preservative

0.02% Sodium Azide

Concentration

Concentrations vary lot to lot. See vial label for concentration. If unlisted please contact technical services.

Shipping

The product is shipped with polar packs. Upon receipt, store it immediately at the temperature recommended below.

Stability & Storage

Store at 4C short term. Aliquot and store at -20C long term. Avoid freeze-thaw cycles.

Background: ISM2

ISM2 is encoded by this gene contains a type 1 thrombospondin domain, which is present in thrombospondin, a number of proteins involved in the complement pathway, as well as in extracellular matrix proteins. Three alternatively spliced transcript variants encoding distinct isoforms have been observed. [provided by RefSeq]

Alternate Names

DKFZp686E0215, FLJ32147, isthmin 2 homolog (zebrafish), PSEC0137, thrombospondin and AMOP domain-containing isthmin-like protein 1, thrombospondin type-1 domain-containing protein 3, thrombospondin, type I domain-containing 3, THSD3, type I, domain containing 3

Gene Symbol

ISM2

Additional ISM2 Products

Product Documents for ISM2 Antibody - BSA Free

Certificate of Analysis

To download a Certificate of Analysis, please enter a lot number in the search box below.

Product Specific Notices for ISM2 Antibody - BSA Free

This product is for research use only and is not approved for use in humans or in clinical diagnosis. Primary Antibodies are guaranteed for 1 year from date of receipt.

Loading...
Loading...
Loading...
Loading...